Pourquoi le tartre devient-il noir ? Traitement et prévention


Rédigé et vérifié par la dentiste Vanesa Evangelina Buffa
De nombreuses bactéries et résidus peuvent s’accumuler sur les dents si l’hygiène buccale n’est pas adéquate. Nous vous disons ici pourquoi le tartre devient noir.
La présence de ces taches sombres sur les dents et les gencives n’affecte pas seulement l’apparence du sourire. Elle peut également être à l’origine de pathologies buccales telles que la gingivite et les maladies parodontales.
Par conséquent, lorsque le tartre noir apparaît, son élimination est nécessaire. Son élimination permet de préserver la santé et d’améliorer l’esthétique. L’intervention d’un dentiste est nécessaire.
Qu’est-ce que le tartre dentaire ?
Lorsque les bactéries, les débris alimentaires et les débris de la bouche ne sont pas correctement éliminés par l’hygiène dentaire, ils s’accumulent sur les surfaces buccales. Cela donne lieu à un film collant connu sous le nom de plaque bactérienne.
Si la plaque bactérienne n’est pas éliminée par le brossage et le fil dentaire, elle continue de s’accumuler et de se déposer sur les dents et les gencives. Au fil du temps, les minéraux présents en bouche calcifient et durcissent ce film. C’est ainsi qu’apparaît ce que l’on appelle le tartre.
La vitesse à laquelle les bactéries de la plaque peuvent durcir varie d’une personne à l’autre et peut même changer chez le même individu à différentes étapes de la vie. Le temps moyen de calcification est de 10 à 12 jours.
Le type de dent, le pH salivaire, la quantité de calcium, de phosphore et d’autres substances présentes dans la salive affectent le processus de formation du tartre. Les habitudes d’hygiène bucco-dentaire, l’accès aux soins dentaires, le temps écoulé depuis le dernier nettoyage dentaire, les maladies systémiques, l’utilisation de certains médicaments, l’alimentation et l’âge du patient influencent également.
Ainsi, le tartre se forme à partir de la minéralisation de la plaque bactérienne. Et il n’est pas si facile à éliminer. En effet, le brossage et le fil dentaire ne suffisent pas à l’éliminer.
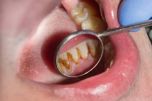
La couleur du tartre
La coloration du tartre dentaire dépend en grande partie de son âge et de sa localisation. Les zones où la plaque bactérienne commence à durcir sont celles proches des conduits par lesquels la salive pénètre dans la bouche. À savoir la face interne des incisives inférieures et sur la surface externe des molaires.
Lorsqu’il se forme à peine et qu’il se situe au-dessus de la gencive, le tartre est plus léger. Dans ces cas, il est appelé tartre supragingival et a une coloration jaune ou brun clair.
Lorsque le tartre est plus ancien et s’est accumulé, il est courant qu’il commence à se déposer sous la gencive. C’est ce qu’on appelle le tartre sous-gingival.
Le tartre sous-gingival et les dépôts qui se trouvent depuis longtemps dans la bouche s’assombrissent. Ce tartre est ainsi marron, noir ou vert.
Pourquoi le tartre devient-il noir ?
La composition du tartre noir est la même que celle des variantes plus légères. Mais il comprend également d’autres composants provenant de fluides à proximité.
Ainsi, en plus des bactéries mortes et des protéines salivaires minéralisées, le tartre est composé de :
- Sang et dérivés sanguins : des gencives enflammées qui saignent prédisposent le tartre à entrer en contact avec des substances sanguines qui ont tendance à le noircir. Sous la ligne des gencives, la pigmentation foncée avec du sang est plus perceptible.
- Liquide gingival créviculaire: c’est un liquide qui excrète le tissu conjonctif et augmente avec la présence de plaque bactérienne et d’inflammation des gencives.
- Substances externes : le contact avec des substances externes qui pénètrent dans la bouche peut favoriser la coloration et la pigmentation du tartre. Son assombrissement peut être dû à la consommation fréquente de boissons brunes, comme le café ou le vin rouge, et à l’usage du tabac.
Quoi qu’il en soit, au-delà de ces facteurs que nous avons évoqués, il faut savoir que toutes les formes de tartre s’assombrissent et prennent de l’ampleur avec le temps.

Les complications du tartre noir
La présence de tartre noir et de plaque bactérienne dans la bouche a des conséquences négatives sur la santé bucco-dentaire. Les deux agissent comme des irritants des gencives, favorisant leur inflammation et l’apparition de la gingivite. Le tissu gingival devient enflé, douloureux, rouge et saigne facilement.
Si la gingivite n’est pas traitée à temps, elle peut évoluer en parodontite. Ce tableau clinique est plus sérieux. L’inflammation et l’infection compromettent profondément les tissus qui soutiennent les dents. C’est ainsi que cela peut entraîner le déplacement des dents et même leur perte.
Lorsque le tartre noir s’accumule sous la gencive, entre ce tissu et la dent, il favorise la présence et l’accumulation de bactéries nocives. Cela prédispose au développement d’infections et de pus dans les poches parodontales.
