Diagnostic des tumeurs et kystes de la mâchoire

Les tumeurs et les kystes de la mâchoire sont des excroissances ou des lésions qui se forment dans la mâchoire ou dans les tissus mous de la bouche et du visage. Une tumeur est une croissance ou une masse anormale de tissu. Un kyste est une lésion qui contient des matières liquides ou semi-solides.
Pour faire référence aux kystes et aux tumeurs de la mâchoire, on parle parfois de kystes odontogènes. Ils peuvent varier considérablement en taille et en gravité. Ils sont généralement bénins mais peuvent être agressifs et envahir les os et les tissus environnants ainsi que les dents.
Les options de traitement des tumeurs et des kystes de la mâchoire varient en fonction du type de croissance et de blessure, du stade de croissance et des symptômes. Les chirurgiens de la bouche, de la mâchoire et du visage peuvent traiter la tumeur ou le kyste par une intervention chirurgicale, un traitement médicamenteux ou une combinaison des deux.
Les types de tumeurs et de kystes
Il existe de nombreux types de tumeurs et de kystes de la mâchoire, dont certains sont :
Améloblastome

Il s’agit d’une tumeur relativement courante, à croissance lente et généralement non cancéreuse. Elle se produit le plus souvent dans la mâchoire, dans la zone proche des molaires. Elle peut envahir des structures locales telles que les os et les tissus mous.
Cette tumeur peut se reproduire après le traitement. Toutefois, si un traitement chirurgical plus agressif est utilisé, le risque de récidive est moindre.
Lisez également : 5 remèdes maison pour calmer les douleurs de mâchoire
Kystes del la mâchoire : granulome central à cellules géantes
Le granulome central est une lésion bénigne généralement située à l’avant de la mâchoire inférieure. Certaines de ces tumeurs se développent très rapidement et, en plus de produire de la douleur, peuvent détruire les os.
Les granulomes centraux se caractérisent par leur tendance à réapparaître après un traitement chirurgical.
Kyste dentigère
Ce kyste prend naissance dans le tissu qui entoure les dents avant d’éclater dans la bouche. Il affecte plus fréquemment les mâchoires. Ils se produisent généralement autour des dents de sagesse qui ne sont pas encore sorties, bien qu’ils puissent également affecter d’autres dents.
Kystes de la mâchoire : kératokyste odontogène
Il est également connu sous le nom de tumeur odontogène kérato-kystique en raison de sa tendance à réapparaître après un traitement chirurgical. C’est un kyste bénin à croissance lente, mais qui peut être destructeur pour les structures locales.
Il se développe généralement dans la mâchoire inférieure, près des troisièmes molaires. Ces kystes peuvent également se produire chez les personnes atteintes d’une maladie héréditaire appelée syndrome du carcinome baso-cellulaire névoïde.
Myxome odontogène
Le myxome est une autre tumeur rare, à croissance lente et bénigne, qui se développe souvent dans la mâchoire inférieure. Il peut être de grande taille et peut envahir agressivement la mâchoire, les tissus environnants et peut même déplacer les dents.
Ils sont également susceptible de réapparaître après un traitement chirurgical.
Kystes de la mâchoire : odontome
C’est la tumeur odontogène la plus courante. Souvent, les prothèses dentaires ne déclenchent pas de symptômes, mais elles peuvent interférer avec le développement des dents.
Ce type de tumeur est constitué de tissu dentaire qui se forme autour d’une dent dans la mâchoire. Elles peuvent ressembler à des dents et peuvent également être des tumeurs calcifiées de petite ou de grande taille.
Les causes des tumeurs et des kystes de la mâchoire

