Traumatisme dentaire : de quoi s'agit-il et quels types existe-t-il ?


Rédigé et vérifié par la dentiste Vanesa Evangelina Buffa
Les traumatismes dentaires sont très fréquents pendant l’enfance et l’adolescence, bien qu’ils puissent également survenir chez les adultes. Après les caries, le traumatisme dentaire est le deuxième motif de consultation dentaire.
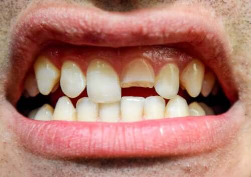
Il s’agit d’une blessure aux dents et aux tissus qui les entourent à la suite d’un impact ou d’un coup sur celles-ci. Cela génère des problèmes esthétiques, de mastication et d’élocution chez la personne qui en souffre. Agir avec urgence et détermination au moment du traumatisme dentaire améliore le pronostic de la situation.
Dans cet article, nous vous expliquerons pourquoi ces blessures surviennent, quels types existent et comment elles sont traitées. Mais également ce que vous pouvez faire pour réduire le risque de coups à la bouche.
Facteurs de risque de traumatisme dentaire
Un coup à la bouche qui provoque un traumatisme dentaire peut survenir à tout moment et à tout âge. Mais il y a des facteurs qui les rendent plus fréquents dans certaines circonstances :
- Début de la marche. Lorsque l’enfant apprend à se déplacer seul, il ne maîtrise toujours pas totalement son équilibre et les chutes sont fréquentes. Se cogner la bouche contre des meubles bas, trébucher sur des tapis ou d’autres objets et tomber sont autant de situations qui peuvent causer des traumatismes dentaires.
- Jeux d’enfants. Jouer brutalement, lancer des objets, tomber des balançoires, des vélos, des patins et des planches à roulettes.
- Sports. La pratique de certains sports, notamment ceux de contact, prédispose aux blessures aux dents.
- Accidents de voiture. C’est une cause qui peut entraîner des traumatismes dentaires à tout âge.
- Abus physique. Les coups portés à la bouche par un agresseur peuvent provoquer des traumatismes dentaires. La bibliographie considère la maltraitance des enfants comme une cause de blessures aux dents des enfants.
- Les bagarres. Les bagarres avec agressions physiques sont également un facteur prédisposant aux blessures dentaires.
- Conditions médicales. Les patients qui ont des problèmes de mobilité, d’épilepsie, d’inattention ou d’hyperactivité sont plus à risque de se cogner la bouche.
- Dépendances. Les personnes ayant des problèmes d’alcoolisme et de toxicomanie ont également plus de chances de subir un traumatisme dentaire.
- Affections buccales. La morphologie faciale et buccale rend certains patients plus à risque de se blesser les dents lorsqu’ils subissent un coup. Certaines malocclusions, dont les incisives supérieures sont sorties du fait de la succion du doigt, de l’utilisation prolongée de la tétine ou du biberon, de la respiration buccale ou d’une lèvre courte favorisent des lésions plus fréquentes de ces parties.
Cela peut vous intéresser : Qu’est-ce que le bruxisme et comment le détecter ?
Types de traumatisme dentaire
Les traumatismes dentaires peuvent se manifester de différentes manières, affecter différents tissus et avoir divers degrés de gravité. De plus, les traumatismes peuvent être temporaires ou permanentes. Le traitement à effectuer en dépendra.
Les différents types de traumatismes dentaires sont différenciés ci-dessous, en fonction des tissus touchés.
Blessure à la couronne dentaire
Ici, la blessure concerne la partie visible de la dent. Selon les tissus touchés, les types de fractures de la couronne suivants peuvent être distingués :
- Incomplète ou atteinte de l’émail. Le trait de fracture n’atteint pas ou s’arrête à la jonction amélodentinaire. Par conséquent, il ne compromet que l’émail, sans impliquer la dentine. Cela ressemble à une fissure dans l’émail et il n’y a pas de perte de tissu dentaire, ils sont donc difficiles à voir à l’œil nu. Un dentiste pourra les diagnostiquer par transillumination et les traiter en temps opportun.
- Coronaire ou amélodentinaire non compliquée sans atteinte pulpaire. Dans ce cas il y a perte de tissus dentaires et la lésion ne concerne que l’émail ou l’émail et la dentine, mais sans exposer la pulpe.
- Artère coronaire compliquée ou amélodentinaire avec atteinte pulpaire. La perte tissulaire concerne à la fois l’émail et la dentine et est suffisamment profonde pour exposer le tissu pulpaire.

Traumatisme de la racine de la dent
Dans ces cas, la zone de la racine dentaire qui se trouve dans l’os est compromise par le traumatisme. Deux types sont distingués selon le secteur dans lequel le dommage survient :
- Fracture radiculaire intraalvéolaire. Dans ces cas, la fracture se produit dans la zone de la racine dentaire et peut être située dans le tiers coronal, moyen ou apical de celle-ci. Ils peuvent être horizontaux ou verticaux.
- Fracture de la couronne. La fracture implique à la fois la couronne et la racine de la dent. Il peut y avoir ou non une exposition pulpaire et les tissus impliqués sont l’émail, la dentine et le ciment radiculaire.
Traumatisme des tissus parodontaux
Les bosses dans la bouche peuvent également affecter les tissus qui protègent et soutiennent les dents. Voici les conditions du tissu parodontal :
- Subluxation. Les fibres parodontales qui soutiennent la dent sont endommagées, mais la dent reste dans sa position habituelle, à l’intérieur de l’alvéole. Il n’y a pas de déplacement de l’élément dentaire, mais il y a mobilité et saignement de l’intérieur.
