Qu'est-ce que l'adénome hypophysaire ?

L’adénome hypophysaire est une tumeur bénigne à croissance lente. Elle provient des cellules qui forment la glande hypophyse. Cette dernière régule la fonction des autres glandes du corps. Elle est donc très importante.
Ce type de tumeur est assez fréquent et se manifeste plus ou moins chez un adulte sur 1000. Par ailleurs, les carcinomes hypophysaires ou les tumeurs malignes sont très rares.
Il n’y a pas de distinction quant au sexe, cela affecte aussi bien les hommes que les femmes. En terme d’âge, l’incidence est plus élevée entre 30 et 40 ans.
Les causes réelles de l’adénome hypophysaire sont méconnues. Même si, dans certains cas, elles sont liées à une maladie génétique appelée Syndrome de Néoplasie Endocrinienne Multiple.
Les symptômes de l’adénome hypophysaire

Le principal symptôme résultant de ces tumeurs est l’altération dans les sécrétions hormonales. Selon l’incidence de la tumeur dans l’hypophyse, celle-ci peut produire trop d’hormones.
En raison de la perturbation du système endocrinien, les symptômes peuvent être :
- Hyperthyroïdisme : la glande thyroïde produit une quantité excessive d’hormones. Ce symptôme est plutôt inhabituel chez les personnes atteintes d’un adénome pituitaire
- Syndrome de Cushing : le taux de cortisol est plus élevé que la normale
- Acromégalie : dans le cas d’un niveau élevé d’hormones de la croissance chez les enfants, le gigantisme peut survenir. Si cela se produit chez un adulte, on parle d’acromégalie
- Sécrétion et production de lait chez les hommes et les femmes
- Menstruations irrégulières chez les femmes à cause de la modification des hormones sexuelles
D’autre part, les symptômes qui surviennent lorsqu’il y a une compression des structures cérébrales en raison d’une grande tumeur hypophysaire peuvent être :
- Changements dans la vision : par exemple, une vision double, perte du champ visuel, chute des paupières ou changements dans la vision de la couleur
- Maux de tête
- Fatigue et somnolence
- Écoulement nasal d’un liquide transparent
- Nausées et vomissements
- Complications au niveau de l’odorat
Lorsque ces symptômes apparaissent soudainement et simultanément, ils peuvent être graves. Par ailleurs, ils peuvent également causer un infarctus de l’hypophyse.
Découvrez également: 8 symptômes qui peuvent vous aider à reconnaître l’hypothyroïdisme
Types d’adénomes
Les adénomes hypophysaires se classent selon leur taille de la manière suivante :
- Micro-adénomes : inférieurs à 1 cm
- Macro-adénomes : supérieurs à 1 cm. Ce type d’adénome cause un déficit élevé en pourcentage d’une ou plusieurs hormones hypophysaires
De plus, ils sont classifiés différemment s’ils sécrètent ou non des hormones par eux-mêmes. Suivant ce critère, ils peuvent être fonctionnels s’ils sécrètent des hormones par eux-mêmes, et non fonctionnels s’ils n’en sécrètent pas.
Diagnostic de l’adénome hypophysaire

