Les signes d'un cancer du poumon et tout ce que vous devez savoir

En général, pendant la première étape du cancer du poumon, il ne présente aucun symptôme. C’est la raison pour laquelle de nombreuses tumeurs ne sont pas détectées avant un stade avancé de la maladie.
Les poumons jouent un rôle essentiel dans le système respiratoire. L’air qui entre par le nez ou par la bouche circule par la trachée jusqu’à arriver aux bronches puis se loge dans les poumons.
- Par conséquent, lorsque vous aspirez, ces organes se remplissent d’air. C’est ainsi que nous obtenons de l’oxygène.
- Lorsque cet air se libère, nous produisons ce que nous connaissons sous le nom de dioxyde de carbone.
Mais, comment survient le cancer ? Tout commence dans les cellules qui se trouvent dans les tissus et les organes du corps, dans le cas présent, les poumons.
Les cellules se divisent pour former de nouvelles cellules. Lorsqu’elles s’endommagent ou vieillissent, elles sont remplacées par d’autres.
Mais parfois ce processus se déséquilibre, c’est-à-dire qu’il y a un excès de renouvellement des cellules, et des tumeurs se forment.
Le cancer du poumon de cellules moyennes est le type le plus fréquent.
Les types de cancer

Les cellules moyennes se divisent en plusieurs catégories, selon leur apparence sous le microscope :
- Carcinome de cellules squameuses. Ce type de cancer survient dans les cellules squameuses, c’est-à-dire, des cellules fines et planes similaires aux écailles de poissons. Dans le domaine médical il est connu sous le nom de carcinome épidermoïde.
- Carcinome de grandes cellules. Il survient dans plusieurs types de grandes cellules.
- Adénocarcinome. Il survient dans les cellules qui recouvrent les alvéoles et fabriquent des substance comme le mucus.
- Types non communs. Tumeur carcinoïde pléomorphe, carcinome de la glande salivaire et le carcinome non classifié.
Voir également : 8 symptômes communs du cancer que la majorité des gens ignore
Les facteurs à risque
- Les fumeurs ont 90% de chance de souffrir d’un cancer du poumon.
- Nous ne pouvons nier que les fumeurs passifs sont aussi touchés.
- Inhalation de substances du type arsenic, silicium ou chrome.
Diagnostic

Il n’existe pas de symptômes cliniques spécifiques pour le diagnostique du cancer du poumon.
Toutefois, certains symptômes reviennent souvent :
- Toux constante ou qui empire
- Douleur dans la poitrine
- Problèmes respiratoires
- Toux contenant du sang, glaires d’une teinte similaire au métal oxydé
- Fatigue constante
- Ronflement
- Perte de poids sans raison apparente
- Infections du type bronchite et pneumonie récurrentes
- Sifflement dans la poitrine
S’il se propage au reste du corps, le patient peut souffrir des symptômes suivants :
- Coloration jaune de la peau, car le cancer a atteint le foie
- Douleur dans les os
- Maux de tête
- Faiblesse dans les jambes et les bras
- Nausées
- Convulsions
- Protubérances dans les ganglions lymphatiques à cause de l’accumulation de cellules dans le système immunitaire
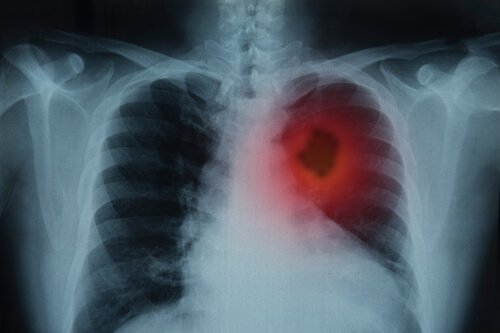
Si les signes persistent au-delà de trois semaines, il est indispensable que le patient consulte un médecin afin de réaliser une radiographie du thorax.
Ensuite, une fois les résultats présents, le médecin étudiera minutieusement le dossier, fera un examen physique et d’autres examens en laboratoire.
Détection
Elle consiste à chercher des signes de la maladie avant que le patient n’en présente les symptômes.
- Examen physique. Le médecin étudie l’état de santé général du patient, regarde s’il n’y a pas de nodules ou d’autres signes anormaux. Il prend en compte les habitudes, les antécédents et les traitements pour des maladies précédentes.
- Examens en laboratoire. Dans ce cas on fait des prélèvements de sang, d’urine, de tissus et d’autres substances qui permettent d’apporter des résultats.
- Images. Il s’agit d’un procédé qui permet de capturer les zones internes du corps.
- Examens génétiques. On y cherche des mutations de gênes qui pourraient être liées à différents types de cancer.
Remarque : il est important qu’un médecin autorise le processus pour détecter le cancer, car tous les examens ne sont pas utiles et peuvent en plus présenter des risques pour le patient.
Traitement pour le cancer du poumon

