Comment éliminer naturellement le tartre des dents ?

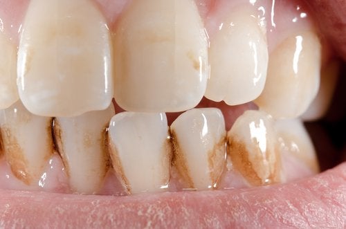
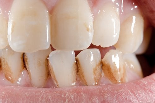
Le tartre des dents ou tartre dentaire correspond au durcissement de la plaque bactérienne dû au dépôt de minéraux. Les dents deviennent jaunâtres ou brunâtres, et à la limite entre les gencives et les dents, les débris peuvent être encore plus foncés, donnant l’impression qu’il s’agit de croûtes.
Que faut-il savoir sur le tartre des dents ?
Au toucher, le tartre est rugueux, et au-delà d’être un problème esthétique, il peut entraîner l’apparition d’autres problèmes de santé. Lorsque le tartre interagit avec certains aliments, comme les sucreries et les aliments frits, il libère un acide qui peut provoquer des caries.
Par ailleurs, certaines habitudes comme le tabagisme, l’alcoolisme et la consommation excessive de café peuvent favoriser l’apparition du tartre. Aussi, certaines personnes ont également une certaine prédisposition génétique à la production de tartre.
Les remèdes maison pour éliminer le tartre des dents
Le meilleur remède contre le tartre est la prévention. De bonnes habitudes d’hygiène dentaire aident à prévenir l’apparition de cette plaque. Les spécialistes recommandent de se brosser les dents après chaque repas, ou au moins 2 fois par jour. De plus, l’utilisation de fil dentaire ou de brossettes interdentaires au moins une fois par jour permet également de prévenir l’apparition du tartre.
En plus de maintenir de bonnes habitudes d’hygiène dentaire, il est important de se rendre régulièrement chez le dentiste pour un nettoyage en profondeur. Vous pouvez également profiter des bienfaits de certains remèdes maison, comme que nous vous proposons ci-dessous.
Bicarbonate de sodium
De nombreuses personnes utilisent du bicarbonate de soude mélangé à du citron ou à du sel pour renforcer leur hygiène dentaire et maintenir la couleur de leurs dents, compte tenu des propriétés de ces ingrédients. Il est recommandé de mélanger également avec un peu d’eau, car la saveur peut être un peu forte. Faites preuve de prudence, car il peut endommager l’émail.

Ingrédients
- 1 cuillère à soupe de bicarbonate de soude (10 g)
- 1 cuillère à café de sel (5 g)
- Eau (quantité nécessaire)
Préparation
- Dans un bol, mélangez le bicarbonate de soude et le sel.
- Faites tremper la brosse à dents dans de l’eau tiède.
- Faites tremper votre brosse à dents dans le mélange de bicarbonate de soude et de sel.
- Brossez vous les dents comme d’habitude, mais essayez de vous concentrer sur les zones où le tartre a tendance à s’accumuler.
- Faites cela au moins 2 fois par jour (matin et soir).
Lisez aussi : Comment nettoyer les serviettes avec du bicarbonate de soude
Le citron, un agrume efficace pour éliminer le tartre des dents
C’est un autre blanchisseur de dents par excellence. De plus, cet agrume possède des propriétés antibactériennes bien utiles lorsqu’il s’agit de lutter contre le tartre.
Après utilisation, rincez bien, car le contact avec le soleil peut provoquer l’apparition de taches sur la peau qui entoure la bouche. Aussi, il est à noter que l’acide citronné peut qui plus est endommager ou affaiblir les dents. Par conséquent, il ne faut pas avoir recours à ce remède plus d’une fois par semaine.
Ingrédients
- ½ citron pour son jus
- ½ tasse d’eau tiède (125 ml)
Préparation
- Remplissez une demi-tasse d’eau tiède et ajoutez le jus de citron.
- Remuez.
- Faites un bain de bouche.
- Rincez à l’eau tiède.
Eau oxygénée
Ce liquide, si courant dans les foyers, aide également à blanchir les dents et à éliminer le tartre. Vous pouvez utiliser ce remède maison jusqu’à trois fois par semaine, toujours comme un bain de bouche, après un brossage de routine.
Ingrédients
- ¼ tasse d’eau tiède (62 ml)
- 2 cuillères à soupe de peroxyde d’hydrogène (20 ml)
Préparation
- Mélangez les ingrédients et remuez.
- Faites un bain de bouche.
- Rincez à l’eau claire.
