Le syndrome coronarien aigu (SCA)


Rédigé et vérifié par le médecin Nelton Abdon Ramos Rojas
Le syndrome coronarien aigu (SCA) se produit quand le flux sanguin qui arrive au coeur se réduit drastiquement. Dans la majorité des cas, il se produit à cause d’une érosion ou de la rupture d’une plaque d’athérome des artères coronaires.
Les plaques d’athérome sont des veinures de graisse qui se forment en périphérie des vaisseaux sanguins. Le décollement d’un fragment de cette plaque d’athérome provoque la formation d’un caillot et l’obstruction postérieure totale ou partielle de l’artère coronaire.
Parce que les artères coronaires sont les principaux vaisseaux sanguins qui irriguent le cœur, le résultat direct de leur obstruction est un manque d’irrigation aigu dans le muscle cardiaque. Survient donc une cardiopathie ischémique.
Même si cette dernière est la principale cause d’apparition du SCA, il existe d’autres causes moins fréquentes. Parmi celles-ci, nous pouvons mentionner les suivantes :
- Traumatismes
- Polyarthrite rhumatoïde
- Thrombose coronaire
- Embolies artérielles
- Anomalies congénitales
- Maladie de Kawasaki
- États hyper-coagulables
- Dissection coronaire spontanée
Les manifestations cliniques du SCA
Le principal symptôme du SCA est une forte douleur au thorax. Normalement, celle-ci se localise dans la zone du sternum ou de l’estomac. Cette douleur peut s’étendre à d’autres zones comme les épaules, le cou ou la mâchoire.
Le début de la douleur est soudain et son intensité croissante. C’est une douleur qui atteint son paroxysme au bout de 2-5 minutes. Mais ces épisodes sont souvent intermittents.
D’autres symptômes peuvent faire leur apparition comme les nausées, les vomissements, les douleurs abdominales ou étourdissements. Certains patients peuvent présenter une hypotension, une transpiration abondante, une pâleur et un pouls irrégulier.
Le cadre clinique peut être plus varié, peu spécifique et atypique. Cette maladie peut aussi se manifester par des douleurs épigastriques, une sensation d’indigestion, de la fatigue ou encore une syncope.

Le diagnostic du SCA
Normalement, le diagnostic du SCA s’établit par la manifestation de douleurs dans la poitrine avec une suspicion d’ischémie myocardique. Dans ce cas, les médecins réaliseront une série d’examens complémentaires pour déterminer l’existence et la gravité, s’il y a lieu, de la maladie.
Ceci peut vous intéresser : Les infarctus féminins et masculins sont-ils différents ?
L’électrocardiogramme
L’électrocardiogramme est un examen médical qui enregistre l’activité électrique du cœur par battement. Cette activité prend forme avec une représentation graphique qui montre les stimulations électriques des auriculaires et des ventricules.
Si l’on soupçonne un SCA, l’électrocardiogramme doit être réalisé au cours des 10 premières minutes de l’évaluation du patient. Si le syndrome n’est pas diagnostiqué, mais qu’il existe encore des preuves cliniques, l’électrocardiogramme devra être renouvelé toutes les 15 à 30 minutes pour continuer l’évaluation.