Pour le diagnostic, il est nécessaire de réaliser un examen physique dans lequel on analyse les problèmes de vision double et de champ visuel. En outre, on étudie également la perte de la vision latérale ou périphérique ainsi que la capacité de voir dans certaines zones.
Une analyse de la fonction endocrinienne est ensuite effectuée afin de déceler quelconque signe d’excès ou d’irrégularité hormonale. On y mesure des paramètres tels que les taux élevés de cortisol, le syndrome de Cushing ou un éventuel excès d’hormone de croissance.
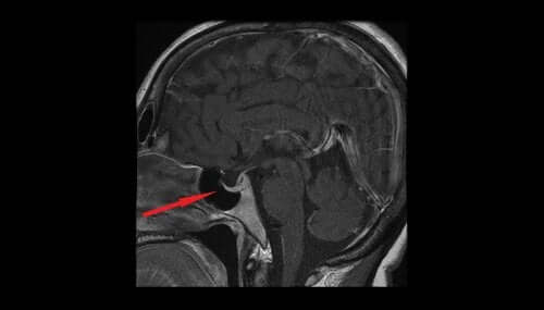
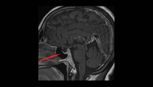
Les examens les plus pertinents qui aident à confirmer le diagnostic sont celui du champ visuel, la Tomodensitométrie Cérébrale et l’IRM cérébrale.
Lisez également: 6 signes d’un taux de cortisol élevé dans l’organisme
Traitement de l’adénome hypophysaire
Les options thérapeutiques actuelles comprennent :
- Traitement pharmacologique et substitut hormonal : les médicaments qui bloquent la sécrétion hormonale parviennent à contrôler les symptômes et réduisent aussi la taille de la tumeur
- Techniques de radiothérapie : elles sont souvent utilisées pour diminuer la taille de la tumeur
- Chirurgie de l’adénome hypophysaire : la plupart de ces tumeurs sont enlevées à travers la cavité nasale. Néanmoins, dans d’autres cas, une craniotomie ou une ouverture du crâne est nécessaire
La chirurgie endoscopique nasale consiste à introduire un endoscope par les fosses nasales. Ce dernier glisse entre le cornet central et la cloison nasale jusqu’à la localisation du trou sphénoïdal. Cet orifice s’agrandit pour obtenir une ouverture suffisante du sinus sphénoïdal et visualiser le fond de la selle turcique afin d’extraire la tumeur.
La complication la plus grave est la cécité au cas où le nerf optique est gravement endommagé. Par ailleurs, la tumeur ou son extirpation peuvent provoquer des déséquilibres hormonaux à vie et mener au diabète insipide. Ce type de diabète se caractérise par des symptômes de miction fréquente et de soif extrême.
L’adénome hypophysaire est une tumeur bénigne à croissance lente. Elle provient des cellules qui forment la glande hypophyse. Cette dernière régule la fonction des autres glandes du corps. Elle est donc très importante.
Ce type de tumeur est assez fréquent et se manifeste plus ou moins chez un adulte sur 1000. Par ailleurs, les carcinomes hypophysaires ou les tumeurs malignes sont très rares.
Il n’y a pas de distinction quant au sexe, cela affecte aussi bien les hommes que les femmes. En terme d’âge, l’incidence est plus élevée entre 30 et 40 ans.
Les causes réelles de l’adénome hypophysaire sont méconnues. Même si, dans certains cas, elles sont liées à une maladie génétique appelée Syndrome de Néoplasie Endocrinienne Multiple.
Les symptômes de l’adénome hypophysaire

Le principal symptôme résultant de ces tumeurs est l’altération dans les sécrétions hormonales. Selon l’incidence de la tumeur dans l’hypophyse, celle-ci peut produire trop d’hormones.
En raison de la perturbation du système endocrinien, les symptômes peuvent être :
- Hyperthyroïdisme : la glande thyroïde produit une quantité excessive d’hormones. Ce symptôme est plutôt inhabituel chez les personnes atteintes d’un adénome pituitaire
- Syndrome de Cushing : le taux de cortisol est plus élevé que la normale
- Acromégalie : dans le cas d’un niveau élevé d’hormones de la croissance chez les enfants, le gigantisme peut survenir. Si cela se produit chez un adulte, on parle d’acromégalie
- Sécrétion et production de lait chez les hommes et les femmes
- Menstruations irrégulières chez les femmes à cause de la modification des hormones sexuelles
D’autre part, les symptômes qui surviennent lorsqu’il y a une compression des structures cérébrales en raison d’une grande tumeur hypophysaire peuvent être :
- Changements dans la vision : par exemple, une vision double, perte du champ visuel, chute des paupières ou changements dans la vision de la couleur
- Maux de tête
- Fatigue et somnolence
- Écoulement nasal d’un liquide transparent
- Nausées et vomissements
- Complications au niveau de l’odorat
Lorsque ces symptômes apparaissent soudainement et simultanément, ils peuvent être graves. Par ailleurs, ils peuvent également causer un infarctus de l’hypophyse.
Découvrez également: 8 symptômes qui peuvent vous aider à reconnaître l’hypothyroïdisme
Types d’adénomes
Les adénomes hypophysaires se classent selon leur taille de la manière suivante :
- Micro-adénomes : inférieurs à 1 cm
- Macro-adénomes : supérieurs à 1 cm. Ce type d’adénome cause un déficit élevé en pourcentage d’une ou plusieurs hormones hypophysaires
De plus, ils sont classifiés différemment s’ils sécrètent ou non des hormones par eux-mêmes. Suivant ce critère, ils peuvent être fonctionnels s’ils sécrètent des hormones par eux-mêmes, et non fonctionnels s’ils n’en sécrètent pas.
Diagnostic de l’adénome hypophysaire