Graines de sésame
Ces graines sont idéales pour éliminer la saleté accumulée sur les dents. Il suffit de mâcher une cuillérée de graines lentement pendant une ou deux minutes. Recrachez-les ensuite et, à l’aide de votre brosse à dents préalablement humidifiée, brossez-vous les dents. Rincez à l’eau.

Persil
Utilisée dans de nombreuses recettes pour sa saveur, cette herbe aromatique peut également aider à lutter contre l’accumulation de tartre sur les gencives. Découvrez ci-dessous la marche à suivre.
Ingrédients
- 1 poignée de feuilles de persil (20 g)
- 1 cuillère à soupe d’eau (10 ml)
Préparation
- Lavez et hachez finement les feuilles de persil.
- Mélangez les ingrédients pour former une pâte.
- Appliquez la pâte sur les dents et laissez agir pendant environ 5 minutes.
- Rincez abondamment à l’eau tiède.
Lisez aussi : Les graines de sésame et leur apport nutritionnel
Certains fruits aident à éliminer le tartre des dents
Certains fruits ont la capacité de blanchir les dents et d’éliminer le tartre de longue date. Pour que cette méthode fonctionne, vous devez les consommer crus et les croquer, et non les couper avec un couteau.
La pomme, le melon et les fraises sont trois options parfaites pour avoir des gencives saines, éviter l’accumulation de nourriture et prévenir les saignements qui apparaissent lors du brossage. Il est à noter que la pomme doit être consommée avec sa peau pour obtenir l’effet désiré. Vous pouvez frotter les fraises et les tomates directement sur vos dents avant chaque repas.
Par ailleurs, des études récentes montrent que la consommation constante de fruits sur le long terme est associée à une diminution de la formation de tartre. En effet, le fruit favorise l’acidification de la plaque dentaire, empêchant ainsi son accumulation.
Une autre façon de lutter contre le tartre consiste à frotter la partie interne de la peau de certains fruits (orange et banane, par exemple) contre les dents pendant environ 2.3 minutes avant et après avoir mangé. Alors, ne les jetez pas à la poubelle : profitez-en pour prendre soin de vos dents !
Le tartre des dents ou tartre dentaire correspond au durcissement de la plaque bactérienne dû au dépôt de minéraux. Les dents deviennent jaunâtres ou brunâtres, et à la limite entre les gencives et les dents, les débris peuvent être encore plus foncés, donnant l’impression qu’il s’agit de croûtes.
Que faut-il savoir sur le tartre des dents ?
Au toucher, le tartre est rugueux, et au-delà d’être un problème esthétique, il peut entraîner l’apparition d’autres problèmes de santé. Lorsque le tartre interagit avec certains aliments, comme les sucreries et les aliments frits, il libère un acide qui peut provoquer des caries.
Par ailleurs, certaines habitudes comme le tabagisme, l’alcoolisme et la consommation excessive de café peuvent favoriser l’apparition du tartre. Aussi, certaines personnes ont également une certaine prédisposition génétique à la production de tartre.
Les remèdes maison pour éliminer le tartre des dents
Le meilleur remède contre le tartre est la prévention. De bonnes habitudes d’hygiène dentaire aident à prévenir l’apparition de cette plaque. Les spécialistes recommandent de se brosser les dents après chaque repas, ou au moins 2 fois par jour. De plus, l’utilisation de fil dentaire ou de brossettes interdentaires au moins une fois par jour permet également de prévenir l’apparition du tartre.
En plus de maintenir de bonnes habitudes d’hygiène dentaire, il est important de se rendre régulièrement chez le dentiste pour un nettoyage en profondeur. Vous pouvez également profiter des bienfaits de certains remèdes maison, comme que nous vous proposons ci-dessous.
Bicarbonate de sodium
De nombreuses personnes utilisent du bicarbonate de soude mélangé à du citron ou à du sel pour renforcer leur hygiène dentaire et maintenir la couleur de leurs dents, compte tenu des propriétés de ces ingrédients. Il est recommandé de mélanger également avec un peu d’eau, car la saveur peut être un peu forte. Faites preuve de prudence, car il peut endommager l’émail.

Ingrédients
- 1 cuillère à soupe de bicarbonate de soude (10 g)
- 1 cuillère à café de sel (5 g)
- Eau (quantité nécessaire)
Préparation
- Dans un bol, mélangez le bicarbonate de soude et le sel.
- Faites tremper la brosse à dents dans de l’eau tiède.
