Les analyses qui détectent l’épanchement péricardique

L’épanchement péricardique est une condition dans le cadre de laquelle se présente une accumulation excessive de liquide entre le cœur et le péricarde. Ce dernier est le sac qui recouvre le cœur. On estime qu’il y a un épanchement quand le liquide excède les 50 ml.
Entre le cœur et le péricarde, il y a toujours une fine couche de liquide. Cependant, en cas de maladie ou de lésion, l’inflammation se produit. Cela, à la fois, fait augmenter la quantité de liquides. Malgré cela, il y a parfois un épanchement péricardique sans inflammation précédente.
L’épanchement péricardique fait pression sur le cœur et affecte son fonctionnement. S’il n’est pas traité, il pourrait causer une insuffisance cardiaque et mener à la mort. Les examens qui permettent de détecter cette condition sont les suivants.
Manières de détecter l’épanchement péricardique
Échocardiogramme

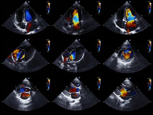
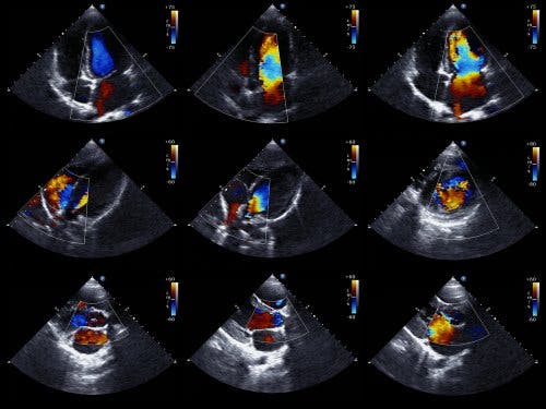
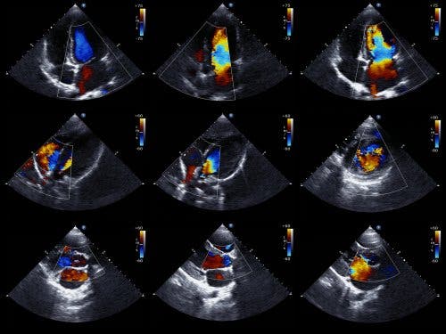
L’échocardiogramme est la preuve préférentielle pour détecter un épanchement péricardique. On parle aussi d’échocardiographie ou d’ultrasons cardiaques. C’est un test qui permet de visualiser la structure du cœur et d’étudier sa capacité à pomper du sang.
L’échocardiogramme réalisé selon la technique Doppler permet aussi d’établir la vitesse exacte des flux du cœur. Du point de vue technique, l’échocardiogramme bidimensionnel et en mode M est la technique idoine pour diagnostiquer, quantifier et faire un suivi de l’épanchement péricardique.
L’inexistence d’échos entre l’épicarde et le péricarde latéral est une découverte qui permet de diagnostiquer un épanchement péricardique. Le cardiologue déterminera la taille de l’épanchement à partir de la quantité d’espace qu’il y a entre les deux couches du péricarde.
Il faut noter qu’il existe deux types d’échocardiogramme. Le transthoracique, dans lequel on emploie un dispositif qui se pose sur le torse, à la hauteur du cœur, et émet du son. Et l’échographie trans-œsophagienne, dans laquelle le dispositif s’introduit dans le tube digestif jusqu’à l’œsophage. Cette dernière apporte des données plus détaillés.
Découvrez : L’œdème pulmonaire : symptômes et causes
Électrocardiogramme
L’électrocardiogramme enregistre l’activité électrique du cœur. En gros, cela permet d’évaluer le rythme et la fonction cardiaque. L’épanchement péricardique cause des altérations dans le graphique, mais celles-ci ne sont pas spécifiques.
D’habitude, on voit certaines anomalies dans le complexe QRS. Ce dernier est un vecteur qui reflète la somme de toutes les charges électriques qui se produisent dans les cellules des ventricules. En général, quand il y a un épanchement péricardique, on observe une réduction dans le voltage du QRS.
Ainsi, on observe dans ces cas un aplanissement des ondes T. Si l’épanchement est très sévère et qu’il y a tamponnade, on observe une alternance électrique. En général, l’onde P se voit large et bimodale, ce qui indique une anomalie.
Lisez cet article : Ce que vous ne savez pas sur les arythmies cardiaques
Radiographie thoracique, TACO ou RMN

