Causes et traitements de l'épine calcanéenne

L’épine calcanéenne est provoquée par une calcification du talon. Ce problème entraîne de vives douleurs et des problèmes pour mouvoir l’articulation du pied.
Ce phénomène est causé par une mauvaise posture, par l’utilisation de chaussures inadaptées et par tout comportement qui pourrait entraîner une modification de la zone du pied.
Dans cet article, nous allons vous expliquer ce que sont exactement ces épines, en vous détaillant leurs causes potentielles et les traitements pour les résorber.
Tout ce qu’il faut savoir sur l’épine calcanéenne

La sensation de douleur provoquée par l’épine calcanéenne est caractéristique et se produit lorsque le talon est victime d’une inflammation importante. Cela provoque une fasciite plantaire, dont les effets peuvent être ressentis dans l’ensemble du pied, orteils compris.
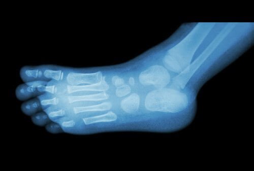
Pour le diagnostiquer, les médecins utilisent les méthodes classiques de radiologie. Cependant, l’épine peut également être visible à l’œil nu car elle provoque de petites protubérances, formées par l’accumulation de calcium.
Parmi les facteurs qui déclenchent cette pathologie, on retrouve la réalisation d’activités répétitives et l’utilisation de hauts talons au quotidien. Le surpoids, les pieds plats ou très arqués, ainsi que les contractures du tendon d’Achille peuvent également être responsables de ce phénomène.
Les étirements continus et excessifs de la fascia plantaire (le tissu qui recouvre les muscles du pied) provoquent de vives douleurs et la condition que nous venons de décrire.
Lorsque ces symptômes se manifestent, le simple fait de poser le talon sur le sol est douloureux. Les personnes atteintes de cette pathologie ne peuvent quasiment plus marcher.
Selon une étude de l’Association Espagnole de Podologie Sportive, le corps répare automatiquement la blessure produite par la déconnexion entre la fascia et l’os, en transportant le calcium à travers le flux sanguin.
L’épine calcanéenne en elle-même ne provoque quasiment aucun symptôme. C’est bien la présence d’une fasciite plantaire dans la partie interne du talon, ou bien dans n’importe quel des cinq orteils, qui est extrêmement douloureuse.
Cette sensation se caractérise par des petits picotements dans tout le pied lorsque celui-ci est sollicité, qui disparaissent dès qu’il n’est plus en mouvement.
Voir également : Comment prévenir et éliminer les champignons plantaires
Comment prévenir et traiter une épine calcanéenne

Pour éviter la formation d’une épine calcanéenne, il est donc nécessaire de prévenir l’apparition de la fasciite plantaire.
Les médecins doivent réaliser une étude détaillée du pied. A travers des semelles personnalisées, ils doivent permettre au patient d’éviter les surcharges sur son pied et doivent empêcher son corps d’être déséquilibré, afin qu’il puisse en finir avec sa pathologie.
Le processus de récupération peut être long. C’est pourquoi il est important d’être constant dans la réalisation des traitements visant à la réduction de l’inflammation du talon.
Nous allons vous en présenter quelques-uns dans la suite de cet article.
La poche de glace
Appliquez du froid sur la zone de votre talon durant 15 minutes au moins, 2 fois par jour. Vous pouvez appliquer quelques glaçons à l’aide d’un linge ou utiliser une poche spécialement conçue pour cette utilisation, que vous devrez placer au congélateur au préalable.
Certaines personnes préfèrent bouger lentement leur pied sur une bouteille d’eau congelée pour soulager leurs douleurs.
Le repos
Il est fondamental que le pied ne soit pas continuellement sollicité pour régler le problème de la fasciite plantaire. Essayez de le surélever durant quelques minutes plusieurs fois durant votre journée, et n’hésitez pas à placer un coussin en dessous de votre talon pendant la nuit.
De cette manière, la pression que vous aurez exercée sur votre talon durant la journée se réduira quelque peu et vous pourrez mieux vous reposer.
Vous devez également changer quelques-unes de vos activités quotidiennes. Si vous avez l’habitude de faire des exercices physiques, supprimez ou adaptez tous ceux qui exercent une pression trop importante sur cette partie de votre corps.
Vous pouvez opter pour des disciplines comme la natation, la marche lente ou le vélo pour ne pas perdre votre forme physique.
L’attelle nocturne
Seul le médecin peut vous prescrire une attelle, et vous devrez aller la chercher chez un orthopédiste pour être certain qu’elle vous convienne parfaitement.
Elle va vous aider à étirer votre fascia plantaire durant votre sommeil. Une attelle en forme de “L” permet au pied d’être maintenu dans la position qui lui convient le mieux.
Si vous avez vraiment très mal, vous pouvez même porter une attelle durant toute la journée.
L’exercice physique
Il est vrai que l’activité physique peut être dangereuse pour vos pieds. Et notamment pour votre talon, surtout si vous souffrez d’une fasciite plantaire. Certaines techniques peuvent également vous être très utiles pour réduire les symptômes de cette pathologie, tout en fortifiant cette zone de votre corps.
Les étirements des mollets
- Mettez-vous debout face à un mur, sur lequel vous allez appuyer vos mains.
- Reculez l’un de vos pieds. Votre genou avant doit légèrement se fléchir.
- Avancez vos hanches vers le mur et maintenez votre position pendant 10 secondes.
- Vous allez alors ressentir une extension de votre mollet.
- Répétez 20 fois cette opération, puis changez de pied.
Les étirements de la fasciite plantaire
- Vous devez réaliser cet exercice chaque matin, avant de vous lever.
- Allongé sur le dos, placez votre pied droit sur votre genou gauche.
- Saisissez vos orteils et tirez-les doucement vers vous.
- Maintenez cette position durant 10 secondes, puis revenez à la position initiale.
- Répétez 20 fois cette opération, puis changez de pied.
Nous vous recommandons également : 5 habitudes avant d’aller dormir pour une meilleure qualité de vie
Les chaussures