Les tumeurs odontogènes et les kystes de la mâchoire proviennent de cellules et de tissus impliqués dans le développement normal des dents. D’autres tumeurs et kystes de la mâchoire peuvent être non odontogènes, car ils se développent à partir d’autres tissus de la mâchoire qui ne sont pas liés à d’autres dents.
La cause des kystes et des tumeurs de la mâchoire est généralement inconnue. Toutefois, certains sont associés à des syndromes génétiques. Les personnes atteintes du syndrome du carcinome baso-cellulaire névoïde, également connu sous le nom du syndrome de Gorlin, ne possèdent pas de gène qui supprime les tumeurs.
La mutation génétique à l’origine du syndrome est héréditaire et entraîne le développement de multiples kérato-kystes odontogènes dans les mâchoires et de différents types de cancer de la peau à cellules basales.
Cet article pourrait également vous intéresser : Quelles sont les bactéries de la bouche ?
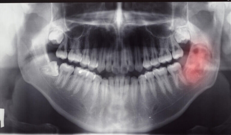
Diagnostic des tumeurs et kystes de la mâchoire
Le plus souvent, les tumeurs et les kystes ne provoquent pas de symptômes et la découverte est une coïncidence. Cependant, dans certains cas, des symptômes apparaissent tels que : douleurs dentaires, inflammation, douleur et gonflement des gencives.
Afin de disposer d’un maximum d’informations sur les tumeurs et les kystes de la mâchoire, des tests de diagnostic tels que des radiographies, des scanners ou des orthopantomographies seront demandés.
En outre, une biopsie peut être effectuée pour prélever un échantillon des cellules de la tumeur ou du kyste en vue d’une analyse. Grâce à ces informations, le médecin discutera du traitement approprié pour traiter la tumeur ou le kyste le plus efficacement possible.
Les tumeurs et les kystes de la mâchoire sont des excroissances ou des lésions qui se forment dans la mâchoire ou dans les tissus mous de la bouche et du visage. Une tumeur est une croissance ou une masse anormale de tissu. Un kyste est une lésion qui contient des matières liquides ou semi-solides.
Pour faire référence aux kystes et aux tumeurs de la mâchoire, on parle parfois de kystes odontogènes. Ils peuvent varier considérablement en taille et en gravité. Ils sont généralement bénins mais peuvent être agressifs et envahir les os et les tissus environnants ainsi que les dents.
Les options de traitement des tumeurs et des kystes de la mâchoire varient en fonction du type de croissance et de blessure, du stade de croissance et des symptômes. Les chirurgiens de la bouche, de la mâchoire et du visage peuvent traiter la tumeur ou le kyste par une intervention chirurgicale, un traitement médicamenteux ou une combinaison des deux.
Les types de tumeurs et de kystes
Il existe de nombreux types de tumeurs et de kystes de la mâchoire, dont certains sont :
Améloblastome

Il s’agit d’une tumeur relativement courante, à croissance lente et généralement non cancéreuse. Elle se produit le plus souvent dans la mâchoire, dans la zone proche des molaires. Elle peut envahir des structures locales telles que les os et les tissus mous.
Cette tumeur peut se reproduire après le traitement. Toutefois, si un traitement chirurgical plus agressif est utilisé, le risque de récidive est moindre.
Lisez également : 5 remèdes maison pour calmer les douleurs de mâchoire
Kystes del la mâchoire : granulome central à cellules géantes
Le granulome central est une lésion bénigne généralement située à l’avant de la mâchoire inférieure. Certaines de ces tumeurs se développent très rapidement et, en plus de produire de la douleur, peuvent détruire les os.
Les granulomes centraux se caractérisent par leur tendance à réapparaître après un traitement chirurgical.
Kyste dentigère
Ce kyste prend naissance dans le tissu qui entoure les dents avant d’éclater dans la bouche. Il affecte plus fréquemment les mâchoires. Ils se produisent généralement autour des dents de sagesse qui ne sont pas encore sorties, bien qu’ils puissent également affecter d’autres dents.
Kystes de la mâchoire : kératokyste odontogène
Il est également connu sous le nom de tumeur odontogène kérato-kystique en raison de sa tendance à réapparaître après un traitement chirurgical. C’est un kyste bénin à croissance lente, mais qui peut être destructeur pour les structures locales.
Il se développe généralement dans la mâchoire inférieure, près des troisièmes molaires. Ces kystes peuvent également se produire chez les personnes atteintes d’une maladie héréditaire appelée syndrome du carcinome baso-cellulaire névoïde.
Myxome odontogène
Le myxome est une autre tumeur rare, à croissance lente et bénigne, qui se développe souvent dans la mâchoire inférieure. Il peut être de grande taille et peut envahir agressivement la mâchoire, les tissus environnants et peut même déplacer les dents.
Ils sont également susceptible de réapparaître après un traitement chirurgical.
Kystes de la mâchoire : odontome
C’est la tumeur odontogène la plus courante. Souvent, les prothèses dentaires ne déclenchent pas de symptômes, mais elles peuvent interférer avec le développement des dents.
Ce type de tumeur est constitué de tissu dentaire qui se forme autour d’une dent dans la mâchoire. Elles peuvent ressembler à des dents et peuvent également être des tumeurs calcifiées de petite ou de grande taille.
Les causes des tumeurs et des kystes de la mâchoire