Pour le diagnostic, il est nécessaire de réaliser un examen physique dans lequel on analyse les problèmes de vision double et de champ visuel. En outre, on étudie également la perte de la vision latérale ou périphérique ainsi que la capacité de voir dans certaines zones.
Une analyse de la fonction endocrinienne est ensuite effectuée afin de déceler quelconque signe d’excès ou d’irrégularité hormonale. On y mesure des paramètres tels que les taux élevés de cortisol, le syndrome de Cushing ou un éventuel excès d’hormone de croissance.
Les examens les plus pertinents qui aident à confirmer le diagnostic sont celui du champ visuel, la Tomodensitométrie Cérébrale et l’IRM cérébrale.
Lisez également: 6 signes d’un taux de cortisol élevé dans l’organisme
Traitement de l’adénome hypophysaire
Les options thérapeutiques actuelles comprennent :
- Traitement pharmacologique et substitut hormonal : les médicaments qui bloquent la sécrétion hormonale parviennent à contrôler les symptômes et réduisent aussi la taille de la tumeur
- Techniques de radiothérapie : elles sont souvent utilisées pour diminuer la taille de la tumeur
- Chirurgie de l’adénome hypophysaire : la plupart de ces tumeurs sont enlevées à travers la cavité nasale. Néanmoins, dans d’autres cas, une craniotomie ou une ouverture du crâne est nécessaire
La chirurgie endoscopique nasale consiste à introduire un endoscope par les fosses nasales. Ce dernier glisse entre le cornet central et la cloison nasale jusqu’à la localisation du trou sphénoïdal. Cet orifice s’agrandit pour obtenir une ouverture suffisante du sinus sphénoïdal et visualiser le fond de la selle turcique afin d’extraire la tumeur.
La complication la plus grave est la cécité au cas où le nerf optique est gravement endommagé. Par ailleurs, la tumeur ou son extirpation peuvent provoquer des déséquilibres hormonaux à vie et mener au diabète insipide. Ce type de diabète se caractérise par des symptômes de miction fréquente et de soif extrême.
Toutes les sources citées ont été examinées en profondeur par notre équipe pour garantir leur qualité, leur fiabilité, leur actualité et leur validité. La bibliographie de cet article a été considérée comme fiable et précise sur le plan académique ou scientifique
-
Jaime, M. de, López, F., & Cabrera, G. (2003). Patología de los adenomas hipofisarios. Patología.
-
Betanzos, R. R., Gerardo, E., Pérez, D., Apolonia, S., Montaño, A., Sánchez, V., … Mendoza, C. (2009). Artículo de revisión Acromegalia. Mcm.
-
CARNEIRO, C. C., MENDES, B. B., & BASTOS, L. G. (2015). ADENOMA HIPOFISÁRIO: CORRELAÇÃO CLÍNICA, LABORATORIAL E RADIOLÓGICA. REVISTA DA UNIVERSIDADE VALE DO RIO VERDE. https://doi.org/10.5892/ruvrd.v13i1.1979
Ce texte est fourni à des fins d'information uniquement et ne remplace pas la consultation d'un professionnel. En cas de doute, consultez votre spécialiste.







