Comment éliminer la plaque dentaire et améliorer la santé orale ?


Relu et approuvé par le médecin Nelton Abdon Ramos Rojas
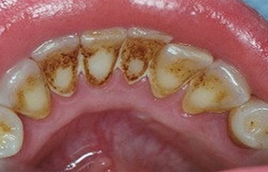
La plaque dentaire est l’accumulation des résidus alimentaires sur la surface interne et externe des dents. Ce problème buccal peut provoquer une mauvaise haleine et peut développer un autre type d’affection de la même nature, comme le tartre.
Le tartre se développe quand ces résidus alimentaires se durcissent et restent plaqués sur les dents. Cela peut provoquer alors des saignements et une mauvaise haleine.
Il n’y ait pas de solution définitive pour éviter le développement de la plaque dentaire sur les dents. Néanmoins, il est possible de réaliser une série de procédés maison pour diminuer l’accumulation de ces résidus dans la bouche et ainsi éviter que cette affection ne s’aggrave.
Changer la manière de se brosser vos dents.
La plupart des gens, se brossent toujours les dents de manière horizontale et de gauche à droite. Mais beaucoup ne savent pas que cela peut augmenter la sensibilité des dents et également leur occlusion.
Il faut se brosser les dents de manière verticale, en commençant par la partie d’en haut. Puis brosser ensuite la partie du bas, et brosser les molaires de manière circulaire. Il faut également toujours terminer cette hygiène orale avec du fil dentaire afin d’éliminer les possibles résidus qui se trouvent dans les espaces peu accessibles.
Quand vous avez fini, réalisez un bain de bouche. Puis rincez votre brosse à dents pour bien la nettoyer de tous les résidus qui seront restés dessus.
Remarque: Changez votre brosse à dents au moins quatre fois par an et utilisez une pâte dentaire contenant du fluor.
Lisez aussi : 5 remèdes maison efficaces contre la gingivite
Changez d’alimentation
Suivre un régime alimentaire équilibré est la meilleure des choses à faire pour renforcer sa santé dentaire.
Il s’agit de ne pas consommer de sucres ou d’hydrates de carbone. De ne pas consommer des boissons alcoolisées ou gazeuses. Ou alors buvez-les avec une paille, afin qu’elles n’aient pas de contact direct avec vos dents.
Ne consommez pas trop d’aliments avec des farines ou des agglutinants. Ou sinon, n’oubliez pas de vous laver les les dents après, pour éviter les maladies ou les infections bactériennes.
Comment peut-on compléter sa santé orale ?
Les remèdes maison sont parfois assez efficaces quand il s’agit de lutter contre ce type d’affections buccales comme la plaque dentaire.
En revanche, il est très important de ne pas les consommer en excès. Parce que sinon ils peuvent altérer la santé des dents au lieu de l’améliorer.
Nous allons partager avec vous des remèdes maison utilisés pour lutter contre la plaque dentaire et améliorer la santé bucco-dentaire.
Le chewing-gum

Certains restent sceptiques quant à l’efficacité de ce remède. Mais une étude récente a démontré que le chewing-gum sans sucre aidait à diminuer la production de plaque dentaire sur nos dents.
Il suffit de mâcher un chewing-gum après chaque repas. Les résidus des aliments qui se trouvent coincés dans nos dents se libèrent ainsi facilement. Puis on les retire complètement à l’aide d’une brosse à dents.
Le bicarbonate de soude

Quand vous vous lavez les dents, ajoutez une petite quantité de bicarbonate de soude sur le dentifrice.
Ce produit dissout tous les résidus des dents, et aide à les reblanchir de manière significative.
Vous pouvez utiliser ce remède une fois par semaine avant d’aller dormir. Mais souvenez-vous que la quantité de bicarbonate de soude utilisée ne doit pas être excessive, de même que la fréquence d’application.
Le citron

Le jus de citron est parfait pour lutter contre la plaque dentaire ainsi que le tartre sur les dents.
L’acidité du citron contient des propriétés abrasives qui nettoient notre bouche en profondeur. De plus, il leur apporte de la brillance, élimine la mauvaise haleine et peut également blanchir les dents.
Il suffit de réaliser ce remède une fois par semaine pour diminuer la création de la plaque dentaire. Attention à ne pas l’utiliser à l’excès car cela peut générer l’effet contraire sur les dents.
Découvrez ce remède au citron pour soulager les douleurs articulaires et les crampes
N’oubliez pas !
Il existe très peu de méthodes et de remèdes maison qui permettent de nettoyer, de blanchir et d’éviter des maladies qui nuisent à notre santé orale. Le mieux que nous pouvons faire pour avoir des dents saines est de programmer une visite chez le dentiste tous les six mois.
Il n’y a rien de plus efficace qu’un nettoyage professionnel pour éliminer complètement les maladies si gênantes et nocives comme la plaque dentaire.
La plaque dentaire est l’accumulation des résidus alimentaires sur la surface interne et externe des dents. Ce problème buccal peut provoquer une mauvaise haleine et peut développer un autre type d’affection de la même nature, comme le tartre.
Le tartre se développe quand ces résidus alimentaires se durcissent et restent plaqués sur les dents. Cela peut provoquer alors des saignements et une mauvaise haleine.
Il n’y ait pas de solution définitive pour éviter le développement de la plaque dentaire sur les dents. Néanmoins, il est possible de réaliser une série de procédés maison pour diminuer l’accumulation de ces résidus dans la bouche et ainsi éviter que cette affection ne s’aggrave.
Changer la manière de se brosser vos dents.
La plupart des gens, se brossent toujours les dents de manière horizontale et de gauche à droite. Mais beaucoup ne savent pas que cela peut augmenter la sensibilité des dents et également leur occlusion.
Il faut se brosser les dents de manière verticale, en commençant par la partie d’en haut. Puis brosser ensuite la partie du bas, et brosser les molaires de manière circulaire. Il faut également toujours terminer cette hygiène orale avec du fil dentaire afin d’éliminer les possibles résidus qui se trouvent dans les espaces peu accessibles.
Quand vous avez fini, réalisez un bain de bouche. Puis rincez votre brosse à dents pour bien la nettoyer de tous les résidus qui seront restés dessus.
Remarque: Changez votre brosse à dents au moins quatre fois par an et utilisez une pâte dentaire contenant du fluor.
Lisez aussi : 5 remèdes maison efficaces contre la gingivite
Changez d’alimentation
Suivre un régime alimentaire équilibré est la meilleure des choses à faire pour renforcer sa santé dentaire.
Il s’agit de ne pas consommer de sucres ou d’hydrates de carbone. De ne pas consommer des boissons alcoolisées ou gazeuses. Ou alors buvez-les avec une paille, afin qu’elles n’aient pas de contact direct avec vos dents.
Ne consommez pas trop d’aliments avec des farines ou des agglutinants. Ou sinon, n’oubliez pas de vous laver les les dents après, pour éviter les maladies ou les infections bactériennes.
Comment peut-on compléter sa santé orale ?
Les remèdes maison sont parfois assez efficaces quand il s’agit de lutter contre ce type d’affections buccales comme la plaque dentaire.
En revanche, il est très important de ne pas les consommer en excès. Parce que sinon ils peuvent altérer la santé des dents au lieu de l’améliorer.
Nous allons partager avec vous des remèdes maison utilisés pour lutter contre la plaque dentaire et améliorer la santé bucco-dentaire.
Le chewing-gum

