Neutropénie : symptômes et traitements

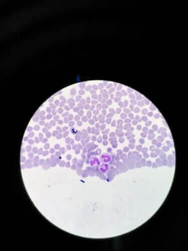
La neutropénie est une maladie du sang. Elle consiste en la diminution des granulocytes dans le sang.
Les granulocytes sont des cellules présentes dans notre sang, qui se chargent principalement de combattre les infections.
Il existe 3 types de granulocytes :
- Neutrophiles
- Éosinophiles
- Basophiles
Selon la définition la plus courante, la neutropénie survient lorsque le nombre de neutrophiles est inférieur à 1500 mm³.
C’est une pathologie peu courante mais potentiellement grave. Nous vous expliquerons dans cet article en quoi elle consiste et quels sont ses symptômes.
Pourquoi survient la neutropénie ?
Tel que nous l’avons mentionné, la neutropénie est le résultat de la baisse du nombre de neutrophiles dans le sang. Cela peut survenir pour 2 raisons :
- Granulopoïèse inefficace : il s’agit d’un dysfonctionnement du processus de création des neutrophiles, qui a lieu dans la moelle. Toute altération médullaire peut ainsi la causer. Par exemple, elle peut survenir dans le cas de l’anémie aplasique ou de la leucémie
- Destruction précoce ou utilisation des neutrophiles : si cela survient plus rapidement que la capacité de génération de nouveaux neutrophiles de la moelle, une neutropénie apparaît alors
Les neutrophiles sont des cellules chargées de combattre les infections bactériennes. Elles sont ainsi sursollicitées dans ce genre de situations. Par ailleurs, la destruction précoce peut être causée par certains médicaments tels que la noramidopyrine. Mais également à cause des radiations ou les maladies auto-immunes.
Nous pouvons ainsi dire que l’étiologie de la neutropénie peut être :
- Génétique : lorsque la production des cellules est perturbée par un problème génétique
- Congénitale
- Acquise : nous nous référons à la neutropénie causée par des médicaments ou par des malignités
Lisez également : Un groupe de scientifiques trouve une technique novatrice contre la leucémie

Comment est-elle classifiée ?
La gravité de la neutropénie se classe selon le nombre de neutrophiles dans le sang :
- Légère : nombre de neutrophiles compris entre 1000 à 1500 /µL sang
- Modérée : nombre de neutrophiles compris entre 500 à 100/µL sang
- Grave : nombre de neutrophiles inférieur à 500/µL sang
Symptômes de la neutropénie
Cette pathologie ne présente pas de symptômes particuliers. De fait, elle peut passer complément inaperçue. Certains des symptômes qu’elle présente sont :
- Fièvre supérieure à 38°C : souvent accompagnée de frissons et de transpiration
- Toux et essoufflement
- Faiblesse et fatigue
- Aphtes dans la bouche et ulcères vasculaires
- Miction douloureuse
- Vomissements et diarrhée
A voir : 5 soupes pour guérir la diarrhée
Chez la femme, on peut constater une modification des sécrétions vaginales. Il est important de savoir que le patient souffre souvent d’infections. En outre, il s’agit en règle générale d’infections peu habituelles.
Comment diagnostique-t-on la neutropénie ?
Les médecins suspectent cette maladie lors de l’apparition fréquente d’infections. On réalise tout d’abord une prise de sang. On pourra ainsi constater, le cas échéant, un nombre baisse de granulocytes. Enfin, on peut examiner la moelle osseuse à l’aide d’une biopsie.
D’autres examens servent à établir le diagnostic :
- Analyse d’urine ou d’autres fluides : on peut ainsi trouver des agents infectieux si la personne présente de la fièvre
- Examens génétiques
- Examens d’anticorps : ils servent à écarter une origine auto-immune

