Fluor : comment aide-t-il à prévenir les caries ?


Rédigé et vérifié par la dentiste Vanesa Evangelina Buffa
On a établi depuis longtemps que le fluor aidait à prévenir les caries. Avec un bon brossage des dents et un contrôle de l’alimentation, se servir de cet élément est l’un des aspects les plus importants pour protéger les dents de cette maladie.
Mais savez-vous comment intégrer ce minéral ? Comment et quand l’utiliser ? Ou si son usage peut être nocif dans certains cas ? Éclaircir ces doutes est important. Nous allons donc vous en dire plus à ce sujet.
Qu’est-ce que le fluor ?
Le fluor est un minéral naturel qui est présent sur la surface terrestre, dans des réservoirs d’eau et dans certains aliments. On peut en trouver dans des produits du règne animal, comme le saumon, les sardines et le foie ; ou du règne végétal, comme le thé, la tomate, la pomme de terre et les épinards.
En plus de son incorporation à partir de sources naturelles, ce minéral s’ajoute dans plusieurs produits en tant que supplément. Étant donné qu’il a été démontré que le fluor dentaire contribuait à la prévention des caries, certaines communautés s’en servent dans les réseaux d’eau pour diminuer l’impact de cette maladie. De cette façon, l’eau arrive fluorée, comme les sels et les laits.
Entres autres choses, on peut le trouver dans des produits de soin dentaire, comme les dentifrices, les bains de bouche et les fils dentaires. Il se trouve aussi dans des matériaux utilisés par les odontologues dans leur cabinet pour prévenir et traiter la maladie.
Le corps humain dispose de mécanismes métaboliques qui régulent et contrôlent l’absorption, l’utilisation et l’excrétion de cet élément. La plus grande partie du fluor s’arrête au niveau des os et des dents ; et une petite partie dans les tissus mous. L’excédent est éliminé à travers l’urine et, dans de plus faibles quantités, à travers la transpiration et les selles.

Le fluor est un minéral utile dans la prévention et le traitement des caries. Il est présent dans les dentifrices, les suppléments, les réservoirs d’eau et les aliments.
Que sont les caries ?
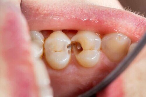
Les caries touchent aussi bien les enfants que les adultes. Plus concrètement, il s’agit d’une pathologie infectieuse qui affecte les minéraux des surfaces dentaires. Les micro-organismes de la bouche métabolisent les sucres présents dans les aliments et produisent des acides capables d’attaquer le composant inorganique des dents.
Les tissus durs se déminéralisent. Au fur et à mesure que cette déminéralisation progresse, les dents perdent leur structure. Quand le processus carieux commence, on peut observer une tache de couleur blanc opaque qui devient plus foncée au fur et à mesure que la lésion s’étend.
Si on ne la traite pas et si la déminéralisation continue, les cavités ou creux dans les dents apparaissent et deviennent de plus en plus grands et profonds. Ensuite, la surface des dents se ramollit et la lésion peut affecter la zone de la pulpe. Ceci donne lieu à l’apparition d’une symptomatologie douloureuse ou à des processus infectieux.
Ceci peut vous intéresser : Les bactéries qui causent des caries
Comment le fluor peut-il aider à prévenir les caries ?
Le fluor aide à prévenir les caries à travers deux mécanismes d’action principaux :
- D’un côté, l’élément se combine chimiquement aux cristaux de l’email, ce qui transforme l’hydroxyapatite en fluorapatite, qui est plus résistante à la décalcification. Cette réaction n’est ni définitive, ni stable : l’exposition fréquente au minéral est donc importante.
- De l’autre côté, la présence de l’élément dans le milieu buccal réduit le métabolisme des bactéries de la plaque. Cela fait diminuer la production des acides responsables de la déminéralisation des dents. Par ailleurs, le fluor inhibe l’adhésion des micro-organismes entre eux, ce qui complique l’agrégation et l’accumulation de cette pellicule si nocive.
L’incorporation du fluor dans l’organisme peut se faire à travers deux voies principales. L’une est la systémique, par laquelle le minéral entre à travers l’ingestion d’eau fluorée, d’aliments ou de suppléments qui en contiendraient. Il se répartit dans l’organisme à travers le flux sanguin et se dépose sur les structures dentaires en formation.
L’action du fluor par cette voie est importante quand les dents se développent chez les bébés et les jeunes enfants. En effet, il se combine aux cristaux de l’email et crée un tissu beaucoup plus résistant aux caries.