La radiographie du thorax consiste en une prise d’images avec des rayons X qui permet de visualiser tous les organes de la zone thoracique. Aussi, la tomographie axiale calculée par ordinateur, ou TACO, est un examen qui emploie des rayons X et permet d’obtenir des images sous forme de coupes transversales ou en troisième dimension.
D’autre part, la résonance magnétique nucléaire (RMN) est un examen permettant d’obtenir des images détaillées de l’intérieur du corps, en deux ou trois dimensions. Cela apporte beaucoup d’informations plus spécifiques que celles découlant de la radiographie ou de la TACO.
Quand il y a des épanchements péricardiques, on note une altération dans la silhouette cardiaque, que l’on peut facilement détecter avec ces épreuves. En général, il y a un agrandissement de la silhouette quand il y a une accumulation de plus de 250 ml de liquide dans le sac péricardique.
Cependant, avec rien de plus que 50 ml, on peut parler d’épanchement péricardique. Pour autant, une radiographie du thorax, par exemple, ne montre pas une silhouette agrandie, même si l’anomalie est présente. La TACO et la RMN sont beaucoup plus concluants.
Quantification de l’épanchement péricardique
Il n’y a pas de critères universellement acceptés pour quantifier le volume de l’épanchement péricardique. Cela est dû au fait que toutes les méthodes présentent des limitations pour déterminer la quantité réelle de liquide présent dans le sac péricardique.
La technique la plus acceptée pour la quantification est celle proposée par Weitzman. Elle se base sur l’échocardiographie en mode M. Elle propose d’ajouter les espaces libres d’écho dans les sacs antérieurs et postérieurs à la fin de la diastole. Ici, on parle d’épanchement léger quand la somme est de 10 mm ou moins, modéré entre 10 et 19 mm et sévère quand elle est de 20 mm ou plus.
Il est important d’écarter la présence de tumeurs cardiaques et kystes péricardiques, avant d’émettre un diagnostic. Ainsi, vérifier qu’il n’y ait pas d’épanchement pleural ou de graisse épicardique est essentiel.
L’épanchement péricardique est une condition dans le cadre de laquelle se présente une accumulation excessive de liquide entre le cœur et le péricarde. Ce dernier est le sac qui recouvre le cœur. On estime qu’il y a un épanchement quand le liquide excède les 50 ml.
Entre le cœur et le péricarde, il y a toujours une fine couche de liquide. Cependant, en cas de maladie ou de lésion, l’inflammation se produit. Cela, à la fois, fait augmenter la quantité de liquides. Malgré cela, il y a parfois un épanchement péricardique sans inflammation précédente.
L’épanchement péricardique fait pression sur le cœur et affecte son fonctionnement. S’il n’est pas traité, il pourrait causer une insuffisance cardiaque et mener à la mort. Les examens qui permettent de détecter cette condition sont les suivants.
Manières de détecter l’épanchement péricardique
Échocardiogramme

L’échocardiogramme est la preuve préférentielle pour détecter un épanchement péricardique. On parle aussi d’échocardiographie ou d’ultrasons cardiaques. C’est un test qui permet de visualiser la structure du cœur et d’étudier sa capacité à pomper du sang.
L’échocardiogramme réalisé selon la technique Doppler permet aussi d’établir la vitesse exacte des flux du cœur. Du point de vue technique, l’échocardiogramme bidimensionnel et en mode M est la technique idoine pour diagnostiquer, quantifier et faire un suivi de l’épanchement péricardique.
L’inexistence d’échos entre l’épicarde et le péricarde latéral est une découverte qui permet de diagnostiquer un épanchement péricardique. Le cardiologue déterminera la taille de l’épanchement à partir de la quantité d’espace qu’il y a entre les deux couches du péricarde.
Il faut noter qu’il existe deux types d’échocardiogramme. Le transthoracique, dans lequel on emploie un dispositif qui se pose sur le torse, à la hauteur du cœur, et émet du son. Et l’échographie trans-œsophagienne, dans laquelle le dispositif s’introduit dans le tube digestif jusqu’à l’œsophage. Cette dernière apporte des données plus détaillés.
Découvrez : L’œdème pulmonaire : symptômes et causes
Électrocardiogramme
L’électrocardiogramme enregistre l’activité électrique du cœur. En gros, cela permet d’évaluer le rythme et la fonction cardiaque. L’épanchement péricardique cause des altérations dans le graphique, mais celles-ci ne sont pas spécifiques.
D’habitude, on voit certaines anomalies dans le complexe QRS. Ce dernier est un vecteur qui reflète la somme de toutes les charges électriques qui se produisent dans les cellules des ventricules. En général, quand il y a un épanchement péricardique, on observe une réduction dans le voltage du QRS.
Ainsi, on observe dans ces cas un aplanissement des ondes T. Si l’épanchement est très sévère et qu’il y a tamponnade, on observe une alternance électrique. En général, l’onde P se voit large et bimodale, ce qui indique une anomalie.
Lisez cet article : Ce que vous ne savez pas sur les arythmies cardiaques
Radiographie thoracique, TACO ou RMN

