Qu’est-ce que l’occlusion croisée ? Causes et traitements


Rédigé et vérifié par la dentiste Vanesa Evangelina Buffa
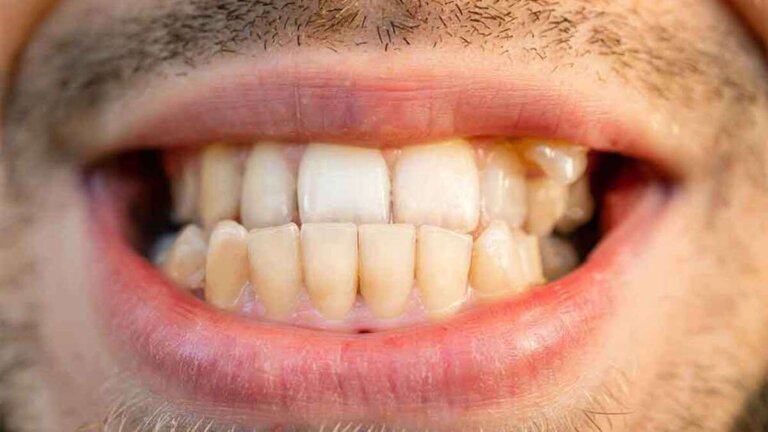
L’occlusion croisée est une condition qui modifie la relation naturelle entre les dents du haut et du bas. Cette divergence dentaire est également connue sous le nom d’occlusion inversée, car la mandibule est positionnée à l’extérieur de la mâchoire supérieure.
La morsure inversée a non seulement un impact sur les fonctions buccales, telles que la mastication et la parole, mais affecte également l’esthétique du visage. Il existe cependant différents traitements dentaires qui peuvent corriger le problème.
Qu’est-ce qu’une occlusion croisée ?

L’occlusion croisée est un type de malocclusion dentaire. Les dents supérieures et inférieures ne s’alignent pas correctement lors de la fermeture de la bouche.
Dans des conditions normales, les pièces supérieures doivent être placées légèrement à l’extérieur des pièces inférieures lors de l’occlusion. Au contraire, dans une occlusion croisée, cette disposition est inversée et certaines dents supérieures restent à l’intérieur des dents inférieures lors de la fermeture de la bouche.
L’Association américaine des orthodontistes souligne que cette anomalie peut toucher une ou plusieurs dents, à l’avant ou à l’arrière de la bouche, d’un ou des deux côtés de la mâchoire. De plus, cette façon de mordre peut être associée à d’autres altérations des os maxillaires, telles que les suivantes :
- Palais étroit, ogival et profond.
- Mâchoire très grande et avancée.

Types d’occlusions croisées
Une morsure inversée peut se présenter différemment chez chaque personne. Selon la zone de la bouche touchée, on distingue les types suivants :
- Antérieur : La pathologie est concentrée dans la partie antérieure de la bouche, sur les incisives et les canines.
- Postérieur : Cela affecte les dents du fond de la bouche, c’est-à-dire les molaires et les prémolaires.
- Unilatéral : La malocclusion se produit d’un seul côté de la bouche, soit le gauche, soit le droit. Dans cette situation, il est courant que la déviation provoque des asymétries au niveau du visage et des problèmes au niveau de l’articulation temporo-mandibulaire (ATM).
- Bilatéral : Le trouble survient des deux côtés de la mâchoire.
En plus de ce qui précède, les occlusions croisées peuvent également être classées selon leur origine :
- Squelettique : résulte de défauts de croissance osseuse. Il peut arriver que la mâchoire supérieure ne soit pas suffisamment développée ou que la mâchoire inférieure soit très grande.
- Dentaire : cela est dû à un mauvais positionnement des dents.
- Mixte : les deux cas précédents sont confondus. Il y a un échec dans la croissance osseuse et, en outre, les éléments dentaires se positionnent mal.
Quelles sont les causes de l’occlusion croisée?