Traitement de la neutropénie
Le traitement dépend de la cause et de la gravité du cas. Ainsi, si c’est un médicament qui est en cause, il est nécessaire de suspendre sa prise. Si ce n’est pas possible, l’idéal est de préférer un autre médicament. On doit également réaliser des analyses de sang de contrôle.
Dans le cas d’une infection, le patient doit prendre des antibiotiques. On prescrit souvent des antibiotiques contre les micro-organismes les plus courants. Lorsque la neutropénie est due à une maladie autoimmune, les corticoïdes donnent de bons résultats.
En outre, il existe aujourd’hui des traitements plus spécifiques, comme par exemple :
- La transfusion de leucocytes
- Un facteur stimulant de colonies de granulocytes (G-CSF) : c’est une méthode qui stimule la moelle osseuse pour qu’elle produise plus de granulocytes. Elle est notamment efficace chez les personnes dont la neutropénie est due à la chimiothérapie
- Greffe de moelle osseuse : c’est un traitement réservé aux cas pour lesquels les autres mesures n’ont pas fonctionné. La moelle osseuse saine peut produire des granulocytes sains. Néanmoins, il est compliqué de trouver des donneurs compatibles
En conclusion
La neutropénie est une pathologie sanguine complexe. Il est nécessaire de consulter le médecin si vous souffrez régulièrement d’infections. Mais aussi si vous vous sentez fatigué, si vous avez de la fièvre ou tout autre symptôme mentionné auparavant. Le médecin réalisera les examens appropriés et prescrira le traitement adéquat.
La neutropénie est une maladie du sang. Elle consiste en la diminution des granulocytes dans le sang.
Les granulocytes sont des cellules présentes dans notre sang, qui se chargent principalement de combattre les infections.
Il existe 3 types de granulocytes :
- Neutrophiles
- Éosinophiles
- Basophiles
Selon la définition la plus courante, la neutropénie survient lorsque le nombre de neutrophiles est inférieur à 1500 mm³.
C’est une pathologie peu courante mais potentiellement grave. Nous vous expliquerons dans cet article en quoi elle consiste et quels sont ses symptômes.
Pourquoi survient la neutropénie ?
Tel que nous l’avons mentionné, la neutropénie est le résultat de la baisse du nombre de neutrophiles dans le sang. Cela peut survenir pour 2 raisons :
- Granulopoïèse inefficace : il s’agit d’un dysfonctionnement du processus de création des neutrophiles, qui a lieu dans la moelle. Toute altération médullaire peut ainsi la causer. Par exemple, elle peut survenir dans le cas de l’anémie aplasique ou de la leucémie
- Destruction précoce ou utilisation des neutrophiles : si cela survient plus rapidement que la capacité de génération de nouveaux neutrophiles de la moelle, une neutropénie apparaît alors
Les neutrophiles sont des cellules chargées de combattre les infections bactériennes. Elles sont ainsi sursollicitées dans ce genre de situations. Par ailleurs, la destruction précoce peut être causée par certains médicaments tels que la noramidopyrine. Mais également à cause des radiations ou les maladies auto-immunes.
Nous pouvons ainsi dire que l’étiologie de la neutropénie peut être :
- Génétique : lorsque la production des cellules est perturbée par un problème génétique
- Congénitale
- Acquise : nous nous référons à la neutropénie causée par des médicaments ou par des malignités
Lisez également : Un groupe de scientifiques trouve une technique novatrice contre la leucémie

Comment est-elle classifiée ?
La gravité de la neutropénie se classe selon le nombre de neutrophiles dans le sang :
- Légère : nombre de neutrophiles compris entre 1000 à 1500 /µL sang
- Modérée : nombre de neutrophiles compris entre 500 à 100/µL sang
- Grave : nombre de neutrophiles inférieur à 500/µL sang
Symptômes de la neutropénie
Cette pathologie ne présente pas de symptômes particuliers. De fait, elle peut passer complément inaperçue. Certains des symptômes qu’elle présente sont :
- Fièvre supérieure à 38°C : souvent accompagnée de frissons et de transpiration
- Toux et essoufflement
- Faiblesse et fatigue
- Aphtes dans la bouche et ulcères vasculaires
- Miction douloureuse
- Vomissements et diarrhée
A voir : 5 soupes pour guérir la diarrhée
Chez la femme, on peut constater une modification des sécrétions vaginales. Il est important de savoir que le patient souffre souvent d’infections. En outre, il s’agit en règle générale d’infections peu habituelles.
Comment diagnostique-t-on la neutropénie ?
Les médecins suspectent cette maladie lors de l’apparition fréquente d’infections. On réalise tout d’abord une prise de sang. On pourra ainsi constater, le cas échéant, un nombre baisse de granulocytes. Enfin, on peut examiner la moelle osseuse à l’aide d’une biopsie.
D’autres examens servent à établir le diagnostic :
- Analyse d’urine ou d’autres fluides : on peut ainsi trouver des agents infectieux si la personne présente de la fièvre
- Examens génétiques
- Examens d’anticorps : ils servent à écarter une origine auto-immune

