Qu'est-ce que l'acné kystique ?


Rédigé et vérifié par le médecin Leonardo Biolatto
L’acné kystique est une forme de la pathologie de l’acné. Toutes les personnes qui en souffrent ne sont pas atteintes de la même manière ou n’en souffrent pas avec la même intensité. L’acné est un trouble courant dans la population. Considérons qu’environ 80 % des personnes entre 11 et 30 ans peuvent en souffrir.
La répartition par âge de l’acné est claire, touchant les très jeunes. Bien que la prévalence la plus élevée atteigne trente ans, la plupart des cas se déclarent avant vingt ans. Parmi les formes possibles de l’acné, nous allons aborder l’acné kystique.
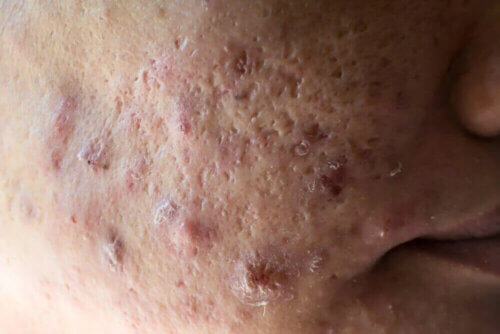
Comme nous l’avons expliqué, il s’agit donc d’une forme agressive avec des lésions beaucoup plus visibles que l’acné commune. L’acné kystique est envisagée lorsqu’il y a des bosses inflammatoires sur la peau au lieu des petits points noirs. Ces bosses font mal et dans leur inflammation, elles colorent la peau en rouge.
L’endroit le plus touché par l’acné kystique est le visage. Elle provoque des déformations des traits du visage, affectant l’aspect psychologique de ceux qui en souffrent. En outre, elle évolue avec des cicatrices, contrairement à l’acné commune. Dans l’acné kystique, des marques peuvent rester sur la peau à la suite du passage de bosses inflammatoires.
Bien que le visage soit le lieu habituel d’apparition, il existe également des cas d’acné kystique sur le tronc. Les lésions apparaissent moins fréquemment dans les membres supérieurs.
Causes de l’acné kystique

L’acné kystique apparaît ainsi par le même mécanisme que l’acné commune. Autrement dit, les glandes sébacées de la peau se bouchent et ne peuvent pas éliminer leur contenu vers l’extérieur. La fonction des glandes sébacées est de lubrifier la peau avec une production d’huile et de l’humidifier.
Si les conduits qui expulsent la graisse vers l’extérieur sont obstrués, les bactéries s’accumulent ainsi à l’intérieur de la glande. Ce qui détermine l’agressivité de l’acné kystique est la caractéristique des bactéries qui nichent dans les pores. Dans ce cas, les micro-organismes sont les générateurs d’inflammation.
L’acné kystique a également été liée aux hormones. La testostérone joue un rôle important et, par conséquent, les hommes sont plus touchés que les femmes.
Chez la femme, il a aussi été noté que les cycles menstruels modifient l’évolution de l’acné kystique. C’est pour cette raison que les personnes atteintes du syndrome des ovaires polykystiques sont plus exposées.
On sait aussi que les femmes atteintes du SOPK ont tendance à être obèses. Dans l’obésité, il y a plus de tissu adipeux, qui a la capacité de convertir les hormones féminines en testostérone. L’augmentation de la testostérone chez ces femmes expliquerait son association avec l’acné kystique.
Découvrez aussi : 3 stratégies pour lutter contre l’obésité
Degrés et niveaux d’affectation

L’acné kystique n’a pas toujours les mêmes symptômes. Ceux qui en souffrent peuvent en souffrir à trois degrés différents :
- Légère : sous cette forme, jusqu’à cinq nodules inflammatoires sont comptés sur la peau affectée. Il peut également y avoir des kystes au nombre de cinq. C’est une forme agressive, mais tout à fait gérable par le médecin. Il ne nécessite généralement pas plus qu’un traitement local avec des crèmes et des soins généraux.
- Modérée : l’acné kystique est modérée avec plus de dix lésions nodulaires purulentes, mais moins de vingt. C’est une forme qui nécessite déjà l’utilisation de médicaments oraux. Vous avez un risque élevé de générer des cicatrices à l’avenir.
- Sévère : c’est la forme la plus agressive de toutes, présentant plus de vingt lésions sur tout le corps. Les nodules sont généralement gonflés la plupart du temps et sécrètent du pus. Cela fait un peu mal sous pression et aussi spontanément. C’est une variété qui répond mal aux traitements et peut même nécessiter des injections d’anti-inflammatoires locaux. Parfois, si le pus est en quantité excessive, il doit être drainé avec une intervention chirurgicale.
Cet article pourrait vous intéresser : Les différents types de cicatrisation
Traitement de l’acné kystique