L’autre voie est la voie locale, quand le minéral se place sur les surfaces dentaires une fois que les dents sont déjà sorties et sont dans la bouche. Le fluor atteint cette dernière à travers les dentifrices, les bains de bouche ou les fils dentaires qui en contiennent, ou à travers des vernis ou des gels que l’odontologue applique lors d’une consultation.
Il convient de souligner que le fluor a aussi une action thérapeutique au début de la maladie car il est capable de reminéraliser l’email quand plusieurs minéraux ont disparu.
Dangers de l’utilisation excessive du fluor
L’excès de fluor peut être nocif. Son effet sur les dents dépend en grande mesure de sa concentration. Ainsi, s’il y en a en petites quantités, son action est bénéfique, mais s’il y en a trop, des effets secondaires apparaissent, comme l’endommagement des dents.
La fluorose est l’altération qui se produit à cause de l’exposition exagérée au fluor lors de la formation des dents. Avec cette maladie, les dents apparaissent tachées, avec des lignes blanches ou marrons. L’email est abimé et peut avoir des petits trous ou des déformations dans les cas les plus graves.
En général, les communautés ont tendance à fluorer les réseaux d’eau pour diminuer la prévalence de caries au sein de la population, à travers l’utilisation de concentrations sûres. Dans ces cas, l’incorporation de fluor systémique à travers des suppléments n’est pas nécessaire.
La concentration optimale de fluor dans les eaux de consommation est de 0,7 à 1,2 milligrammes par litre (mg/L). Ces valeurs et l’utilisation des dentifrices fluorés habituels – qui apportent des niveaux de fluor de l’ordre de 1000 à 1200 parties par million (ppm) – suffisent pour protéger la bouche contre la maladie, sans courir de risques.
Si les eaux de boisson ne contiennent pas de fluor, l’odontologue peut suggérer la prise de suppléments avec le minéral, surtout pendant l’enfance, lorsque les dents se forment. La quantité et la manière de l’utiliser seront spécifiées par le professionnel, selon l’âge de l’enfant et le risque de caries qu’il présente.
Par ailleurs, si le dentiste le juge nécessaire, il peut aussi recommander l’utilisation de dentifrices avec un plus grand pourcentage de fluor ou des bains de bouche qui contiennent ce minéral.
Découvrez aussi : Principaux problèmes dentaires chez les enfants
Autres conseils pour éviter les caries
S’il est vrai que le fluor aide à prévenir les caries, ce n’est pas le seul facteur à prendre en compte au moment de veiller à sa santé buccale. Nous allons vous énumérer d’autres pratiques qui aident à éviter l’apparition de cette maladie.
- Brossage des dents : nettoyer toutes les faces de toutes les dents est fondamental pour éliminer la plaque dentaire qui crée la maladie. On doit le faire au moins deux fois par jour, avec une brosse à poils doux et du dentifrice fluoré.
- Fil dentaire : il est nécessaire pour compléter l’hygiène dentaire et atteindre les zones entre les dents que la brosse ne parvient pas à nettoyer. On doit l’utiliser au moins une fois par jour. Le nettoyage de ces parties difficiles d’accès peut aussi se faire avec des brossettes interdentaires et des irrigateurs.
- Alimentation équilibrée : se nourrir de façon adéquate et limiter la consommation de sucres simples, de produits ultratransformés et de sodas aide à prévenir les caries.
- Mâcher des chewing-gum sans sucre : cette pratique favorise l’auto-nettoyage grâce à la production de salive qui se génère lors de la mastication. Par ailleurs, les chewing-gums se composent généralement de substituts de sucre comme le xylitol, qui aide à prévenir les caries.
- Consulter fréquemment son dentiste : les contrôles odontologiques périodiques permettent de détecter et de traiter n’importe quel problème à temps. Les nettoyages professionnels et les applications de fluor lors de la consultation sont un renforcement extra qui protège la dentition.
- Scellants dentaires : l’odontologue place une matière spéciale sur les surfaces de rétention des dents. De cette façon, il est plus facile de les nettoyer et on évite l’accumulation de bactéries dans des zones difficiles à brosser.
- Résoudre la sécheresse buccale : les patients qui sont atteints de xérostomie ou de sécheresse buccale doivent s’hydrater fréquemment et utiliser des substituts de salive pour contrecarrer cet effet qui favorise les caries.
- Traiter les maladies qui diminuent le pH buccal : il faut identifier et traiter des maladies comme la boulimie, l’anorexie nerveuse et le reflux gastro-œsophagien, associées aux caries.

La prévention des caries se fait aussi à travers une bonne hygiène dentaire et des visites périodiques chez l’odontologue.