L’occlusion croisée peut survenir pour diverses causes, à la fois génétiques et environnementales. Elle est considérée comme une condition multifactorielle, car elle peut résulter d’une combinaison de différentes situations.
Facteurs génétiques
L’hérédité joue un rôle crucial dans le développement des structures buccales. La forme, la taille et la disposition des os et des dents dépendent en grande partie de la génétique.
Ainsi, il est assez fréquent d’observer la répétition d’occlusions croisées chez plusieurs membres d’une même famille. Certaines causes génétiques sous-jacentes, telles que des mâchoires très étroites, une fente labiale ou palatine, des dents encombrées, de forme anormale ou supplémentaires, sont des conditions héréditaires qui peuvent également déclencher le trouble.
Causes environnementales
En plus des facteurs génétiques, il existe des circonstances environnementales qui influencent la façon dont les os se développent, l’éruption et la position des dents. Les situations externes suivantes peuvent contribuer au développement d’une occlusion croisée :
- Respiration orale.
- Déglutition atypique.
- Traumatisme à la bouche.
- Habitude de sucer le pouce.
- Perte ou absence de dents.
- Dents tordues ou mal positionnées.
- Utilisation prolongée d’une tétine ou d’un biberon.
- Manque d’espace entre les dents de lait.
- Perte prématurée ou très retardée des dents de lait.
- Restaurations, couronnes ou appareils dentaires mal ajustés.
- Problèmes fonctionnels, tels qu’une mauvaise posture de la mâchoire lors de la morsure.
Symptômes d’occlusion croisée
Une occlusion croisée est généralement assez évidente à l’œil nu. Un menton avancé, une mâchoire supérieure très petite ou la déviation de la mâchoire d’un côté affectent l’apparence du visage.
Cependant, au-delà des répercussions esthétiques, souffrir de cette malocclusion affecte à la fois les fonctions buccales et la santé bucco-dentaire en général. Les symptômes les plus pertinents sont les suivants :
- L’usure des dents.
- Altérations de l’ATM.
- Problèmes de morsure et de mastication.
- Risque accru de souffrir de caries et de gingivite.
- Difficulté à prononcer certains phonèmes.
- Douleur dans les dents, les mâchoires, les épaules, le cou ou la tête.
Il existe des cas où une personne peut avoir une morsure croisée sans ressentir de symptômes visibles. Cependant, compte tenu de l’impact potentiel sur la qualité de vie, il est indispensable de demander conseil à un orthodontiste en cas de suspicion de malocclusion.
Traitements en cas d’occlusion croisée
L’orthodontiste est le professionnel formé pour diagnostiquer et planifier le traitement des occlusions croisées. Son approche thérapeutique variera en fonction de divers facteurs, l’âge du patient étant l’un des plus importants.
Quel est le meilleur moment pour traiter une occlusion croisée?
Le traitement est plus efficace pendant l’enfance, en profitant de la période de développement osseux et d’éruption dentaire. Au cours de cette étape, il est possible de guider la croissance et la position des structures buccales de manière plus simple, plus brève et plus efficace.
Les experts recommandent de corriger les occlusions croisées antérieures et postérieures dès le début. Au cours de la première étape de la dentition mixte, lorsque les dents de lait commencent à changer. Ce moment optimal permet de corriger l’occlusion des molaires permanentes et des incisives. Ainsi que de remédier aux déficiences maxillaires, aux palais étroits et aux déplacements mandibulaires.
Il est judicieux de consulter un orthodontiste à partir de 6 ans. Lors de la consultation, le spécialiste peut identifier tout problème d’occlusion et prendre des mesures précoces pour les corriger avant qu’ils ne progressent et ne s’aggravent.
Cependant, même si le traitement est plus facile et plus efficace pendant l’enfance, ce n’est pas la seule option disponible. Il existe également des alternatives pour le corriger chez les adolescents et les adultes. Même si les procédures sont plus complexes et prennent plus de temps.