En dehors de l’acné kystique légère, qui peut être traitée avec des crèmes, le reste des formes cliniques nécessite des médicaments oraux ou injectables. Ce sera un professionnel de la santé qui le déterminera dans chaque cas.
- Les antibiotiques constituent la première étape du traitement. Ils essaient de détruire les bactéries qui se sont logées dans les glandes sébacées de la peau. Ce sont des traitements qui durent des mois, voire jusqu’à un an.
- Ensuite, la deuxième étape du traitement est la spironolactone. Ce médicament est indiqué chez les femmes atteintes de la maladie, en particulier celles atteintes du syndrome des ovaires polykystiques. La spironolactone réduit la production de testostérone par les cellules graisseuses.
- Enfin, le médicament le plus efficace, mais limité à des cas particuliers, est l’isotrétinoïne. Il est consommé par voie orale et, lorsqu’il est efficace, il réduit l’inflammation en libérant les canaux obstrués des glandes sébacées.
Le problème de l’isotrétinoïne réside dans ses effets indésirables graves. Elle ne peut être indiquée que par un médecin spécialiste du domaine qui effectue des contrôles réguliers. Chez les femmes qui en consomment, il est essentiel que la grossesse ne se produise pas pendant le traitement car elle génère des altérations fœtales importantes.
Vous savez donc que si vous souffrez d’acné kystique, il est essentiel de consulter un médecin ou un dermatologue. Votre degré d’affectation sera ainsi déterminé, établissant le traitement approprié. Il est aussi très important que vous ne commenciez pas par vous-même des thérapies susceptibles d’aggraver la maladie au lieu de la soulager.
L’acné kystique est une forme de la pathologie de l’acné. Toutes les personnes qui en souffrent ne sont pas atteintes de la même manière ou n’en souffrent pas avec la même intensité. L’acné est un trouble courant dans la population. Considérons qu’environ 80 % des personnes entre 11 et 30 ans peuvent en souffrir.
La répartition par âge de l’acné est claire, touchant les très jeunes. Bien que la prévalence la plus élevée atteigne trente ans, la plupart des cas se déclarent avant vingt ans. Parmi les formes possibles de l’acné, nous allons aborder l’acné kystique.
Comme nous l’avons expliqué, il s’agit donc d’une forme agressive avec des lésions beaucoup plus visibles que l’acné commune. L’acné kystique est envisagée lorsqu’il y a des bosses inflammatoires sur la peau au lieu des petits points noirs. Ces bosses font mal et dans leur inflammation, elles colorent la peau en rouge.
L’endroit le plus touché par l’acné kystique est le visage. Elle provoque des déformations des traits du visage, affectant l’aspect psychologique de ceux qui en souffrent. En outre, elle évolue avec des cicatrices, contrairement à l’acné commune. Dans l’acné kystique, des marques peuvent rester sur la peau à la suite du passage de bosses inflammatoires.
Bien que le visage soit le lieu habituel d’apparition, il existe également des cas d’acné kystique sur le tronc. Les lésions apparaissent moins fréquemment dans les membres supérieurs.
Causes de l’acné kystique

L’acné kystique apparaît ainsi par le même mécanisme que l’acné commune. Autrement dit, les glandes sébacées de la peau se bouchent et ne peuvent pas éliminer leur contenu vers l’extérieur. La fonction des glandes sébacées est de lubrifier la peau avec une production d’huile et de l’humidifier.
Si les conduits qui expulsent la graisse vers l’extérieur sont obstrués, les bactéries s’accumulent ainsi à l’intérieur de la glande. Ce qui détermine l’agressivité de l’acné kystique est la caractéristique des bactéries qui nichent dans les pores. Dans ce cas, les micro-organismes sont les générateurs d’inflammation.
L’acné kystique a également été liée aux hormones. La testostérone joue un rôle important et, par conséquent, les hommes sont plus touchés que les femmes.
Chez la femme, il a aussi été noté que les cycles menstruels modifient l’évolution de l’acné kystique. C’est pour cette raison que les personnes atteintes du syndrome des ovaires polykystiques sont plus exposées.
On sait aussi que les femmes atteintes du SOPK ont tendance à être obèses. Dans l’obésité, il y a plus de tissu adipeux, qui a la capacité de convertir les hormones féminines en testostérone. L’augmentation de la testostérone chez ces femmes expliquerait son association avec l’acné kystique.
Découvrez aussi : 3 stratégies pour lutter contre l’obésité
Degrés et niveaux d’affectation