La radiographie du thorax consiste en une prise d’images avec des rayons X qui permet de visualiser tous les organes de la zone thoracique. Aussi, la tomographie axiale calculée par ordinateur, ou TACO, est un examen qui emploie des rayons X et permet d’obtenir des images sous forme de coupes transversales ou en troisième dimension.
D’autre part, la résonance magnétique nucléaire (RMN) est un examen permettant d’obtenir des images détaillées de l’intérieur du corps, en deux ou trois dimensions. Cela apporte beaucoup d’informations plus spécifiques que celles découlant de la radiographie ou de la TACO.
Quand il y a des épanchements péricardiques, on note une altération dans la silhouette cardiaque, que l’on peut facilement détecter avec ces épreuves. En général, il y a un agrandissement de la silhouette quand il y a une accumulation de plus de 250 ml de liquide dans le sac péricardique.
Cependant, avec rien de plus que 50 ml, on peut parler d’épanchement péricardique. Pour autant, une radiographie du thorax, par exemple, ne montre pas une silhouette agrandie, même si l’anomalie est présente. La TACO et la RMN sont beaucoup plus concluants.
Quantification de l’épanchement péricardique
Il n’y a pas de critères universellement acceptés pour quantifier le volume de l’épanchement péricardique. Cela est dû au fait que toutes les méthodes présentent des limitations pour déterminer la quantité réelle de liquide présent dans le sac péricardique.
La technique la plus acceptée pour la quantification est celle proposée par Weitzman. Elle se base sur l’échocardiographie en mode M. Elle propose d’ajouter les espaces libres d’écho dans les sacs antérieurs et postérieurs à la fin de la diastole. Ici, on parle d’épanchement léger quand la somme est de 10 mm ou moins, modéré entre 10 et 19 mm et sévère quand elle est de 20 mm ou plus.
Il est important d’écarter la présence de tumeurs cardiaques et kystes péricardiques, avant d’émettre un diagnostic. Ainsi, vérifier qu’il n’y ait pas d’épanchement pleural ou de graisse épicardique est essentiel.
Toutes les sources citées ont été examinées en profondeur par notre équipe pour garantir leur qualité, leur fiabilité, leur actualité et leur validité. La bibliographie de cet article a été considérée comme fiable et précise sur le plan académique ou scientifique
- Martín-García, A. C., Peláez, E. D., Martín-García, A., & Sánchez, P. L. (2017). Derrame pericárdico. Taponamiento cardíaco. Medicine-Programa de Formación Médica Continuada Acreditado, 12(44), 2621-2628.
- Sociedad Española de Imagen Cardíaca. Complejo QRS. https://ecocardio.com/documentos/biblioteca-preguntas-basicas/preguntas-al-cardiologo/1046-complejo-qrs.html
- MedlinePlus. Ecocardiografía. https://medlineplus.gov/spanish/ency/article/003869.htm
- MedlinePlus. Trastornos del pericardio. https://medlineplus.gov/spanish/pericardialdisorders.html
- MedlinePlus. Electrocardiograma.https://medlineplus.gov/spanish/pruebas-de-laboratorio/electrocardiograma/
- National Heart, Lung and Blood Institute. Radiografía de tórax. https://www.nhlbi.nih.gov/health-topics/espanol/radiografia-de-torax
Ce texte est fourni à des fins d'information uniquement et ne remplace pas la consultation d'un professionnel. En cas de doute, consultez votre spécialiste.