- Faites tremper votre brosse à dents dans le mélange de bicarbonate de soude et de sel.
- Brossez vous les dents comme d’habitude, mais essayez de vous concentrer sur les zones où le tartre a tendance à s’accumuler.
- Faites cela au moins 2 fois par jour (matin et soir).
Lisez aussi : Comment nettoyer les serviettes avec du bicarbonate de soude
Le citron, un agrume efficace pour éliminer le tartre des dents
C’est un autre blanchisseur de dents par excellence. De plus, cet agrume possède des propriétés antibactériennes bien utiles lorsqu’il s’agit de lutter contre le tartre.
Après utilisation, rincez bien, car le contact avec le soleil peut provoquer l’apparition de taches sur la peau qui entoure la bouche. Aussi, il est à noter que l’acide citronné peut qui plus est endommager ou affaiblir les dents. Par conséquent, il ne faut pas avoir recours à ce remède plus d’une fois par semaine.
Ingrédients
- ½ citron pour son jus
- ½ tasse d’eau tiède (125 ml)
Préparation
- Remplissez une demi-tasse d’eau tiède et ajoutez le jus de citron.
- Remuez.
- Faites un bain de bouche.
- Rincez à l’eau tiède.
Eau oxygénée
Ce liquide, si courant dans les foyers, aide également à blanchir les dents et à éliminer le tartre. Vous pouvez utiliser ce remède maison jusqu’à trois fois par semaine, toujours comme un bain de bouche, après un brossage de routine.
Ingrédients
- ¼ tasse d’eau tiède (62 ml)
- 2 cuillères à soupe de peroxyde d’hydrogène (20 ml)
Préparation
- Mélangez les ingrédients et remuez.
- Faites un bain de bouche.
- Rincez à l’eau claire.
Graines de sésame
Ces graines sont idéales pour éliminer la saleté accumulée sur les dents. Il suffit de mâcher une cuillérée de graines lentement pendant une ou deux minutes. Recrachez-les ensuite et, à l’aide de votre brosse à dents préalablement humidifiée, brossez-vous les dents. Rincez à l’eau.

Persil
Utilisée dans de nombreuses recettes pour sa saveur, cette herbe aromatique peut également aider à lutter contre l’accumulation de tartre sur les gencives. Découvrez ci-dessous la marche à suivre.
Ingrédients
- 1 poignée de feuilles de persil (20 g)
- 1 cuillère à soupe d’eau (10 ml)
Préparation
- Lavez et hachez finement les feuilles de persil.
- Mélangez les ingrédients pour former une pâte.
- Appliquez la pâte sur les dents et laissez agir pendant environ 5 minutes.
- Rincez abondamment à l’eau tiède.
Lisez aussi : Les graines de sésame et leur apport nutritionnel
Certains fruits aident à éliminer le tartre des dents
Certains fruits ont la capacité de blanchir les dents et d’éliminer le tartre de longue date. Pour que cette méthode fonctionne, vous devez les consommer crus et les croquer, et non les couper avec un couteau.
La pomme, le melon et les fraises sont trois options parfaites pour avoir des gencives saines, éviter l’accumulation de nourriture et prévenir les saignements qui apparaissent lors du brossage. Il est à noter que la pomme doit être consommée avec sa peau pour obtenir l’effet désiré. Vous pouvez frotter les fraises et les tomates directement sur vos dents avant chaque repas.
Par ailleurs, des études récentes montrent que la consommation constante de fruits sur le long terme est associée à une diminution de la formation de tartre. En effet, le fruit favorise l’acidification de la plaque dentaire, empêchant ainsi son accumulation.
Une autre façon de lutter contre le tartre consiste à frotter la partie interne de la peau de certains fruits (orange et banane, par exemple) contre les dents pendant environ 2.3 minutes avant et après avoir mangé. Alors, ne les jetez pas à la poubelle : profitez-en pour prendre soin de vos dents !