Il existe plusieurs sortes de traitement pour traiter le cancer du poumon, selon la gravité et la zone touchée. Voici les plus communs :
- Chirurgie : on réalise une opération qui consiste à retirer le tissu cancéreux.
- Chimiothérapie : il s’agit de la prise de médicaments sous forme de gélules ou par voie intraveineuse afin de réduire ou d’éliminer le cancer.
- Radiothérapie : on attaque le cancer par le biais d’une radiation de haute intensité.
- Thérapie dirigée : prise de médicaments pour bloquer la propagation de cellules cancéreuses.
Ne ratez pas : 8 herbes à utiliser pour améliorer la santé de vos poumons
Prévention
- Evitez la fumée du tabac
- Augmentez votre consommation de fruits et légumes
- Faites du sport régulièrement
- Ne cuisinez pas au feu de bois, car les substances libérées sont nocives.
- Eloignez-vous des zones de haute industrialisation
- Réduisez votre consommation d’alcool
- Consultez votre médecin tous les ans afin de détecter une quelconque anomalie
N’oubliez pas, il vaut mieux prévenir que guérir.
En général, pendant la première étape du cancer du poumon, il ne présente aucun symptôme. C’est la raison pour laquelle de nombreuses tumeurs ne sont pas détectées avant un stade avancé de la maladie.
Les poumons jouent un rôle essentiel dans le système respiratoire. L’air qui entre par le nez ou par la bouche circule par la trachée jusqu’à arriver aux bronches puis se loge dans les poumons.
- Par conséquent, lorsque vous aspirez, ces organes se remplissent d’air. C’est ainsi que nous obtenons de l’oxygène.
- Lorsque cet air se libère, nous produisons ce que nous connaissons sous le nom de dioxyde de carbone.
Mais, comment survient le cancer ? Tout commence dans les cellules qui se trouvent dans les tissus et les organes du corps, dans le cas présent, les poumons.
Les cellules se divisent pour former de nouvelles cellules. Lorsqu’elles s’endommagent ou vieillissent, elles sont remplacées par d’autres.
Mais parfois ce processus se déséquilibre, c’est-à-dire qu’il y a un excès de renouvellement des cellules, et des tumeurs se forment.
Le cancer du poumon de cellules moyennes est le type le plus fréquent.
Les types de cancer

Les cellules moyennes se divisent en plusieurs catégories, selon leur apparence sous le microscope :
- Carcinome de cellules squameuses. Ce type de cancer survient dans les cellules squameuses, c’est-à-dire, des cellules fines et planes similaires aux écailles de poissons. Dans le domaine médical il est connu sous le nom de carcinome épidermoïde.
- Carcinome de grandes cellules. Il survient dans plusieurs types de grandes cellules.
- Adénocarcinome. Il survient dans les cellules qui recouvrent les alvéoles et fabriquent des substance comme le mucus.
- Types non communs. Tumeur carcinoïde pléomorphe, carcinome de la glande salivaire et le carcinome non classifié.
Voir également : 8 symptômes communs du cancer que la majorité des gens ignore
Les facteurs à risque
- Les fumeurs ont 90% de chance de souffrir d’un cancer du poumon.
- Nous ne pouvons nier que les fumeurs passifs sont aussi touchés.
- Inhalation de substances du type arsenic, silicium ou chrome.
Diagnostic