Traitement chez les enfants
Le traitement des occlusions croisées pendant l’enfance se fait par orthodontie interceptive. Cette approche thérapeutique tire parti du stade de croissance osseuse de l’enfant et cherche à corriger la malocclusion grâce à des dispositifs spéciaux qui guident le développement des bases osseuses maxillaires et mandibulaires.
L’orthodontiste peut utiliser différents types d’appareils pour dilater la mâchoire supérieure, élargir le palais ou mobiliser les dents. De plus, si le cas le justifie, les appareils sont également utilisés pour traiter les habitudes buccales dysfonctionnelles qui affectent le développement des structures buccales.
Les extenseurs, les appareils orthodontiques, les appareils amovibles, les appareils myofonctionnels et les aligneurs transparents sont quelques exemples de dispositifs que l’orthodontiste peut utiliser et combiner pour corriger les occlusions croisées chez les enfants.
Une fois que l’enfant cesse de grandir et qu’une relation adéquate entre les deux mâchoires est obtenue, il peut être nécessaire de compléter le traitement par une orthodontie corrective. Ces appareils permettent d’aligner les dents avec précision et d’améliorer les résultats obtenus.
Traitement de l’occlusion croisée chez l’adulte
Lorsque le diagnostic est posé à l’âge adulte, le traitement peut être plus complexe, car la croissance du visage est déjà terminée. Le problème peut avoir différents degrés de gravité et l’approche dépendra de la gravité du cas.
Si l’occlusion croisée a une origine dentaire, l’orthodontie correctrice est généralement utilisée. Grâce à des appareils fixes avec supports, arcs et fils, ou aligneurs invisibles, des forces sont générées capables de mobiliser les dents jusqu’à ce qu’une relation adéquate entre les pièces supérieures et inférieures soit obtenue.
En revanche, lorsque les anomalies sont très importantes, il est nécessaire de recourir à la chirurgie orthognatique. Cette intervention chirurgicale modifie la taille et la position des mâchoires. On obtient ainsi une relation adéquate entre les structures de la bouche et du visage.
En général, avant et après l’intervention, on complète le traitement par une orthodontie correctrice pour aligner les dents et obtenir une occlusion harmonieuse. Pour cette raison, l’ensemble du processus peut prendre plusieurs années.
En plus de ces options, le traitement de la morsure inversée chez l’adulte peut nécessiter d’autres pratiques complémentaires, telles que les suivantes :
- Extenseurs osseux.
- Reconstruction ou remodelage des dents.
- Extraction dentaire pour résoudre les problèmes d’espace.
Une consultation opportune fait la différence
Enfin, les occlusions croisées peuvent avoir un impact à la fois sur l’esthétique, sur la fonctionnalité et sur la santé de la bouche. Cependant, le problème peut se traiter à n’importe quel stade de la vie. Les approches varieront en complexité et en durée.
L’important est de demander l’aide d’un professionnel le plus tôt possible pour éviter que la malocclusion ne s’aggrave. Votre âge n’a pas d’importance. Consultez votre orthodontiste pour obtenir un diagnostic précis et planifier le traitement le plus approprié pour vous.
L’occlusion croisée est une condition qui modifie la relation naturelle entre les dents du haut et du bas. Cette divergence dentaire est également connue sous le nom d’occlusion inversée, car la mandibule est positionnée à l’extérieur de la mâchoire supérieure.
La morsure inversée a non seulement un impact sur les fonctions buccales, telles que la mastication et la parole, mais affecte également l’esthétique du visage. Il existe cependant différents traitements dentaires qui peuvent corriger le problème.
Qu’est-ce qu’une occlusion croisée ?

L’occlusion croisée est un type de malocclusion dentaire. Les dents supérieures et inférieures ne s’alignent pas correctement lors de la fermeture de la bouche.
Dans des conditions normales, les pièces supérieures doivent être placées légèrement à l’extérieur des pièces inférieures lors de l’occlusion. Au contraire, dans une occlusion croisée, cette disposition est inversée et certaines dents supérieures restent à l’intérieur des dents inférieures lors de la fermeture de la bouche.