En premier lieu, il est important de choisir des chaussures bien adaptées à la taille de vos pieds. La meilleure chose à faire pour y parvenir est d’acheter vos chaussures en fin d’après-midi. Ou bien lorsque vous sortez du travail, au moment où vos pieds sont les plus gonflés.
Pour faire vos essayages, utilisez les mêmes chaussettes que celles que vous portez le plus souvent. Marchez un peu avec les chaussures dans la boutique, en vous assurant que vous pouvez bouger les orteils sans problème et que vous ne ressentez aucune douleur ou aucune pression.
Essayez de ne pas utiliser de talons hauts si vous n’en avez pas besoin. Si vous devez vous rendre à votre travail avec ce type de chaussures, vous pouvez les mettre dans votre sac pour les enfiler juste avant d’arriver devant les locaux de votre entreprise.
Ne portez surtout pas de talons lorsque vous voyagez ou durant votre pause déjeuner, mais optez plutôt pour des chaussures plus confortables.
Si vous souffrez d’un épine calcanéenne, nous vous recommandons d’utiliser des dispositifs orthopédiques. Comme des semelles adaptées ou bien des outils pour vous chausser. Voire des produits encore plus personnalisés, comme les éponges ou les coussinets pour les orteils, par exemple.
F
L’épine calcanéenne est provoquée par une calcification du talon. Ce problème entraîne de vives douleurs et des problèmes pour mouvoir l’articulation du pied.
Ce phénomène est causé par une mauvaise posture, par l’utilisation de chaussures inadaptées et par tout comportement qui pourrait entraîner une modification de la zone du pied.
Dans cet article, nous allons vous expliquer ce que sont exactement ces épines, en vous détaillant leurs causes potentielles et les traitements pour les résorber.
Tout ce qu’il faut savoir sur l’épine calcanéenne

La sensation de douleur provoquée par l’épine calcanéenne est caractéristique et se produit lorsque le talon est victime d’une inflammation importante. Cela provoque une fasciite plantaire, dont les effets peuvent être ressentis dans l’ensemble du pied, orteils compris.
Pour le diagnostiquer, les médecins utilisent les méthodes classiques de radiologie. Cependant, l’épine peut également être visible à l’œil nu car elle provoque de petites protubérances, formées par l’accumulation de calcium.
Parmi les facteurs qui déclenchent cette pathologie, on retrouve la réalisation d’activités répétitives et l’utilisation de hauts talons au quotidien. Le surpoids, les pieds plats ou très arqués, ainsi que les contractures du tendon d’Achille peuvent également être responsables de ce phénomène.
Les étirements continus et excessifs de la fascia plantaire (le tissu qui recouvre les muscles du pied) provoquent de vives douleurs et la condition que nous venons de décrire.
Lorsque ces symptômes se manifestent, le simple fait de poser le talon sur le sol est douloureux. Les personnes atteintes de cette pathologie ne peuvent quasiment plus marcher.
Selon une étude de l’Association Espagnole de Podologie Sportive, le corps répare automatiquement la blessure produite par la déconnexion entre la fascia et l’os, en transportant le calcium à travers le flux sanguin.
L’épine calcanéenne en elle-même ne provoque quasiment aucun symptôme. C’est bien la présence d’une fasciite plantaire dans la partie interne du talon, ou bien dans n’importe quel des cinq orteils, qui est extrêmement douloureuse.
Cette sensation se caractérise par des petits picotements dans tout le pied lorsque celui-ci est sollicité, qui disparaissent dès qu’il n’est plus en mouvement.
Voir également : Comment prévenir et éliminer les champignons plantaires
Comment prévenir et traiter une épine calcanéenne