Traitement de la neutropénie
Le traitement dépend de la cause et de la gravité du cas. Ainsi, si c’est un médicament qui est en cause, il est nécessaire de suspendre sa prise. Si ce n’est pas possible, l’idéal est de préférer un autre médicament. On doit également réaliser des analyses de sang de contrôle.
Dans le cas d’une infection, le patient doit prendre des antibiotiques. On prescrit souvent des antibiotiques contre les micro-organismes les plus courants. Lorsque la neutropénie est due à une maladie autoimmune, les corticoïdes donnent de bons résultats.
En outre, il existe aujourd’hui des traitements plus spécifiques, comme par exemple :
- La transfusion de leucocytes
- Un facteur stimulant de colonies de granulocytes (G-CSF) : c’est une méthode qui stimule la moelle osseuse pour qu’elle produise plus de granulocytes. Elle est notamment efficace chez les personnes dont la neutropénie est due à la chimiothérapie
- Greffe de moelle osseuse : c’est un traitement réservé aux cas pour lesquels les autres mesures n’ont pas fonctionné. La moelle osseuse saine peut produire des granulocytes sains. Néanmoins, il est compliqué de trouver des donneurs compatibles
En conclusion
La neutropénie est une pathologie sanguine complexe. Il est nécessaire de consulter le médecin si vous souffrez régulièrement d’infections. Mais aussi si vous vous sentez fatigué, si vous avez de la fièvre ou tout autre symptôme mentionné auparavant. Le médecin réalisera les examens appropriés et prescrira le traitement adéquat.
Toutes les sources citées ont été examinées en profondeur par notre équipe pour garantir leur qualité, leur fiabilité, leur actualité et leur validité. La bibliographie de cet article a été considérée comme fiable et précise sur le plan académique ou scientifique
- Agranulocitosis. Síntomas, causas y tratamiento. (n.d.). Retrieved May 21, 2019, from http://leucocitos.org/granulocitos/agranulocitosis/
- Agranulocitosis: Definición, Causas, Síntomas, Tratamiento y Más. (n.d.). Retrieved May 21, 2019, from https://superatuenfermedad.com/c-sangre/agranulocitosis/
- Agranulocitosis – Cancer Care of Western New York. (n.d.). Retrieved May 21, 2019, from https://www.cancercarewny.com/content.aspx?chunkiid=195965
- Agranulocitosis: Qué es, cualés son los síntomas y cómo tratarla. (n.d.). Retrieved May 21, 2019, from https://www.lavanguardia.com/vida/salud/enfermedades-sangre/20190414/461641314222/neutrofilos-eosinofilos-basofilos-agranulocitosis-neutropenia-granulocitopenia-sangre-infecciones.html
- Díaz Valiente, O., Sandrino Sánchez, M., & Pérez Martin, M. M. (2017). Revista de ciencias médicas de Pinar del Río. Revista de Ciencias Médicas de Pinar del Río (Vol. 21). 1999, Editorial Ciencias Médicas. Retrieved from http://scielo.sld.cu/scielo.php?script=sci_arttext&pid=S1561-31942017000500019
Ce texte est fourni à des fins d'information uniquement et ne remplace pas la consultation d'un professionnel. En cas de doute, consultez votre spécialiste.