L’acné kystique n’a pas toujours les mêmes symptômes. Ceux qui en souffrent peuvent en souffrir à trois degrés différents :
- Légère : sous cette forme, jusqu’à cinq nodules inflammatoires sont comptés sur la peau affectée. Il peut également y avoir des kystes au nombre de cinq. C’est une forme agressive, mais tout à fait gérable par le médecin. Il ne nécessite généralement pas plus qu’un traitement local avec des crèmes et des soins généraux.
- Modérée : l’acné kystique est modérée avec plus de dix lésions nodulaires purulentes, mais moins de vingt. C’est une forme qui nécessite déjà l’utilisation de médicaments oraux. Vous avez un risque élevé de générer des cicatrices à l’avenir.
- Sévère : c’est la forme la plus agressive de toutes, présentant plus de vingt lésions sur tout le corps. Les nodules sont généralement gonflés la plupart du temps et sécrètent du pus. Cela fait un peu mal sous pression et aussi spontanément. C’est une variété qui répond mal aux traitements et peut même nécessiter des injections d’anti-inflammatoires locaux. Parfois, si le pus est en quantité excessive, il doit être drainé avec une intervention chirurgicale.
Cet article pourrait vous intéresser : Les différents types de cicatrisation
Traitement de l’acné kystique

En dehors de l’acné kystique légère, qui peut être traitée avec des crèmes, le reste des formes cliniques nécessite des médicaments oraux ou injectables. Ce sera un professionnel de la santé qui le déterminera dans chaque cas.
- Les antibiotiques constituent la première étape du traitement. Ils essaient de détruire les bactéries qui se sont logées dans les glandes sébacées de la peau. Ce sont des traitements qui durent des mois, voire jusqu’à un an.
- Ensuite, la deuxième étape du traitement est la spironolactone. Ce médicament est indiqué chez les femmes atteintes de la maladie, en particulier celles atteintes du syndrome des ovaires polykystiques. La spironolactone réduit la production de testostérone par les cellules graisseuses.
- Enfin, le médicament le plus efficace, mais limité à des cas particuliers, est l’isotrétinoïne. Il est consommé par voie orale et, lorsqu’il est efficace, il réduit l’inflammation en libérant les canaux obstrués des glandes sébacées.
Le problème de l’isotrétinoïne réside dans ses effets indésirables graves. Elle ne peut être indiquée que par un médecin spécialiste du domaine qui effectue des contrôles réguliers. Chez les femmes qui en consomment, il est essentiel que la grossesse ne se produise pas pendant le traitement car elle génère des altérations fœtales importantes.
Vous savez donc que si vous souffrez d’acné kystique, il est essentiel de consulter un médecin ou un dermatologue. Votre degré d’affectation sera ainsi déterminé, établissant le traitement approprié. Il est aussi très important que vous ne commenciez pas par vous-même des thérapies susceptibles d’aggraver la maladie au lieu de la soulager.
Toutes les sources citées ont été examinées en profondeur par notre équipe pour garantir leur qualité, leur fiabilité, leur actualité et leur validité. La bibliographie de cet article a été considérée comme fiable et précise sur le plan académique ou scientifique
- Norris-Squirrell, Frances, and Marina Pereira. “Acne conglobata therapeutic approach.” Dermatología Revista Mexicana 61.4 (2017): 308-311.
- López-Estebaranz, J. L., P. Herranz-Pinto, and B. Dréno. “Consenso español para establecer una clasificación y un algoritmo de tratamiento del acné.” Actas Dermo-Sifiliográficas 108.2 (2017): 120-131.
- PEÑALOZA MARTÍNEZ, JOSÉ ÁLVARO. “El acné.” Revista de la Facultad de Medicina 46.004 (2003).
Ce texte est fourni à des fins d'information uniquement et ne remplace pas la consultation d'un professionnel. En cas de doute, consultez votre spécialiste.