Les tumeurs odontogènes et les kystes de la mâchoire proviennent de cellules et de tissus impliqués dans le développement normal des dents. D’autres tumeurs et kystes de la mâchoire peuvent être non odontogènes, car ils se développent à partir d’autres tissus de la mâchoire qui ne sont pas liés à d’autres dents.
La cause des kystes et des tumeurs de la mâchoire est généralement inconnue. Toutefois, certains sont associés à des syndromes génétiques. Les personnes atteintes du syndrome du carcinome baso-cellulaire névoïde, également connu sous le nom du syndrome de Gorlin, ne possèdent pas de gène qui supprime les tumeurs.
La mutation génétique à l’origine du syndrome est héréditaire et entraîne le développement de multiples kérato-kystes odontogènes dans les mâchoires et de différents types de cancer de la peau à cellules basales.
Cet article pourrait également vous intéresser : Quelles sont les bactéries de la bouche ?
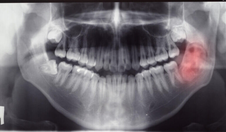
Diagnostic des tumeurs et kystes de la mâchoire
Le plus souvent, les tumeurs et les kystes ne provoquent pas de symptômes et la découverte est une coïncidence. Cependant, dans certains cas, des symptômes apparaissent tels que : douleurs dentaires, inflammation, douleur et gonflement des gencives.
Afin de disposer d’un maximum d’informations sur les tumeurs et les kystes de la mâchoire, des tests de diagnostic tels que des radiographies, des scanners ou des orthopantomographies seront demandés.
En outre, une biopsie peut être effectuée pour prélever un échantillon des cellules de la tumeur ou du kyste en vue d’une analyse. Grâce à ces informations, le médecin discutera du traitement approprié pour traiter la tumeur ou le kyste le plus efficacement possible.
Toutes les sources citées ont été examinées en profondeur par notre équipe pour garantir leur qualité, leur fiabilité, leur actualité et leur validité. La bibliographie de cet article a été considérée comme fiable et précise sur le plan académique ou scientifique
- Butler, F. S., & Harrigan, W. F. (1954). Ameloblastoma. The American Journal of Surgery. https://doi.org/10.1016/0002-9610(54)90435-3
- Chrcanovic, B. R., López Alvarenga, R., & Freire-Maia, B. (2011). Quiste óseo simple: Reporte de un caso y revisión de la literatura. Avances En Odontoestomatología. https://doi.org/10.4321/s0213-12852011000400005
- Radich Michea, A. (2003). Quiste Odontogénico calcificante asociado a Odontoma Fibrodontoma ameloblástico ¿ Versatilidad diagnóstica? Informe de caso clínico con seguimiento a siete años sin recidiva. Revista de La Facultad de Odontología Universidad de Valparaíso.
Ce texte est fourni à des fins d'information uniquement et ne remplace pas la consultation d'un professionnel. En cas de doute, consultez votre spécialiste.