Pour éviter la formation d’une épine calcanéenne, il est donc nécessaire de prévenir l’apparition de la fasciite plantaire.
Les médecins doivent réaliser une étude détaillée du pied. A travers des semelles personnalisées, ils doivent permettre au patient d’éviter les surcharges sur son pied et doivent empêcher son corps d’être déséquilibré, afin qu’il puisse en finir avec sa pathologie.
Le processus de récupération peut être long. C’est pourquoi il est important d’être constant dans la réalisation des traitements visant à la réduction de l’inflammation du talon.
Nous allons vous en présenter quelques-uns dans la suite de cet article.
La poche de glace
Appliquez du froid sur la zone de votre talon durant 15 minutes au moins, 2 fois par jour. Vous pouvez appliquer quelques glaçons à l’aide d’un linge ou utiliser une poche spécialement conçue pour cette utilisation, que vous devrez placer au congélateur au préalable.
Certaines personnes préfèrent bouger lentement leur pied sur une bouteille d’eau congelée pour soulager leurs douleurs.
Le repos
Il est fondamental que le pied ne soit pas continuellement sollicité pour régler le problème de la fasciite plantaire. Essayez de le surélever durant quelques minutes plusieurs fois durant votre journée, et n’hésitez pas à placer un coussin en dessous de votre talon pendant la nuit.
De cette manière, la pression que vous aurez exercée sur votre talon durant la journée se réduira quelque peu et vous pourrez mieux vous reposer.
Vous devez également changer quelques-unes de vos activités quotidiennes. Si vous avez l’habitude de faire des exercices physiques, supprimez ou adaptez tous ceux qui exercent une pression trop importante sur cette partie de votre corps.
Vous pouvez opter pour des disciplines comme la natation, la marche lente ou le vélo pour ne pas perdre votre forme physique.
L’attelle nocturne
Seul le médecin peut vous prescrire une attelle, et vous devrez aller la chercher chez un orthopédiste pour être certain qu’elle vous convienne parfaitement.
Elle va vous aider à étirer votre fascia plantaire durant votre sommeil. Une attelle en forme de “L” permet au pied d’être maintenu dans la position qui lui convient le mieux.
Si vous avez vraiment très mal, vous pouvez même porter une attelle durant toute la journée.
L’exercice physique
Il est vrai que l’activité physique peut être dangereuse pour vos pieds. Et notamment pour votre talon, surtout si vous souffrez d’une fasciite plantaire. Certaines techniques peuvent également vous être très utiles pour réduire les symptômes de cette pathologie, tout en fortifiant cette zone de votre corps.
Les étirements des mollets
- Mettez-vous debout face à un mur, sur lequel vous allez appuyer vos mains.
- Reculez l’un de vos pieds. Votre genou avant doit légèrement se fléchir.
- Avancez vos hanches vers le mur et maintenez votre position pendant 10 secondes.
- Vous allez alors ressentir une extension de votre mollet.
- Répétez 20 fois cette opération, puis changez de pied.
Les étirements de la fasciite plantaire
- Vous devez réaliser cet exercice chaque matin, avant de vous lever.
- Allongé sur le dos, placez votre pied droit sur votre genou gauche.
- Saisissez vos orteils et tirez-les doucement vers vous.
- Maintenez cette position durant 10 secondes, puis revenez à la position initiale.
- Répétez 20 fois cette opération, puis changez de pied.
Nous vous recommandons également : 5 habitudes avant d’aller dormir pour une meilleure qualité de vie
Les chaussures

En premier lieu, il est important de choisir des chaussures bien adaptées à la taille de vos pieds. La meilleure chose à faire pour y parvenir est d’acheter vos chaussures en fin d’après-midi. Ou bien lorsque vous sortez du travail, au moment où vos pieds sont les plus gonflés.
Pour faire vos essayages, utilisez les mêmes chaussettes que celles que vous portez le plus souvent. Marchez un peu avec les chaussures dans la boutique, en vous assurant que vous pouvez bouger les orteils sans problème et que vous ne ressentez aucune douleur ou aucune pression.
Essayez de ne pas utiliser de talons hauts si vous n’en avez pas besoin. Si vous devez vous rendre à votre travail avec ce type de chaussures, vous pouvez les mettre dans votre sac pour les enfiler juste avant d’arriver devant les locaux de votre entreprise.
Ne portez surtout pas de talons lorsque vous voyagez ou durant votre pause déjeuner, mais optez plutôt pour des chaussures plus confortables.
Si vous souffrez d’un épine calcanéenne, nous vous recommandons d’utiliser des dispositifs orthopédiques. Comme des semelles adaptées ou bien des outils pour vous chausser. Voire des produits encore plus personnalisés, comme les éponges ou les coussinets pour les orteils, par exemple.
F
Ce texte est fourni à des fins d'information uniquement et ne remplace pas la consultation d'un professionnel. En cas de doute, consultez votre spécialiste.







