Qu'est-ce qu'un nodule pulmonaire ?

Lorsque nous entendons parler d’un nodule pulmonaire, la première pensée qui nous vient à l’esprit est le cancer. Cependant, même si les deux pathologies sont souvent liées, il peut s’agir d’un processus bénin.
Un nodule pulmonaire est une masse qui survient dans le poumon pouvant mesurer entre 5 et 30 millimètres. Il s’agit d’une maladie de plus en plus fréquente, qui toucherait environ 0,2% de la population. Toutefois, presque 60% des nodules sont bénins.
Par ailleurs, les causes de cette maladie sont très variées, allant d’une infection à un processus tumoral. La plupart d’entre eux sont découverts de manière accidentelle lors d’une tomographie axiale ou d’une radiographie.
Il est important de diagnostiquer cette situation à un stade précoce afin d’éviter les complications et d’écarter tout ce qui pourrait être plus grave. Par conséquent, dans cet article nous vous expliquons tout sur le nodule pulmonaire et les symptômes qu’il déclenche.
Quelles sont les causes d’un nodule pulmonaire ?
Comme nous l’avons déjà mentionné, un nodule pulmonaire est une masse qui apparaît dans le poumon. Pour cette raison, les causes peuvent être diverses. Le plus souvent, elles sont secondaires à une infection, que ce soit par des bactéries, des champignons ou des parasites.
Parmi les causes infectieuses, il faut souligner que les nodules pulmonaires sont courants chez les personnes affectées par la tuberculose. Bien que son incidence ait diminué, il s’agit encore d’une maladie relativement fréquente.
Découvrez également : Tuberculose rénale : diagnostic et traitement
Cause néoplasique
Actuellement, la première chose à écarter face à un nodule pulmonaire est qu’il s’agit d’un processus cancéreux. En effet, le cancer des poumons est l’un des plus communs à cause, entre autres, du tabagisme.
Dans ces cas, les nodules ont généralement un aspect irrégulier sur la radiographie, avec des bords mal définis. Par ailleurs, ils sont généralement plus petits que les nodules bénins et sont associés à certains facteurs de risque tels que :
- Être fumeur
- Avoir plus de 35 ans
- Avoir souffert d’un cancer antérieur
- Présenter un nodule ayant connu une croissance rapide en quelques mois
Néanmoins, il est important de savoir que tous les nodules pulmonaires néoplasiques ne sont pas malins. Il existe également certaines tumeurs bénignes, même si elles sont bien moins fréquentes que les malignes.

Autres causes du nodule pulmonaire
Il existe d’autres maladies qui peuvent être à l’origine de cette altération pulmonaire. Par exemple, certains processus auto-immuns tels que la granulomatose de Wegener ou le nodule rhumatoïde. Les deux sont rares.
D’autre part, chez certaines personnes, le nodule pulmonaire peut apparaître à la suite d’un traumatisme, d’une maladie métabolique appelée amylose ou après le début d’un kyste bronchique.
Comment le nodule pulmonaire est-il diagnostiqué ?
Pour diagnostiquer le nodule pulmonaire et découvrir sa cause, il est essentiel de réaliser tout d’abord un historique médical de la personne. En effet, il faut savoir si elle a souffert de la tuberculose ou a été exposée à certaines infections ou sujets infectés.
En outre, il faut savoir également s’il s’agit d’une personne fumeuse ou non. De nombreuses études ont démontré qu’une grande partie des nodules sont cancérigènes et sont liés au tabagisme.
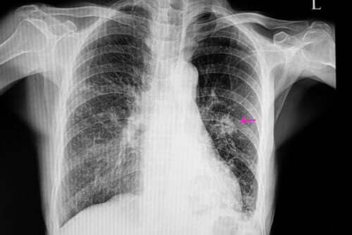
Une fois que cela est clair, il est nécessaire de réaliser quelques tests d’imagerie pour localiser le nodule. Par ailleurs, les images permettent d’observer certaines caractéristiques comme la forme et la taille. Ces aspects sont fondamentaux pour distinguer un nodule bénin d’un nodule éventuellement malin.
Les plus utilisées sont la radiographie du thorax et le scanner. Afin de connaître la cause exacte du nodule pulmonaire, on effectue parfois des biopsies qui permettent d’analyser le tissu qui le forme.