La parodontite est également un facteur de risque pour la santé générale. Cette condition buccale est associée à des complications du diabète, et à des maladies cardiaques et respiratoires.
Par conséquent, la présence de tartre noir affecte non seulement la cavité buccale, mais a également des répercussions sur l’ensemble de l’organisme. Et il doit être traité en temps opportun afin qu’il cesse de causer des dommages.
Le traitement du tartre noir
Nous avons déjà précisé que la seule façon d’éliminer le tartre noir est par l’intervention d’un dentiste. En effet, le brossage des dents et le fil dentaire ne suffisent pas à éliminer ces dépôts durs des surfaces buccales.
Le professionnel de santé évaluera la situation, déterminera l’emplacement de la tache et diagnostiquera les maladies associées. À partir de là, il choisira l’approche la plus appropriée.
Pour éliminer le tartre noir, les dentistes ont recours au détartrage et au surfaçage radiculaire. Il s’agit de procédures qui visent à éliminer la plaque bactérienne, le tartre et la pigmentation déposés sur les surfaces dentaires et les poches parodontales.
Ces interventions combinent l’utilisation d’outils manuels, appelés curettes, à des instruments à ultrasons. Ce dernier génère des microvibrations qui cassent les cristaux de la plaque minéralisée.
Lorsque le tartre noir s’accumule à l’intérieur des poches parodontales, au contact des gencives et des racines dentaires, il est nécessaire d’avoir recours à l’anesthésie pour éviter les douleurs pendant le traitement.
Ensuite, le dentiste effectue un curetage dentaire. Les racines dentaires sont grattées, polies et lissées. Le tartre et la plaque bactérienne sous-gingivale sont éliminés et le tissu inflammatoire trouvé à l’intérieur des gencives est éliminé.
Enfin, la zone externe des dents est nettoyée avec des instruments rotatifs pour éliminer les traces d’impuretés, de pigments et d’irrégularités. La surface devient lise, ce qui empêche la rétention de la plaque bactérienne et la récurrence du problème.
Selon la quantité de tartre noir accumulé et l’état des tissus parodontaux, une ou plusieurs séances de détartrage et de surfaçage radiculaire peuvent être nécessaires. Et dans les cas plus graves, la combinaison avec des chirurgies parodontales peut être appropriée.
Les résultats
Grâce à ces procédures, le sourire peut à nouveau être joli et agréable. Mais en plus, les gencives et le tissu parodontal peuvent récupérer.
Une fois tout le tartre noir retiré de la bouche, le dentiste indiquera au patient quelques mesures d’hygiène à effectuer à la maison. De plus, si le cas le justifie, il prescrira des antibiotiques, des antiseptiques et des anti-inflammatoires qui améliorent l’évolution du processus.
De temps à autre, il sera nécessaire de réévaluer l’état de la bouche et d’effectuer des traitements d’entretien. Il faut savoir que certains patients ont une plus grande prédisposition au tartre dentaire.
La prévention du tartre noir
Comme le dit l’adage, “mieux vaut prévenir que guérir”. Et bien que le tartre noir puisse être enlevé et traité avec un traitement simple comme le détartrage et le surfaçage radiculaire, l’idéal est d’éviter le recours à cette thérapie.
L’objectif sera de réduire la permanence de la plaque bactérienne sur les surfaces buccales. Sans plaque à calcifier, il n’y aura pas de tartre.
Maintenir une bonne hygiène bucco-dentaire
Une bonne hygiène bucco-dentaire est essentielle pour prévenir la formation de tartre noir. Pour cela, se brosser les dents et les gencives correctement et fréquemment est essentiel.
Il faut essayer de brosser toutes les faces de toutes dentes présents dans la bouche ainsi que les gencives. Et à la fin du nettoyage, n’oubliez pas d’inclure la langue.
Une brosse à poils doux et un dentifrice au fluor sont recommandés. Il existe des alternatives au dentifrice spécialement conçues pour le contrôle du tartre. Le dentiste peut recommander ces produits chez les patients qui produisent une grande quantité de tartre dentaire.
Le nettoyage doit prendre au moins 2 minutes. Il doit être fait 2 ou 3 fois par jour ou après chaque repas.
Par ailleurs, l’utilisation du fil dentaire une fois par jour est également nécessaire. Cet outil permet de nettoyer les zones entre les dents, des zones auxquelles la brosse ne peut pas accéder. Les irrigateurs dentaires et les brossettes interdentaires peuvent être d’une grande aide.
Le dentiste peut suggérer l’utilisation d’un bain de bouche. Ces liquides spéciaux contenant des antiseptiques ou du fluor aident à contrôler la formation de plaque, à prévenir le tartre et à compléter la routine d’hygiène.
Attention à l’alimentation
Les bactéries qui forment la plaque bactérienne profitent des sucres et des glucides de notre alimentation pour se développer et se multiplier.
Il est ainsi recommandé d’éviter, ou du moins de réduire, les aliments qui favorisent la prolifération bactérienne. Les collations, les sucreries, les bonbons, les boissons gazeuses et les aliments ultra-transformés en sont quelques exemples.

Éviter la cigarette
Le tabac augmente les chances d’avoir du tartre noir dans la bouche. Entre autres effets nocifs.