Certains restent sceptiques quant à l’efficacité de ce remède. Mais une étude récente a démontré que le chewing-gum sans sucre aidait à diminuer la production de plaque dentaire sur nos dents.
Il suffit de mâcher un chewing-gum après chaque repas. Les résidus des aliments qui se trouvent coincés dans nos dents se libèrent ainsi facilement. Puis on les retire complètement à l’aide d’une brosse à dents.
Le bicarbonate de soude

Quand vous vous lavez les dents, ajoutez une petite quantité de bicarbonate de soude sur le dentifrice.
Ce produit dissout tous les résidus des dents, et aide à les reblanchir de manière significative.
Vous pouvez utiliser ce remède une fois par semaine avant d’aller dormir. Mais souvenez-vous que la quantité de bicarbonate de soude utilisée ne doit pas être excessive, de même que la fréquence d’application.
Le citron

Le jus de citron est parfait pour lutter contre la plaque dentaire ainsi que le tartre sur les dents.
L’acidité du citron contient des propriétés abrasives qui nettoient notre bouche en profondeur. De plus, il leur apporte de la brillance, élimine la mauvaise haleine et peut également blanchir les dents.
Il suffit de réaliser ce remède une fois par semaine pour diminuer la création de la plaque dentaire. Attention à ne pas l’utiliser à l’excès car cela peut générer l’effet contraire sur les dents.
Découvrez ce remède au citron pour soulager les douleurs articulaires et les crampes
N’oubliez pas !
Il existe très peu de méthodes et de remèdes maison qui permettent de nettoyer, de blanchir et d’éviter des maladies qui nuisent à notre santé orale. Le mieux que nous pouvons faire pour avoir des dents saines est de programmer une visite chez le dentiste tous les six mois.
Il n’y a rien de plus efficace qu’un nettoyage professionnel pour éliminer complètement les maladies si gênantes et nocives comme la plaque dentaire.
Toutes les sources citées ont été examinées en profondeur par notre équipe pour garantir leur qualité, leur fiabilité, leur actualité et leur validité. La bibliographie de cet article a été considérée comme fiable et précise sur le plan académique ou scientifique
- Chetruş, V., & Ion, I. R. (2013). Dental plaque–classification, formation and identification. International Journal of Medical Dentistry, 3(2), 139-143. https://www.ijmd.ro/articole/306_306_6%20chetrus.pdf
- PPoyato Ferrera, M. M., Segura-Egea, J. J., Ríos-Santos, J. V., & Bullon, P. (2001). La placa bacteriana: Conceptos básicos para el higienista bucodental. Periodoncia, 11 (2), 149-164. https://idus.us.es/xmlui/handle/11441/39214
- Rosan, B., & Lamont, R. J. (2000). Dental plaque formation. Microbes and infection, 2(13), 1599-1607. https://www.sciencedirect.com/science/article/abs/pii/S1286457900013162
- Touger-Decker, R., & Van Loveren, C. (2003). Sugars and dental caries. The American journal of clinical nutrition, 78(4), 881S-892S. https://academic.oup.com/ajcn/article/78/4/881S/4690063
- Putt, M. S., Milleman, K. R., Ghassemi, A., Vorwerk, L. M., Hooper, W. J., Soparkar, P. M., … & Proskin, H. M. (2008). Enhancement of plaque removal efficacy by tooth brushing with baking soda dentifrices: results of five clinical studies. Journal of Clinical Dentistry, 19(4), 111. https://www.researchgate.net/profile/Mark_Putt/publication/24193167_Enhancement_of_plaque_removal_efficacy_by_tooth_brushing_with_baking_soda_dentifrices_Results_of_five_clinical_studies/links/555b610608ae6aea0816bf4d.pdf
Ce texte est fourni à des fins d'information uniquement et ne remplace pas la consultation d'un professionnel. En cas de doute, consultez votre spécialiste.