Lisez aussi : 10 signes que vos poumons manquent de force
Quel est le traitement approprié ?
Le traitement va dépendre de la cause du nodule. Tout d’abord, lorsque l’origine est infectieuse, il se peut que le traitement ne soit pas utile. Ou alors des antibiotiques ou des antifongiques peuvent être prescrits pour stopper l’infection.
Lorsque la cause n’est pas claire, le traitement est orienté en fonction du risque de cancer. Par exemple, chez les sujets plus jeunes non-fumeurs, dont le nodule ne semble pas être malin, seuls des examens périodiques peuvent être nécessaires. Cela permet de vérifier si le nodule change ou grandit.
En revanche, s’il existe un risque de cancer, le plus important est de réaliser la biopsie. S’il est effectivement cancérigène, une intervention chirurgicale peut être utile pour l’enlever. Toutefois, lorsque la chirurgie n’est pas réalisable, on opte pour la chimiothérapie ou la radiothérapie.
Enfin, pour terminer, il est essentiel de souligner à nouveau l’influence négative du tabac. En effet, nous devons être conscients du risque encouru et faire des examens médicaux régulièrement afin de pouvoir diagnostiquer ce type de pathologie à un stade précoce.
Lorsque nous entendons parler d’un nodule pulmonaire, la première pensée qui nous vient à l’esprit est le cancer. Cependant, même si les deux pathologies sont souvent liées, il peut s’agir d’un processus bénin.
Un nodule pulmonaire est une masse qui survient dans le poumon pouvant mesurer entre 5 et 30 millimètres. Il s’agit d’une maladie de plus en plus fréquente, qui toucherait environ 0,2% de la population. Toutefois, presque 60% des nodules sont bénins.
Par ailleurs, les causes de cette maladie sont très variées, allant d’une infection à un processus tumoral. La plupart d’entre eux sont découverts de manière accidentelle lors d’une tomographie axiale ou d’une radiographie.
Il est important de diagnostiquer cette situation à un stade précoce afin d’éviter les complications et d’écarter tout ce qui pourrait être plus grave. Par conséquent, dans cet article nous vous expliquons tout sur le nodule pulmonaire et les symptômes qu’il déclenche.
Quelles sont les causes d’un nodule pulmonaire ?
Comme nous l’avons déjà mentionné, un nodule pulmonaire est une masse qui apparaît dans le poumon. Pour cette raison, les causes peuvent être diverses. Le plus souvent, elles sont secondaires à une infection, que ce soit par des bactéries, des champignons ou des parasites.
Parmi les causes infectieuses, il faut souligner que les nodules pulmonaires sont courants chez les personnes affectées par la tuberculose. Bien que son incidence ait diminué, il s’agit encore d’une maladie relativement fréquente.
Découvrez également : Tuberculose rénale : diagnostic et traitement
Cause néoplasique
Actuellement, la première chose à écarter face à un nodule pulmonaire est qu’il s’agit d’un processus cancéreux. En effet, le cancer des poumons est l’un des plus communs à cause, entre autres, du tabagisme.
Dans ces cas, les nodules ont généralement un aspect irrégulier sur la radiographie, avec des bords mal définis. Par ailleurs, ils sont généralement plus petits que les nodules bénins et sont associés à certains facteurs de risque tels que :
- Être fumeur
- Avoir plus de 35 ans
- Avoir souffert d’un cancer antérieur
- Présenter un nodule ayant connu une croissance rapide en quelques mois
Néanmoins, il est important de savoir que tous les nodules pulmonaires néoplasiques ne sont pas malins. Il existe également certaines tumeurs bénignes, même si elles sont bien moins fréquentes que les malignes.