L’Association américaine des orthodontistes souligne que cette anomalie peut toucher une ou plusieurs dents, à l’avant ou à l’arrière de la bouche, d’un ou des deux côtés de la mâchoire. De plus, cette façon de mordre peut être associée à d’autres altérations des os maxillaires, telles que les suivantes :
- Palais étroit, ogival et profond.
- Mâchoire très grande et avancée.

Types d’occlusions croisées
Une morsure inversée peut se présenter différemment chez chaque personne. Selon la zone de la bouche touchée, on distingue les types suivants :
- Antérieur : La pathologie est concentrée dans la partie antérieure de la bouche, sur les incisives et les canines.
- Postérieur : Cela affecte les dents du fond de la bouche, c’est-à-dire les molaires et les prémolaires.
- Unilatéral : La malocclusion se produit d’un seul côté de la bouche, soit le gauche, soit le droit. Dans cette situation, il est courant que la déviation provoque des asymétries au niveau du visage et des problèmes au niveau de l’articulation temporo-mandibulaire (ATM).
- Bilatéral : Le trouble survient des deux côtés de la mâchoire.
En plus de ce qui précède, les occlusions croisées peuvent également être classées selon leur origine :
- Squelettique : résulte de défauts de croissance osseuse. Il peut arriver que la mâchoire supérieure ne soit pas suffisamment développée ou que la mâchoire inférieure soit très grande.
- Dentaire : cela est dû à un mauvais positionnement des dents.
- Mixte : les deux cas précédents sont confondus. Il y a un échec dans la croissance osseuse et, en outre, les éléments dentaires se positionnent mal.
Quelles sont les causes de l’occlusion croisée?
L’occlusion croisée peut survenir pour diverses causes, à la fois génétiques et environnementales. Elle est considérée comme une condition multifactorielle, car elle peut résulter d’une combinaison de différentes situations.
Facteurs génétiques
L’hérédité joue un rôle crucial dans le développement des structures buccales. La forme, la taille et la disposition des os et des dents dépendent en grande partie de la génétique.
Ainsi, il est assez fréquent d’observer la répétition d’occlusions croisées chez plusieurs membres d’une même famille. Certaines causes génétiques sous-jacentes, telles que des mâchoires très étroites, une fente labiale ou palatine, des dents encombrées, de forme anormale ou supplémentaires, sont des conditions héréditaires qui peuvent également déclencher le trouble.
Causes environnementales
En plus des facteurs génétiques, il existe des circonstances environnementales qui influencent la façon dont les os se développent, l’éruption et la position des dents. Les situations externes suivantes peuvent contribuer au développement d’une occlusion croisée :
- Respiration orale.
- Déglutition atypique.
- Traumatisme à la bouche.
- Habitude de sucer le pouce.
- Perte ou absence de dents.
- Dents tordues ou mal positionnées.
- Utilisation prolongée d’une tétine ou d’un biberon.
- Manque d’espace entre les dents de lait.
- Perte prématurée ou très retardée des dents de lait.
- Restaurations, couronnes ou appareils dentaires mal ajustés.
- Problèmes fonctionnels, tels qu’une mauvaise posture de la mâchoire lors de la morsure.
Symptômes d’occlusion croisée
Une occlusion croisée est généralement assez évidente à l’œil nu. Un menton avancé, une mâchoire supérieure très petite ou la déviation de la mâchoire d’un côté affectent l’apparence du visage.
Cependant, au-delà des répercussions esthétiques, souffrir de cette malocclusion affecte à la fois les fonctions buccales et la santé bucco-dentaire en général. Les symptômes les plus pertinents sont les suivants :
- L’usure des dents.
- Altérations de l’ATM.
- Problèmes de morsure et de mastication.
- Risque accru de souffrir de caries et de gingivite.
- Difficulté à prononcer certains phonèmes.
- Douleur dans les dents, les mâchoires, les épaules, le cou ou la tête.