La bouche sèche et l’augmentation de la plaque bactérienne sont des problèmes courants chez les fumeurs. Avec cela, la formation et l’accumulation de tartre noir sont des conséquences courantes. Les pigments des produits chimiques présents dans les cigarettes assombrissent les dents plus rapidement.
Contrôler la bouche sèche
La salive est un liquide très important pour le maintien de la santé bucco-dentaire. Elle aide à nettoyer les surfaces dentaires, limite la croissance des bactéries et neutralise les acides que ces dernières produisent.
Mais le vieillissement, l’utilisation de certains médicaments tels que les sédatifs, les antidépresseurs, les antihypertenseurs et les traitements anticancéreux, peuvent provoquer la sécheresse buccale. La xérostomie peut également résulter de la consommation fréquente de boissons alcoolisées ou du tabagisme.
Boire beaucoup d’eau, rester hydraté et mâcher un chewing-gum sont des astuces qui aident à contrer les effets de ce problème. Si possible, changer le médicament qui provoque la sécheresse buccale est également une bonne stratégie.
Visitez le dentiste régulièrement
Des visites dentaires régulières, tous les six mois, aident à détecter et à traiter à temps tout problème dans la bouche. Et si du tartre apparaît, il peut être retiré immédiatement, avant qu’il ne continue de s’accumuler et d’entraîner des conséquences indésirables.
Les conseils sur la technique de brossage et les recommandations sur l’utilisation de certains produits d’hygiène dentaire sont courants dans la pratique dentaire. Le dentiste éduque également le patient sur les moyens de prendre soin de sa bouche et de la garder en bonne santé.
De plus, les nettoyages professionnels jouent un rôle très important dans le contrôle de la plaque bactérienne. Ils permettent une élimination précoce des dépôts de plaque et des pigments qui se forment et que la brosse ne peut pas atteindre.
En cas de tartre noir, un traitement est nécessaire
Un sourire couvert de dépôts sombres n’est pas la meilleure lettre de motivation. De plus, le tartre noir n’affecte pas seulement l’esthétique et l’apparence de la bouche. Il prédispose également à souffrir d’autres pathologies.
Lorsque le tartre noir apparaît, un traitement dentaire est nécessaire. Et bien qu’il s’agisse d’une procédure simple, il est toujours préférable de l’éviter. S’engager à prendre soin de sa bouche préviendra le tartre noir et améliorera l’apparence et la santé du sourire.
Toutes les sources citées ont été examinées en profondeur par notre équipe pour garantir leur qualité, leur fiabilité, leur actualité et leur validité. La bibliographie de cet article a été considérée comme fiable et précise sur le plan académique ou scientifique
- Baux Jiménez, G. (2008). Incidencia del cálculo dental en piezas del maxilar superior (Doctoral dissertation, Universidad de Guayaquil. Facultad Piloto de Odontología. Escuela de Postgrado” Dr. José Apolo Pineda”).
- Rivas Almonte, U. O. (2004). Dosaje de calcio y fósforo en saliva estimulada en relación al cálculo supragingival, en personas sanas.
- Caballero, A., Ricaurte, M., & Conrado, C. (2011). Cálculo dental: una revisión de literatura y presentación de una condición inusual. Acta odontológica venezolana, 49(3).
- Chaguay Alvarado, J. S. (2021). El tabaquismo y sus consecuencias en la cavidad bucal (Bachelor’s thesis, Universidad de Guayaquil. Facultad Piloto de Odontología).
- ANATOMOFISIOMICROBIOLÓGICOS, A. C. Y. (2006). El surco gingival Aspectos clínicos y anatomofisiomicrobiológicos. Odous Científica, 7(2).
- Pérez, A. J. S. (2008). Gingivectomia y curetaje gingival. Labor dental clínica: Avances clínicos en odontoestomatología, 9(1), 24-28.
- Mosquera Tacuri, M. J. (2019). Tratamiento de bolsas periodontales con raspado y alisado radicular campo abierto (Bachelor’s thesis, Universidad de Guayaquil. Facultad Piloto de Odontología).
- Rodríguez, J. A. L., Casana, S. T. V., & Alejandro, M. G. P. (2020). Efectividad de la clorhexidina y aceites esenciales asociados al raspado y alisado radicular en el tratamiento de periodontitis crónica. Ciencias de la salud, 18(3), 3.
- Bernardo Ricardo, P. B., Clara, O. M., & Walkyria del Carmen, G. R. (2021, March). Efectividad de antimicrobianos como coadyuvantes del raspado y alisado radicular en la periodontitis del adulto. In EMPREFARMA PINAR 2021.
- Badal, C. F. (2014). Evaluación de la capacidad de un nuevo colutorio de inhibir la formación del cálculo dental supragingival (Doctoral dissertation, Universitat de València).
- Llena, C., Forner, L., & Vento, C. (2009). Anticalculus efficacy of a new dentifrice. Quintessence International, 40(6).
Ce texte est fourni à des fins d'information uniquement et ne remplace pas la consultation d'un professionnel. En cas de doute, consultez votre spécialiste.