Toutes les sources citées ont été examinées en profondeur par notre équipe pour garantir leur qualité, leur fiabilité, leur actualité et leur validité. La bibliographie de cet article a été considérée comme fiable et précise sur le plan académique ou scientifique
- Al‐Hashedi, A. A., Dubreuil, N., Schwinghamer, T., Dorzhiyeva, S., Anweigi, L., Emami, E., & Tamimi, F. (2022). Aragonite toothpaste for management of dental calculus: A double‐blinded randomized controlled clinical trial. Clinical and Experimental Dental Research, 8(4), 863-874. https://onlinelibrary.wiley.com/doi/abs/10.1002/cre2.559
- American Dental Association (ADA). (2021). Floss/Interdental Cleaners. https://www.ada.org/resources/ada-library/oral-health-topics/floss/
- Benahmed, A. G., Gasmi, A., Dadar, M., Arshad, M., & Bjørklund, G. (2021). The role of sugar-rich diet and salivary proteins in dental plaque formation and oral health. Journal of oral biosciences, 63(2), 134-141. https://www.sciencedirect.com/science/article/pii/S1349007921000116
- Brooks, J. K., Bashirelahi, N., & Reynolds, M. A. (2017). Charcoal and charcoal-based dentifrices: A literature review. The Journal of the American Dental Association, 148(9), 661-670. https://www.sciencedirect.com/science/article/pii/S0002817717304129
- Deus, F. P., & Ouanounou, A. (2022). Chlorhexidine in dentistry: pharmacology, uses, and adverse effects. International dental journal, 72(3), 269-277. https://www.sciencedirect.com/science/article/pii/S0020653922000259
- Duane, B., Yap, T., Neelakantan, P., Anthonappa, R., Bescos, R., McGrath, C., … & Brookes, Z. (2023). Mouthwashes: alternatives and future directions. international dental journal. https://www.sciencedirect.com/science/article/pii/S0020653923004574
- James, P., Worthington, H. V., Parnell, C., Harding, M., Lamont, T., Cheung, A., … & Riley, P. (2017). Chlorhexidine mouthrinse as an adjunctive treatment for gingival health. Cochrane Database of Systematic Reviews, (3). https://www.cochranelibrary.com/cdsr/doi/10.1002/14651858.CD008676.pub2/abstract
- Myneni, S. R. (2017). Effect of baking soda in dentifrices on plaque removal. The Journal of the American Dental Association, 148(11), S4-S9. https://www.sciencedirect.com/science/article/pii/S0002817717308097
- Pandiyan, I., Rathinavelu, P. K., Arumugham, M. I., Srisakthi, D., & Balasubramaniam, A. (2022). Efficacy of Chitosan and Chlorhexidine Mouthwash on Dental Plaque and Gingival inflammation: a systematic review. Cureus, 14(3). https://www.ncbi.nlm.nih.gov/pmc/articles/PMC9014838/
- Peedikayil, F. C., Sreenivasan, P., & Narayanan, A. (2015). Effect of coconut oil in plaque related gingivitis—A preliminary report. Nigerian Medical Journal, 56(2), 143-147. https://journals.lww.com/nimj/fulltext/2015/56020/effect_of_coconut_oil_in_plaque_related_gingivitis.12.aspx
- Polatoglu, S. (s.f.) Toothpaste: overview. International Research in Dentistry. ISBN: 978-625-6971-22-6. https://www.researchgate.net/profile/Selin-Polatoglu/publication/369594309_toothpaste/links/6423eed5a1b72772e43503f1/toothpaste.pdf
- Ren, X., He, J., Cheng, R., Chen, Y., Xiang, Y., Zhang, Y., … & Hu, T. (2023). The efficacy and safety of oral irrigator on the control of dental plaque and gingivitis: a randomized, single-blind, parallel-group clinical trial. International Journal of Environmental Research and Public Health, 20(4), 3726. https://www.mdpi.com/1660-4601/20/4/3726
- Ruiz, M. A., de Souza Miola, L., Hori, G. M. R., & Catelan, A. (2021). Whitening effect of brushing with activated charcoal-based products on enamel: Integrative review. Research, Society and Development, 10(15), e259101522809-e259101522809. https://rsdjournal.org/index.php/rsd/article/view/22809
- Van der Weijden, F. A., & Slot, D. E. (2015). Efficacy of homecare regimens for mechanical plaque removal in managing gingivitis a meta review. Journal of clinical periodontology, 42, S77-S91. https://onlinelibrary.wiley.com/doi/abs/10.1111/jcpe.12359
- Zotarelli Filho, I. J. (2016). Influence of smok factors. International Journal of Current Research, 8(0). https://scholar.googleusercontent.com/scholar?q=cache:oF956BduwB0J:scholar.google.com/+INFLUENCE+OF+SMOKING+IN+CLINICAL+PRESEWITH+OTHER+CARDI1&hl=es&as_sdt=0,5&as_ylo=2016&as_yhi=2024
Ce texte est fourni à des fins d'information uniquement et ne remplace pas la consultation d'un professionnel. En cas de doute, consultez votre spécialiste.







