Les boissons rafraîchissantes endommagent votre corps et nous vous montrons comment


Relu et approuvé par la médecin Maricela Jiménez López
Une consommation excessive de boissons rafraîchissantes génère des difficultés dans l’organisme. Ces produits contiennent des substances chimiques et de colorants qui mettent en danger la santé des organes. Cela se manifeste par des effets indésirables dans le corps.
Dans cet article, vous découvrirez les effets les plus indésirables des boissons rafraîchissantes dans certains organes spécifiques.
Les boissons rafraîchissantes et le foie

La cirrhose a un rapport avec une consommation excessive de boissons rafraîchissantes de couleur sombre. Des spécialistes de la santé signalent que 600 millilitres de sodas par jour accélèrent le processus de cette pathologie.
Très certainement, vous serez convaincu d’arrêter de consommer ces boissons que lorsque vous saurez comment elles endommagent votre corps. Si vous consommez un litre de soda par jour, la probabilité qu’une quantité raisonnable de graisse s’accumule dans le foie s’élève à 5 fois.
Nous vous recommandons de lire : Comment traiter naturellement un foie trop gras ?
Les boissons rafraîchissantes et les reins
La forte teneur en acide phosphorique de ce type de boissons participe à la production de calculs rénaux. Selon des analyses réalisées par des experts, les personnes qui ne consomment pas de boissons rafraîchissantes ont un moins grand risque de souffrir d’une lithiase.
Les spécialistes signalent que la consommation quotidienne de sucre ne doit pas dépasser trois cuillères. Une bouteille de soda ainsi qu’une canette contiennent environ sept cuillères de sucre, sans oublier la quantité d’additifs et de conservateurs.
Ces produits sont fabriqués à partir de sucre raffinés, lesquels manquent de nutriments. Une fois dans l’organisme, le sucre aura besoin de vitamines du groupe B pour pouvoir se métaboliser. Cette vitamine sera donc éliminée du corps, fait à l’origine d’effets indésirables tels que la fatigue et une mauvaise digestion.
Les boissons rafraîchissantes et le surpoids
Une boisson gazeuse contenant 500 millilitres suffit à apporter un dixième des calories dont nous avons besoin par jour. Les experts signalent aussi que la consommation d’une canette de soda augmente de 1,6 de fois le risque de souffrir d’obésité.
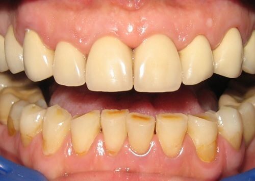
Les effets négatifs sur la dentition

L’émail tombe peu à peu et les dents prennent une coloration jaunâtre à cause du sucre et des colorants. Souvenez.vous qu’une carie est due à la déminéralisation de la dent provenant de la consommation de produits acides, lesquels proviennent de la fermentation des restes alimentaires.
De plus, nous savons que le pH des boissons rafraîchissantes est de 2,4 en moyenne, ce qui accélère le processus de déminéralisation des tissus durs de la dent.
Lisez aussi : 6 raisons pour lesquelles vos dents vous font mal
Les boissons rafraîchissantes et les os
En raison d’une consommation excessive de ces boissons, le corps cesse d’absorber le calcium et les os perdent une grande densité. Les enfants sont les plus vulnérables et souffrent également des conséquences.
Pour les médecins, le risque de souffrir d’ostéoporose dépend de la quantité de masse osseuse que nous parvenons à accumuler au cours des premières années de vie.
Une moindre absorption de calcium, conséquence d’une consommation excessive de boissons rafraîchissantes, est en lien étroit avec l’augmentation des fractures chez les enfants et les adolescents.
Des études indiquent qu’une consommation excessive de sucres raffinés et de caféine favorisent, en grande partie, la perte de calcium lorsque cette substance est en dessous de la normale.
Les problèmes cardiaques
Des enquêtes montrent que les personnes qui consomment un litre ou plus de boissons rafraîchissantes par jour ont 50 % de probabilités de souffrir d’un syndrome métabolique, lequel, au fur et à mesure que le temps passe, provoque des maladies cardiaques et même du diabète.
Le contenu des boissons rafraîchissantes
Ces boissons contiennent de nombreux additifs, d’où leur couleur attrayante. Cela provoque des modifications dans l’organisme, modifications à l’origine d’allergies ou de l’hyperactivité chez les plus petits du foyer.
- Le colorant caramel. Cette couleur attrayante est celle des boissons sucrées de couleur caramel. Ce ton s’obtient grâce au mélange du sucre avec des nitrates et des sulfites soumis à haute pression. La consommation de ces substances provoque des modifications au niveau du sang et le cancer chez les animaux de laboratoire.
- L’acide carminique, E120. Cet acide est à l’origine de la diminution de la croissance des animaux de laboratoire.
- Le colorant jaune 5, tartrazine ou E102. Il provoque de l’asthme, le nez qui coule et l’urticaire si on le mélangée avec des analgésiques tels que l’aspirine.
Il ne s’agit pas d’interdire la consommation de ces boissons sucrées, mais de diminuer sa consommation quotidienne, en prenant en compte les effets négatifs sur le corps et les organes vitaux. Les composants chimiques de ces boissons contribuent à accélérer différentes pathologies, comme par exemple le diabète, entre autres.
Une consommation excessive de boissons rafraîchissantes génère des difficultés dans l’organisme. Ces produits contiennent des substances chimiques et de colorants qui mettent en danger la santé des organes. Cela se manifeste par des effets indésirables dans le corps.
Dans cet article, vous découvrirez les effets les plus indésirables des boissons rafraîchissantes dans certains organes spécifiques.
Les boissons rafraîchissantes et le foie