Les enzymes cardiaques
Une prise de sang permettra d’analyser les enzymes cardiaques qui indiquent la nécrose myocardique. Si l’un de ces marqueurs s’avère élevé, on doit soupçonner l’existence d’un infarctus du myocarde. Cet infarctus augmente le risque de mort.
Les marqueurs de la nécrose myocardique sont les troponines et la masse isoenzymatique de la créatininase. Cette analyse doit être faite durant les 60 premières minutes.
L’absence de ces marqueurs durant une première analyse n’exclut pas le dommage myocardiques. C’est d’ailleurs pour cela que le test doit être répété 6 puis 12 heures après l’apparition de la douleur thoracique.
Lisez aussi : 5 clés pour reconnaître une crise cardiaque (infarctus)
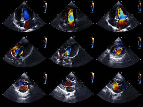
L’échocardiogramme
L’échocardiogramme est un examen médical très utilisé, car il permet d’obtenir des images du cœur en mouvement. On peut ainsi évaluer l’état des cavités du cœur et leur mouvement, et donc confirmer ou infirmer la présence d’une ischémie.
On peut aussi évaluer la taille du cœur, sa force et l’état des parois qui délimitent ses chambres. De plus, il s’agit d’un examen non invasif qui ne présente aucun risque pour le patient. En effet, cet examen emploie des ultrasons pour obtenir les images du cœur.
L’absence d’altérations dans la mobilité des parois cardiaques exclut la présence d’une ischémie importante. D’autre part, l’existence d’anomalies peut indiquer autre chose qu’un SCA. C’est donc pour cette raison qu’il faut évaluer à la fois les résultats des examens et les symptômes.

D’autres examens possibles
Il est possible de réaliser une angiographie coronarienne. C’est un examen qui implique l’utilisation d’une encre spéciale sur les radiographies en vue d’observer comment coule le sang dans le cœur.
Enfin, il y a d’autres examens accessoires pouvant être réalisés pour établir le diagnostic. Par exemple : l’épreuve d’effort physique, l’épreuve d’effort avec radio-isotopes et l’échocardiographie de stress.
Le syndrome coronarien aigu (SCA) se produit quand le flux sanguin qui arrive au coeur se réduit drastiquement. Dans la majorité des cas, il se produit à cause d’une érosion ou de la rupture d’une plaque d’athérome des artères coronaires.
Les plaques d’athérome sont des veinures de graisse qui se forment en périphérie des vaisseaux sanguins. Le décollement d’un fragment de cette plaque d’athérome provoque la formation d’un caillot et l’obstruction postérieure totale ou partielle de l’artère coronaire.
Parce que les artères coronaires sont les principaux vaisseaux sanguins qui irriguent le cœur, le résultat direct de leur obstruction est un manque d’irrigation aigu dans le muscle cardiaque. Survient donc une cardiopathie ischémique.
Même si cette dernière est la principale cause d’apparition du SCA, il existe d’autres causes moins fréquentes. Parmi celles-ci, nous pouvons mentionner les suivantes :
- Traumatismes
- Polyarthrite rhumatoïde
- Thrombose coronaire
- Embolies artérielles
- Anomalies congénitales
- Maladie de Kawasaki
- États hyper-coagulables
- Dissection coronaire spontanée
Les manifestations cliniques du SCA
Le principal symptôme du SCA est une forte douleur au thorax. Normalement, celle-ci se localise dans la zone du sternum ou de l’estomac. Cette douleur peut s’étendre à d’autres zones comme les épaules, le cou ou la mâchoire.
Le début de la douleur est soudain et son intensité croissante. C’est une douleur qui atteint son paroxysme au bout de 2-5 minutes. Mais ces épisodes sont souvent intermittents.
D’autres symptômes peuvent faire leur apparition comme les nausées, les vomissements, les douleurs abdominales ou étourdissements. Certains patients peuvent présenter une hypotension, une transpiration abondante, une pâleur et un pouls irrégulier.
Le cadre clinique peut être plus varié, peu spécifique et atypique. Cette maladie peut aussi se manifester par des douleurs épigastriques, une sensation d’indigestion, de la fatigue ou encore une syncope.

Le diagnostic du SCA
Normalement, le diagnostic du SCA s’établit par la manifestation de douleurs dans la poitrine avec une suspicion d’ischémie myocardique. Dans ce cas, les médecins réaliseront une série d’examens complémentaires pour déterminer l’existence et la gravité, s’il y a lieu, de la maladie.
Ceci peut vous intéresser : Les infarctus féminins et masculins sont-ils différents ?
L’électrocardiogramme
L’électrocardiogramme est un examen médical qui enregistre l’activité électrique du cœur par battement. Cette activité prend forme avec une représentation graphique qui montre les stimulations électriques des auriculaires et des ventricules.
Si l’on soupçonne un SCA, l’électrocardiogramme doit être réalisé au cours des 10 premières minutes de l’évaluation du patient. Si le syndrome n’est pas diagnostiqué, mais qu’il existe encore des preuves cliniques, l’électrocardiogramme devra être renouvelé toutes les 15 à 30 minutes pour continuer l’évaluation.