Suivre les recommandations de l’odontologue
Le fluor aide à prévenir les caries et on doit tirer profit de ce bénéfice pour prendre soin de sa santé dentaire. Quoi qu’il en soit, même si ce n’est pas si fréquent, l’excès de consommation de ce minéral, surtout quand les dents sont en train de se former, peut être nocif.
Par conséquent, l’idéal au moment d’utiliser des produits pour le soin de la bouche et pour la prévention des caries est de consulter l’odontologue. Le professionnel pourra évaluer les conditions particulières de la cavité orale, les habitudes du patient, la présence ou non de fluor dans l’eau pour recommander les produits idéaux. Il vous expliquera aussi comment les utiliser et pendant combien de temps.
Ainsi, consulter fréquemment son dentiste est la meilleure façon de protéger votre bouche. Discuter de vos inquiétudes par rapport à l’utilisation du fluor avec le professionnel et écouter ses conseils vous permettra d’afficher un sourire parfaitement sain.
On a établi depuis longtemps que le fluor aidait à prévenir les caries. Avec un bon brossage des dents et un contrôle de l’alimentation, se servir de cet élément est l’un des aspects les plus importants pour protéger les dents de cette maladie.
Mais savez-vous comment intégrer ce minéral ? Comment et quand l’utiliser ? Ou si son usage peut être nocif dans certains cas ? Éclaircir ces doutes est important. Nous allons donc vous en dire plus à ce sujet.
Qu’est-ce que le fluor ?
Le fluor est un minéral naturel qui est présent sur la surface terrestre, dans des réservoirs d’eau et dans certains aliments. On peut en trouver dans des produits du règne animal, comme le saumon, les sardines et le foie ; ou du règne végétal, comme le thé, la tomate, la pomme de terre et les épinards.
En plus de son incorporation à partir de sources naturelles, ce minéral s’ajoute dans plusieurs produits en tant que supplément. Étant donné qu’il a été démontré que le fluor dentaire contribuait à la prévention des caries, certaines communautés s’en servent dans les réseaux d’eau pour diminuer l’impact de cette maladie. De cette façon, l’eau arrive fluorée, comme les sels et les laits.
Entres autres choses, on peut le trouver dans des produits de soin dentaire, comme les dentifrices, les bains de bouche et les fils dentaires. Il se trouve aussi dans des matériaux utilisés par les odontologues dans leur cabinet pour prévenir et traiter la maladie.
Le corps humain dispose de mécanismes métaboliques qui régulent et contrôlent l’absorption, l’utilisation et l’excrétion de cet élément. La plus grande partie du fluor s’arrête au niveau des os et des dents ; et une petite partie dans les tissus mous. L’excédent est éliminé à travers l’urine et, dans de plus faibles quantités, à travers la transpiration et les selles.

Le fluor est un minéral utile dans la prévention et le traitement des caries. Il est présent dans les dentifrices, les suppléments, les réservoirs d’eau et les aliments.
Que sont les caries ?
Les caries touchent aussi bien les enfants que les adultes. Plus concrètement, il s’agit d’une pathologie infectieuse qui affecte les minéraux des surfaces dentaires. Les micro-organismes de la bouche métabolisent les sucres présents dans les aliments et produisent des acides capables d’attaquer le composant inorganique des dents.
Les tissus durs se déminéralisent. Au fur et à mesure que cette déminéralisation progresse, les dents perdent leur structure. Quand le processus carieux commence, on peut observer une tache de couleur blanc opaque qui devient plus foncée au fur et à mesure que la lésion s’étend.
Si on ne la traite pas et si la déminéralisation continue, les cavités ou creux dans les dents apparaissent et deviennent de plus en plus grands et profonds. Ensuite, la surface des dents se ramollit et la lésion peut affecter la zone de la pulpe. Ceci donne lieu à l’apparition d’une symptomatologie douloureuse ou à des processus infectieux.
Ceci peut vous intéresser : Les bactéries qui causent des caries
Comment le fluor peut-il aider à prévenir les caries ?
Le fluor aide à prévenir les caries à travers deux mécanismes d’action principaux :
- D’un côté, l’élément se combine chimiquement aux cristaux de l’email, ce qui transforme l’hydroxyapatite en fluorapatite, qui est plus résistante à la décalcification. Cette réaction n’est ni définitive, ni stable : l’exposition fréquente au minéral est donc importante.
- De l’autre côté, la présence de l’élément dans le milieu buccal réduit le métabolisme des bactéries de la plaque. Cela fait diminuer la production des acides responsables de la déminéralisation des dents. Par ailleurs, le fluor inhibe l’adhésion des micro-organismes entre eux, ce qui complique l’agrégation et l’accumulation de cette pellicule si nocive.