Autres causes du nodule pulmonaire
Il existe d’autres maladies qui peuvent être à l’origine de cette altération pulmonaire. Par exemple, certains processus auto-immuns tels que la granulomatose de Wegener ou le nodule rhumatoïde. Les deux sont rares.
D’autre part, chez certaines personnes, le nodule pulmonaire peut apparaître à la suite d’un traumatisme, d’une maladie métabolique appelée amylose ou après le début d’un kyste bronchique.
Comment le nodule pulmonaire est-il diagnostiqué ?
Pour diagnostiquer le nodule pulmonaire et découvrir sa cause, il est essentiel de réaliser tout d’abord un historique médical de la personne. En effet, il faut savoir si elle a souffert de la tuberculose ou a été exposée à certaines infections ou sujets infectés.
En outre, il faut savoir également s’il s’agit d’une personne fumeuse ou non. De nombreuses études ont démontré qu’une grande partie des nodules sont cancérigènes et sont liés au tabagisme.
Une fois que cela est clair, il est nécessaire de réaliser quelques tests d’imagerie pour localiser le nodule. Par ailleurs, les images permettent d’observer certaines caractéristiques comme la forme et la taille. Ces aspects sont fondamentaux pour distinguer un nodule bénin d’un nodule éventuellement malin.
Les plus utilisées sont la radiographie du thorax et le scanner. Afin de connaître la cause exacte du nodule pulmonaire, on effectue parfois des biopsies qui permettent d’analyser le tissu qui le forme.

Lisez aussi : 10 signes que vos poumons manquent de force
Quel est le traitement approprié ?
Le traitement va dépendre de la cause du nodule. Tout d’abord, lorsque l’origine est infectieuse, il se peut que le traitement ne soit pas utile. Ou alors des antibiotiques ou des antifongiques peuvent être prescrits pour stopper l’infection.
Lorsque la cause n’est pas claire, le traitement est orienté en fonction du risque de cancer. Par exemple, chez les sujets plus jeunes non-fumeurs, dont le nodule ne semble pas être malin, seuls des examens périodiques peuvent être nécessaires. Cela permet de vérifier si le nodule change ou grandit.
En revanche, s’il existe un risque de cancer, le plus important est de réaliser la biopsie. S’il est effectivement cancérigène, une intervention chirurgicale peut être utile pour l’enlever. Toutefois, lorsque la chirurgie n’est pas réalisable, on opte pour la chimiothérapie ou la radiothérapie.
Enfin, pour terminer, il est essentiel de souligner à nouveau l’influence négative du tabac. En effet, nous devons être conscients du risque encouru et faire des examens médicaux régulièrement afin de pouvoir diagnostiquer ce type de pathologie à un stade précoce.
Toutes les sources citées ont été examinées en profondeur par notre équipe pour garantir leur qualité, leur fiabilité, leur actualité et leur validité. La bibliographie de cet article a été considérée comme fiable et précise sur le plan académique ou scientifique
- Un nódulo pulmonar solitario | Medicina Integral. (n.d.). Retrieved December 24, 2019, from https://www.elsevier.es/es-revista-medicina-integral-63-articulo-un-nodulo-pulmonar-solitario-13046283
- Nódulos pulmonares: ¿Pueden ser cancerosos? Mayo Clinic. https://www.mayoclinic.org/es-es/diseases-conditions/lung-cancer/expert-answers/lung-nodules/faq-20058445#:~:text=Los%20n%C3%B3dulos%20pulmonares%20no%20cancerosos%20generalmente%20no%20requieren%20tratamiento.,o%20cambia%20con%20el%20tiempo.
- Prevención del cáncer de pulmón (PDQ®)–Versión para profesionales de salud. Instituto Nacional del Cáncer. https://www.cancer.gov/espanol/tipos/pulmon/pro/prevencion-pulmon-pdq
Ce texte est fourni à des fins d'information uniquement et ne remplace pas la consultation d'un professionnel. En cas de doute, consultez votre spécialiste.