Il existe des cas où une personne peut avoir une morsure croisée sans ressentir de symptômes visibles. Cependant, compte tenu de l’impact potentiel sur la qualité de vie, il est indispensable de demander conseil à un orthodontiste en cas de suspicion de malocclusion.
Traitements en cas d’occlusion croisée
L’orthodontiste est le professionnel formé pour diagnostiquer et planifier le traitement des occlusions croisées. Son approche thérapeutique variera en fonction de divers facteurs, l’âge du patient étant l’un des plus importants.
Quel est le meilleur moment pour traiter une occlusion croisée?
Le traitement est plus efficace pendant l’enfance, en profitant de la période de développement osseux et d’éruption dentaire. Au cours de cette étape, il est possible de guider la croissance et la position des structures buccales de manière plus simple, plus brève et plus efficace.
Les experts recommandent de corriger les occlusions croisées antérieures et postérieures dès le début. Au cours de la première étape de la dentition mixte, lorsque les dents de lait commencent à changer. Ce moment optimal permet de corriger l’occlusion des molaires permanentes et des incisives. Ainsi que de remédier aux déficiences maxillaires, aux palais étroits et aux déplacements mandibulaires.
Il est judicieux de consulter un orthodontiste à partir de 6 ans. Lors de la consultation, le spécialiste peut identifier tout problème d’occlusion et prendre des mesures précoces pour les corriger avant qu’ils ne progressent et ne s’aggravent.
Cependant, même si le traitement est plus facile et plus efficace pendant l’enfance, ce n’est pas la seule option disponible. Il existe également des alternatives pour le corriger chez les adolescents et les adultes. Même si les procédures sont plus complexes et prennent plus de temps.
Traitement chez les enfants
Le traitement des occlusions croisées pendant l’enfance se fait par orthodontie interceptive. Cette approche thérapeutique tire parti du stade de croissance osseuse de l’enfant et cherche à corriger la malocclusion grâce à des dispositifs spéciaux qui guident le développement des bases osseuses maxillaires et mandibulaires.
L’orthodontiste peut utiliser différents types d’appareils pour dilater la mâchoire supérieure, élargir le palais ou mobiliser les dents. De plus, si le cas le justifie, les appareils sont également utilisés pour traiter les habitudes buccales dysfonctionnelles qui affectent le développement des structures buccales.
Les extenseurs, les appareils orthodontiques, les appareils amovibles, les appareils myofonctionnels et les aligneurs transparents sont quelques exemples de dispositifs que l’orthodontiste peut utiliser et combiner pour corriger les occlusions croisées chez les enfants.
Une fois que l’enfant cesse de grandir et qu’une relation adéquate entre les deux mâchoires est obtenue, il peut être nécessaire de compléter le traitement par une orthodontie corrective. Ces appareils permettent d’aligner les dents avec précision et d’améliorer les résultats obtenus.
Traitement de l’occlusion croisée chez l’adulte
Lorsque le diagnostic est posé à l’âge adulte, le traitement peut être plus complexe, car la croissance du visage est déjà terminée. Le problème peut avoir différents degrés de gravité et l’approche dépendra de la gravité du cas.
Si l’occlusion croisée a une origine dentaire, l’orthodontie correctrice est généralement utilisée. Grâce à des appareils fixes avec supports, arcs et fils, ou aligneurs invisibles, des forces sont générées capables de mobiliser les dents jusqu’à ce qu’une relation adéquate entre les pièces supérieures et inférieures soit obtenue.
En revanche, lorsque les anomalies sont très importantes, il est nécessaire de recourir à la chirurgie orthognatique. Cette intervention chirurgicale modifie la taille et la position des mâchoires. On obtient ainsi une relation adéquate entre les structures de la bouche et du visage.
En général, avant et après l’intervention, on complète le traitement par une orthodontie correctrice pour aligner les dents et obtenir une occlusion harmonieuse. Pour cette raison, l’ensemble du processus peut prendre plusieurs années.
En plus de ces options, le traitement de la morsure inversée chez l’adulte peut nécessiter d’autres pratiques complémentaires, telles que les suivantes :
- Extenseurs osseux.