L’incorporation du fluor dans l’organisme peut se faire à travers deux voies principales. L’une est la systémique, par laquelle le minéral entre à travers l’ingestion d’eau fluorée, d’aliments ou de suppléments qui en contiendraient. Il se répartit dans l’organisme à travers le flux sanguin et se dépose sur les structures dentaires en formation.
L’action du fluor par cette voie est importante quand les dents se développent chez les bébés et les jeunes enfants. En effet, il se combine aux cristaux de l’email et crée un tissu beaucoup plus résistant aux caries.
L’autre voie est la voie locale, quand le minéral se place sur les surfaces dentaires une fois que les dents sont déjà sorties et sont dans la bouche. Le fluor atteint cette dernière à travers les dentifrices, les bains de bouche ou les fils dentaires qui en contiennent, ou à travers des vernis ou des gels que l’odontologue applique lors d’une consultation.
Il convient de souligner que le fluor a aussi une action thérapeutique au début de la maladie car il est capable de reminéraliser l’email quand plusieurs minéraux ont disparu.
Dangers de l’utilisation excessive du fluor
L’excès de fluor peut être nocif. Son effet sur les dents dépend en grande mesure de sa concentration. Ainsi, s’il y en a en petites quantités, son action est bénéfique, mais s’il y en a trop, des effets secondaires apparaissent, comme l’endommagement des dents.
La fluorose est l’altération qui se produit à cause de l’exposition exagérée au fluor lors de la formation des dents. Avec cette maladie, les dents apparaissent tachées, avec des lignes blanches ou marrons. L’email est abimé et peut avoir des petits trous ou des déformations dans les cas les plus graves.
En général, les communautés ont tendance à fluorer les réseaux d’eau pour diminuer la prévalence de caries au sein de la population, à travers l’utilisation de concentrations sûres. Dans ces cas, l’incorporation de fluor systémique à travers des suppléments n’est pas nécessaire.
La concentration optimale de fluor dans les eaux de consommation est de 0,7 à 1,2 milligrammes par litre (mg/L). Ces valeurs et l’utilisation des dentifrices fluorés habituels – qui apportent des niveaux de fluor de l’ordre de 1000 à 1200 parties par million (ppm) – suffisent pour protéger la bouche contre la maladie, sans courir de risques.
Si les eaux de boisson ne contiennent pas de fluor, l’odontologue peut suggérer la prise de suppléments avec le minéral, surtout pendant l’enfance, lorsque les dents se forment. La quantité et la manière de l’utiliser seront spécifiées par le professionnel, selon l’âge de l’enfant et le risque de caries qu’il présente.
Par ailleurs, si le dentiste le juge nécessaire, il peut aussi recommander l’utilisation de dentifrices avec un plus grand pourcentage de fluor ou des bains de bouche qui contiennent ce minéral.
Découvrez aussi : Principaux problèmes dentaires chez les enfants
Autres conseils pour éviter les caries
S’il est vrai que le fluor aide à prévenir les caries, ce n’est pas le seul facteur à prendre en compte au moment de veiller à sa santé buccale. Nous allons vous énumérer d’autres pratiques qui aident à éviter l’apparition de cette maladie.
- Brossage des dents : nettoyer toutes les faces de toutes les dents est fondamental pour éliminer la plaque dentaire qui crée la maladie. On doit le faire au moins deux fois par jour, avec une brosse à poils doux et du dentifrice fluoré.
- Fil dentaire : il est nécessaire pour compléter l’hygiène dentaire et atteindre les zones entre les dents que la brosse ne parvient pas à nettoyer. On doit l’utiliser au moins une fois par jour. Le nettoyage de ces parties difficiles d’accès peut aussi se faire avec des brossettes interdentaires et des irrigateurs.
- Alimentation équilibrée : se nourrir de façon adéquate et limiter la consommation de sucres simples, de produits ultratransformés et de sodas aide à prévenir les caries.
- Mâcher des chewing-gum sans sucre : cette pratique favorise l’auto-nettoyage grâce à la production de salive qui se génère lors de la mastication. Par ailleurs, les chewing-gums se composent généralement de substituts de sucre comme le xylitol, qui aide à prévenir les caries.
- Consulter fréquemment son dentiste : les contrôles odontologiques périodiques permettent de détecter et de traiter n’importe quel problème à temps. Les nettoyages professionnels et les applications de fluor lors de la consultation sont un renforcement extra qui protège la dentition.
- Scellants dentaires : l’odontologue place une matière spéciale sur les surfaces de rétention des dents. De cette façon, il est plus facile de les nettoyer et on évite l’accumulation de bactéries dans des zones difficiles à brosser.