Les enzymes cardiaques
Une prise de sang permettra d’analyser les enzymes cardiaques qui indiquent la nécrose myocardique. Si l’un de ces marqueurs s’avère élevé, on doit soupçonner l’existence d’un infarctus du myocarde. Cet infarctus augmente le risque de mort.
Les marqueurs de la nécrose myocardique sont les troponines et la masse isoenzymatique de la créatininase. Cette analyse doit être faite durant les 60 premières minutes.
L’absence de ces marqueurs durant une première analyse n’exclut pas le dommage myocardiques. C’est d’ailleurs pour cela que le test doit être répété 6 puis 12 heures après l’apparition de la douleur thoracique.
Lisez aussi : 5 clés pour reconnaître une crise cardiaque (infarctus)
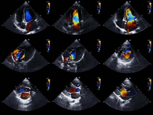
L’échocardiogramme
L’échocardiogramme est un examen médical très utilisé, car il permet d’obtenir des images du cœur en mouvement. On peut ainsi évaluer l’état des cavités du cœur et leur mouvement, et donc confirmer ou infirmer la présence d’une ischémie.
On peut aussi évaluer la taille du cœur, sa force et l’état des parois qui délimitent ses chambres. De plus, il s’agit d’un examen non invasif qui ne présente aucun risque pour le patient. En effet, cet examen emploie des ultrasons pour obtenir les images du cœur.
L’absence d’altérations dans la mobilité des parois cardiaques exclut la présence d’une ischémie importante. D’autre part, l’existence d’anomalies peut indiquer autre chose qu’un SCA. C’est donc pour cette raison qu’il faut évaluer à la fois les résultats des examens et les symptômes.

D’autres examens possibles
Il est possible de réaliser une angiographie coronarienne. C’est un examen qui implique l’utilisation d’une encre spéciale sur les radiographies en vue d’observer comment coule le sang dans le cœur.
Enfin, il y a d’autres examens accessoires pouvant être réalisés pour établir le diagnostic. Par exemple : l’épreuve d’effort physique, l’épreuve d’effort avec radio-isotopes et l’échocardiographie de stress.
Toutes les sources citées ont été examinées en profondeur par notre équipe pour garantir leur qualité, leur fiabilité, leur actualité et leur validité. La bibliographie de cet article a été considérée comme fiable et précise sur le plan académique ou scientifique
- Cabrera S, Serrano I, Sans J, Bardají A. Protocolo diagnóstico del dolor torácico agudo. En: Urgencias. Unidades de dolor torácico. Medicine 2009;10(37)2511-4.
- Fauci, Braunwald, Kasper, Hauser, Longo, Jameson et al. Harrison, principios de Medicina Interna. Vol I-17a Edición. Mc Graw Hill Año 2009:87-91.
- Segura De La Cal, T., Carbonell San Román, S. A., & Zamorano Gómez, J. L. (2013). Síndrome coronario agudo. Medicine (Spain). https://doi.org/10.1016/S0304-5412(13)70608-5
- Sociedad Española de Cardiología. (2017). Proceso asistencial simplificado del síndrome coronario agudo. Sociedad Española de Cardiología. https://doi.org/http://dx.doi.org/10.2139/
- Lee Th, Goldman L. Evaluation Of The Patient With Acte Chest Pain. New England Journal Med 2000;342:1187-95
Ce texte est fourni à des fins d'information uniquement et ne remplace pas la consultation d'un professionnel. En cas de doute, consultez votre spécialiste.