Il n’existe pas de symptômes cliniques spécifiques pour le diagnostique du cancer du poumon.
Toutefois, certains symptômes reviennent souvent :
- Toux constante ou qui empire
- Douleur dans la poitrine
- Problèmes respiratoires
- Toux contenant du sang, glaires d’une teinte similaire au métal oxydé
- Fatigue constante
- Ronflement
- Perte de poids sans raison apparente
- Infections du type bronchite et pneumonie récurrentes
- Sifflement dans la poitrine
S’il se propage au reste du corps, le patient peut souffrir des symptômes suivants :
- Coloration jaune de la peau, car le cancer a atteint le foie
- Douleur dans les os
- Maux de tête
- Faiblesse dans les jambes et les bras
- Nausées
- Convulsions
- Protubérances dans les ganglions lymphatiques à cause de l’accumulation de cellules dans le système immunitaire
Si les signes persistent au-delà de trois semaines, il est indispensable que le patient consulte un médecin afin de réaliser une radiographie du thorax.
Ensuite, une fois les résultats présents, le médecin étudiera minutieusement le dossier, fera un examen physique et d’autres examens en laboratoire.
Détection
Elle consiste à chercher des signes de la maladie avant que le patient n’en présente les symptômes.
- Examen physique. Le médecin étudie l’état de santé général du patient, regarde s’il n’y a pas de nodules ou d’autres signes anormaux. Il prend en compte les habitudes, les antécédents et les traitements pour des maladies précédentes.
- Examens en laboratoire. Dans ce cas on fait des prélèvements de sang, d’urine, de tissus et d’autres substances qui permettent d’apporter des résultats.
- Images. Il s’agit d’un procédé qui permet de capturer les zones internes du corps.
- Examens génétiques. On y cherche des mutations de gênes qui pourraient être liées à différents types de cancer.
Remarque : il est important qu’un médecin autorise le processus pour détecter le cancer, car tous les examens ne sont pas utiles et peuvent en plus présenter des risques pour le patient.
Traitement pour le cancer du poumon

Il existe plusieurs sortes de traitement pour traiter le cancer du poumon, selon la gravité et la zone touchée. Voici les plus communs :
- Chirurgie : on réalise une opération qui consiste à retirer le tissu cancéreux.
- Chimiothérapie : il s’agit de la prise de médicaments sous forme de gélules ou par voie intraveineuse afin de réduire ou d’éliminer le cancer.
- Radiothérapie : on attaque le cancer par le biais d’une radiation de haute intensité.
- Thérapie dirigée : prise de médicaments pour bloquer la propagation de cellules cancéreuses.
Ne ratez pas : 8 herbes à utiliser pour améliorer la santé de vos poumons
Prévention
- Evitez la fumée du tabac
- Augmentez votre consommation de fruits et légumes
- Faites du sport régulièrement
- Ne cuisinez pas au feu de bois, car les substances libérées sont nocives.
- Eloignez-vous des zones de haute industrialisation
- Réduisez votre consommation d’alcool
- Consultez votre médecin tous les ans afin de détecter une quelconque anomalie
N’oubliez pas, il vaut mieux prévenir que guérir.
Toutes les sources citées ont été examinées en profondeur par notre équipe pour garantir leur qualité, leur fiabilité, leur actualité et leur validité. La bibliographie de cet article a été considérée comme fiable et précise sur le plan académique ou scientifique
- Giraud, P., Lacornerie, T., & Mornex, F. (2016). Radiothérapie des cancers primitifs du poumon. Cancer/Radiotherapie. https://doi.org/10.1016/j.canrad.2016.07.009
- Bara E, Belaud S, Delavigne V, D. M. (2010). Les traitements des cancers du poumon. Guides de Référence Cancer Info.
- Hill, C., & Laplanche, A. (2003). Tabagisme et mortalité: aspects épidémiologiques. Numéro Thématique JOURNÉE MONDIALE SANS TABAC.
Ce texte est fourni à des fins d'information uniquement et ne remplace pas la consultation d'un professionnel. En cas de doute, consultez votre spécialiste.