La cirrhose a un rapport avec une consommation excessive de boissons rafraîchissantes de couleur sombre. Des spécialistes de la santé signalent que 600 millilitres de sodas par jour accélèrent le processus de cette pathologie.
Très certainement, vous serez convaincu d’arrêter de consommer ces boissons que lorsque vous saurez comment elles endommagent votre corps. Si vous consommez un litre de soda par jour, la probabilité qu’une quantité raisonnable de graisse s’accumule dans le foie s’élève à 5 fois.
Nous vous recommandons de lire : Comment traiter naturellement un foie trop gras ?
Les boissons rafraîchissantes et les reins
La forte teneur en acide phosphorique de ce type de boissons participe à la production de calculs rénaux. Selon des analyses réalisées par des experts, les personnes qui ne consomment pas de boissons rafraîchissantes ont un moins grand risque de souffrir d’une lithiase.
Les spécialistes signalent que la consommation quotidienne de sucre ne doit pas dépasser trois cuillères. Une bouteille de soda ainsi qu’une canette contiennent environ sept cuillères de sucre, sans oublier la quantité d’additifs et de conservateurs.
Ces produits sont fabriqués à partir de sucre raffinés, lesquels manquent de nutriments. Une fois dans l’organisme, le sucre aura besoin de vitamines du groupe B pour pouvoir se métaboliser. Cette vitamine sera donc éliminée du corps, fait à l’origine d’effets indésirables tels que la fatigue et une mauvaise digestion.
Les boissons rafraîchissantes et le surpoids
Une boisson gazeuse contenant 500 millilitres suffit à apporter un dixième des calories dont nous avons besoin par jour. Les experts signalent aussi que la consommation d’une canette de soda augmente de 1,6 de fois le risque de souffrir d’obésité.
Les effets négatifs sur la dentition

L’émail tombe peu à peu et les dents prennent une coloration jaunâtre à cause du sucre et des colorants. Souvenez.vous qu’une carie est due à la déminéralisation de la dent provenant de la consommation de produits acides, lesquels proviennent de la fermentation des restes alimentaires.
De plus, nous savons que le pH des boissons rafraîchissantes est de 2,4 en moyenne, ce qui accélère le processus de déminéralisation des tissus durs de la dent.
Lisez aussi : 6 raisons pour lesquelles vos dents vous font mal
Les boissons rafraîchissantes et les os
En raison d’une consommation excessive de ces boissons, le corps cesse d’absorber le calcium et les os perdent une grande densité. Les enfants sont les plus vulnérables et souffrent également des conséquences.
Pour les médecins, le risque de souffrir d’ostéoporose dépend de la quantité de masse osseuse que nous parvenons à accumuler au cours des premières années de vie.
Une moindre absorption de calcium, conséquence d’une consommation excessive de boissons rafraîchissantes, est en lien étroit avec l’augmentation des fractures chez les enfants et les adolescents.
Des études indiquent qu’une consommation excessive de sucres raffinés et de caféine favorisent, en grande partie, la perte de calcium lorsque cette substance est en dessous de la normale.
Les problèmes cardiaques
Des enquêtes montrent que les personnes qui consomment un litre ou plus de boissons rafraîchissantes par jour ont 50 % de probabilités de souffrir d’un syndrome métabolique, lequel, au fur et à mesure que le temps passe, provoque des maladies cardiaques et même du diabète.
Le contenu des boissons rafraîchissantes
Ces boissons contiennent de nombreux additifs, d’où leur couleur attrayante. Cela provoque des modifications dans l’organisme, modifications à l’origine d’allergies ou de l’hyperactivité chez les plus petits du foyer.
- Le colorant caramel. Cette couleur attrayante est celle des boissons sucrées de couleur caramel. Ce ton s’obtient grâce au mélange du sucre avec des nitrates et des sulfites soumis à haute pression. La consommation de ces substances provoque des modifications au niveau du sang et le cancer chez les animaux de laboratoire.
- L’acide carminique, E120. Cet acide est à l’origine de la diminution de la croissance des animaux de laboratoire.
- Le colorant jaune 5, tartrazine ou E102. Il provoque de l’asthme, le nez qui coule et l’urticaire si on le mélangée avec des analgésiques tels que l’aspirine.
Il ne s’agit pas d’interdire la consommation de ces boissons sucrées, mais de diminuer sa consommation quotidienne, en prenant en compte les effets négatifs sur le corps et les organes vitaux. Les composants chimiques de ces boissons contribuent à accélérer différentes pathologies, comme par exemple le diabète, entre autres.
Toutes les sources citées ont été examinées en profondeur par notre équipe pour garantir leur qualité, leur fiabilité, leur actualité et leur validité. La bibliographie de cet article a été considérée comme fiable et précise sur le plan académique ou scientifique
- El consumo diario de bebidas azucaradas podría inducir al hígado graso no alcohólico. http://www.nutricion.org/noticias/noticia.asp?id=107
- Las gaseosas dulces aumentan los depósitos de grasa peligrosos https://www.intramed.net/contenidover.asp?contenidoID=74270
- Esparza-Olcina, M., & Gonzalez-Rodriguez, M. (2013). El consumo de bebidas azucaradas se asocia a obesidad. Evidencias En Pediatria.
- Suh, H., & Rodríguez, E. (2016). Determinación del pH y Contenido Total de Azúcares de Varias Bebidas No Alcohólicas: su Relación con Erosión y Caries Dental. Odonto Investigacion.
Ce texte est fourni à des fins d'information uniquement et ne remplace pas la consultation d'un professionnel. En cas de doute, consultez votre spécialiste.