- Reconstruction ou remodelage des dents.
- Extraction dentaire pour résoudre les problèmes d’espace.
Une consultation opportune fait la différence
Enfin, les occlusions croisées peuvent avoir un impact à la fois sur l’esthétique, sur la fonctionnalité et sur la santé de la bouche. Cependant, le problème peut se traiter à n’importe quel stade de la vie. Les approches varieront en complexité et en durée.
L’important est de demander l’aide d’un professionnel le plus tôt possible pour éviter que la malocclusion ne s’aggrave. Votre âge n’a pas d’importance. Consultez votre orthodontiste pour obtenir un diagnostic précis et planifier le traitement le plus approprié pour vous.
Toutes les sources citées ont été examinées en profondeur par notre équipe pour garantir leur qualité, leur fiabilité, leur actualité et leur validité. La bibliographie de cet article a été considérée comme fiable et précise sur le plan académique ou scientifique
- Alsawaf, D. H., Almaasarani, S. G., Hajeer, M. Y., & Rajeh, N. (2022). The effectiveness of the early orthodontic correction of functional unilateral posterior crossbite in the mixed dentition period: a systematic review and meta-analysis. Progress in orthodontics, 23(1), 5. https://link.springer.com/article/10.1186/s40510-022-00398-4
- American Association of Orthodontists. (1 de noviembre de 2019). What is a crossbite?. Consultado el 26 de marzo de 2024. https://aaoinfo.org/whats-trending/what-is-a-crossbite/
- Caroccia, F., Moscagiuri, F., Falconio, L., Festa, F., & D’Attilio, M. (2020). Early orthodontic treatments of unilateral posterior crossbite: a systematic review. Journal of clinical medicine, 10(1), 33. https://www.mdpi.com/2077-0383/10/1/33
- Germa, A., Clément, C., Weissenbach, M., Heude, B., Forhan, A., Martin-Marchand, L., … & Nabet, C. (2016). Early risk factors for posterior crossbite and anterior open bite in the primary dentition. The Angle Orthodontist, 86(5), 832-838. https://meridian.allenpress.com/angle-orthodontist/article-abstract/86/5/832/59337
- Iodice, G., Danzi, G., Cimino, R., Paduano, S., & Michelotti, A. (2016). Association between posterior crossbite, skeletal, and muscle asymmetry: a systematic review. European Journal of Orthodontics, 38(6), 638-651. https://academic.oup.com/ejo/article-abstract/38/6/638/2739003
- Seeberger, R., Gander, E., Hoffmann, J., & Engel, M. (2015). Surgical management of cross-bites in orthognathic surgery: surgically assisted rapid maxillary expansion (SARME) versus two-piece maxilla. Journal of Cranio-Maxillofacial Surgery, 43(7), 1109-1112. https://www.sciencedirect.com/science/article/pii/S1010518215001559
- Urzal, V., Iunes, T., & Pinhão-Ferreira, A. (2023). A new challenge for crossbite treatment. Frontiers in Oral Health, 4, 1235134. https://www.frontiersin.org/articles/10.3389/froh.2023.1235134/full
- Van de Velde, A. S., De Boodt, L., Cadenas de Llano-Pérula, M., Laenen, A., & Willems, G. (2023). Long-term effects of orthodontic interceptive expansion treatment: a retrospective study. Journal of Orofacial Orthopedics/Fortschritte der Kieferorthopädie, 1-10. https://link.springer.com/article/10.1007/s00056-023-00467-1
- Wolford, L. M. (2022). Orthodontics for orthognathic surgery. In Peterson’s principles of Oral and Maxillofacial Surgery (pp. 1801-1824). Cham: Springer International Publishing. https://link.springer.com/chapter/10.1007/978-3-030-91920-7_60
Ce texte est fourni à des fins d'information uniquement et ne remplace pas la consultation d'un professionnel. En cas de doute, consultez votre spécialiste.