- Résoudre la sécheresse buccale : les patients qui sont atteints de xérostomie ou de sécheresse buccale doivent s’hydrater fréquemment et utiliser des substituts de salive pour contrecarrer cet effet qui favorise les caries.
- Traiter les maladies qui diminuent le pH buccal : il faut identifier et traiter des maladies comme la boulimie, l’anorexie nerveuse et le reflux gastro-œsophagien, associées aux caries.

La prévention des caries se fait aussi à travers une bonne hygiène dentaire et des visites périodiques chez l’odontologue.
Suivre les recommandations de l’odontologue
Le fluor aide à prévenir les caries et on doit tirer profit de ce bénéfice pour prendre soin de sa santé dentaire. Quoi qu’il en soit, même si ce n’est pas si fréquent, l’excès de consommation de ce minéral, surtout quand les dents sont en train de se former, peut être nocif.
Par conséquent, l’idéal au moment d’utiliser des produits pour le soin de la bouche et pour la prévention des caries est de consulter l’odontologue. Le professionnel pourra évaluer les conditions particulières de la cavité orale, les habitudes du patient, la présence ou non de fluor dans l’eau pour recommander les produits idéaux. Il vous expliquera aussi comment les utiliser et pendant combien de temps.
Ainsi, consulter fréquemment son dentiste est la meilleure façon de protéger votre bouche. Discuter de vos inquiétudes par rapport à l’utilisation du fluor avec le professionnel et écouter ses conseils vous permettra d’afficher un sourire parfaitement sain.
Toutes les sources citées ont été examinées en profondeur par notre équipe pour garantir leur qualité, leur fiabilité, leur actualité et leur validité. La bibliographie de cet article a été considérée comme fiable et précise sur le plan académique ou scientifique
- Guerrero-Concepción, Alexander, and Roger Domínguez-Guerrero. “Fluorosis dental y su prevención en la atención primaria de salud.” Revista Electrónica Dr. Zoilo E. Marinello Vidaurreta 43.3 (2018).
- JUDITH, ARJONA SERRANO. “PREVENCION DE FLUOROSIS DENTAL.” (2019).
- Brandt, Lorenna Mendes Temóteo, et al. “Relationship between risk behavior for eating disorders and dental caries and dental erosion.” The Scientific World Journal 2017 (2017).
- Lovón, Whashington E., and Rildo P. Tapia. “Tratamiento manifestaciones Clínicas Bucales de la Anorexia y Bulimia.” (2019).
- Palma-Portaro, Camila, et al. “Recomendaciones basadas en la evidencia para la prevención de caries en infantes.” Revista Odontología Pediátrica 16.2 (2017): 51-64.
- González Sanz, Ángel Miguel, Blanca Aurora González Nieto, and Esther González Nieto. “Salud dental: relación entre la caries dental y el consumo de alimentos.” Nutrición hospitalaria 28 (2013): 64-71.
- Duque de Estrada Riverón, Johany, José Alberto Pérez Quiñonez, and Iliana Hidalgo-Gato Fuentes. “Caries dental y ecología bucal, aspectos importantes a considerar.” Revista cubana de estomatología 43.1 (2006): 0-0.
- Villacís Lascano, Estela Cleofé, Catalina Del Rosario Boada Zurita, and Carlos Iván Aguirre Pinos. “El flúor en la reducción del índice de caries en niños de etapa escolar.” Dilemas Contemporáneos: Educación, Política y Valores 7 (2020).
- Bustamante, Omayra Cova, et al. “ANTISÉPTICOS ORALES: CLORHEXIDINA, FLÚOR Y TRICLOSÁN.” Salud & Vida Sipanense 7.1 (2020): 4-16.
- Miñana, Vitoria. “El flúor oral para la prevención de caries,¿ cómo, cuándo ya quién?.” Form Act Pediatr Aten Prim 5.2 (2012): 108-13.
- Nieto Maya, Gregory Jesús. Efectividad del barniz de flúor en lesiones iniciales de caries en el periodo 2018-2020. BS thesis. Universidad de Guayaquil. Facultad Piloto de Odontología, 2020.
- Cabello Marquez, Juan José. “EFICACIA DEL USO TOPICO DE FLUOR PARA LA PREVENCIÓN DE CARIES DENTAL EN NIÑOS DE 6 AÑOS DEL CENTRO POBLADO SANTA ROSA DE SIRABAMBA, HUANUCO 2018.” (2019).
Ce texte est fourni à des fins d'information uniquement et ne remplace pas la consultation d'un professionnel. En cas de doute, consultez votre spécialiste.