- Luxation latérale. Le tissu parodontal est également endommagé et la dent montre de la mobilité, mais en plus, elle avance ou recule. Dans ces cas, l’os alvéolaire est également généralement fracturé.
- Extrusion. Les dommages au parodonte provoquent le desserrage et le déplacement partiel de la dent hors de l’alvéole. Elle fait saillie au niveau de la ligne d’occlusion par rapport aux dents voisines.
- Intrusion. L’élément dentaire se déplace apicalement, dans l’os alvéolaire. La dent est considérée comme enfoncée dans le tissu osseux. Les dommages impliquent la ligature parodontale et le ciment radiculaire. L’alvéole est généralement fracturée et l’apport neurovasculaire de la pulpe est interrompu.
- Avulsion dentaire. C’est la situation clinique la plus complexe et la plus grave. Ici, la dent est complètement expulsée de son alvéole. Parfois, elle est même jetée hors de la bouche. Lorsque cela se produit pour une dent permanente, l’idéal est de retrouver la dent et de la placer dans un environnement adapté pour aller en urgence chez le dentiste, afin qu’elle puisse être réimplantée dans la bouche.
Traumatisme osseux
Les dommages à la bouche peuvent fracturer l’os alvéolaire. La blessure ne concerne que le tissu osseux ou est associée à l’une des autres blessures que nous avons déjà mentionnées. Les dents présentant des fractures alvéolaires se déplacent généralement en bloc avec tous les tissus environnants. Il existe des accidents plus graves dans lesquels la mâchoire ou les os du visage sont compromis.
Diagnostic et traitements des traumatismes dentaires
Si vous souffrez d’un traumatisme dentaire, comme indiqué plus tôt, vous devrez aller chez le dentiste de toute urgence. Traiter les blessures immédiatement améliore grandement le pronostic de la situation et favorise la réussite des approches.
Le professionnel examinera et palpera la zone touchée, prendra des radiographies, évaluera les tissus mous et durs, analysera la mobilité dentaire, sa vitalité et déterminera le meilleur traitement pour chaque cas particulier.
Le traitement de choix dépendra également du fait qu’il s’agisse de dents temporaires ou permanentes. Certaines des thérapies qui peuvent être nécessaires sont les suivantes.
Traitement des tissus mous
Un coup à la bouche n’affecte pas seulement les dents. Il est également fréquent que les tissus mous tels que les lèvres, la langue et les joues soient blessés.
Le dentiste, lors de la réception du patient, examinera toutes les parties impliquées. Les tissus de la bouche saignent facilement et abondamment, de sorte que le professionnel nettoiera et appliquera une pression pour arrêter le saignement. Dans certains cas, quelques points de suture peuvent être nécessaires.
Sujets fluorés
Lorsqu’un traumatisme dentaire n’affecte que l’émail, les bords de la zone touchée sont polis pour éviter les frottements avec les tissus mous. De plus, le tissu adamantin est protégé en plaçant du fluorure sur la surface de la dent.
Reconstitution de la couronne
Si un traumatisme dentaire a causé la perte de tissu de la couronne dentaire, elle doit être reconstruite. Elle est réalisée sur les dents primaires et permanentes.
En général, les obturations faites de matériaux esthétiques sont utilisées pour restaurer la forme et l’anatomie perdues de la dent. Dans les cas où le patient apporte le fragment de la dent cassée, et s’il est permanent, on peut tenter de le faire adhérer à l’élément fracturé.
Protections pulpaires et canaux radiculaires
Lorsque la fracture compromet non seulement l’émail et la dentine, mais aussi la pulpe, elle doit être traitée d’une manière particulière. Le type de traitement dépendra de la dentition (temporaire ou permanente), de l’étendue de la fracture et, dans le cas des dents permanentes, si l’apex radiculaire est ouvert ou déjà fermé.
Pour les dents provisoires, le temps pendant lequel la dent en bouche doit être évaluée. Si la perte est imminente, il est préférable de retirer le morceau et d’attendre l’éruption de la dent permanente. Si, en revanche, il y a un long délai avant le remplacement dentaire, une protection pulpaire est réalisée pour préserver la dent.
Dans le cas des dents permanentes, si l’extrémité de la racine n’est pas encore formée, des substances spéciales sont placées pour aider à la fermeture apicale. Si au contraire la dent a été complètement formée, une endodontie ou un traitement canalaire est effectué.
La couronne est ensuite reconstruite pour restituer l’anatomie perdue de la dent. Elle peut être réalisée à l’aide de couronnes dentaires lorsque la perte de tissus a été très importante.
Relocalisation de la dent et immobilisation avec des gouttières
Lorsque les dents permanentes sont touchées par des fractures radiculaires, des fractures de l’os alvéolaire, des luxations ou des extrusions ou qu’il y a une mobilité de la dent, elle doit être relogée dans son alvéole. Pour cela, le dentiste anesthésie la zone et, assisté de radiographies, repositionne la dent à sa place.
Elle doit ensuite être immobilisé à l’aide d’une attelle de fils et de résines qui la maintiennent en place jusqu’à la cicatrisation des tissus de soutien. Éviter le contact occlusal et rechercher des soins postopératoires est très nécessaire pour éviter les complications et faciliter la récupération. Des contrôles périodiques doivent être effectués et des traitements pulpaires seront nécessaires.
Si les altérations susmentionnées affectent des éléments temporaires, les dommages du germe permanent sous-jacent sont évalués et il est généralement considéré si l’extraction peut être la meilleure option. Si la dent est extraite et que l’éruption finale prend beaucoup de temps, un mainteneur d’espace est placé pour garder la place.
Attendre ou stimuler l’éruption lors d’un traumatisme dentaire
Ceci est fait dans certains cas d’intrusion dentaire. Les rayons X sont essentiels pour observer la position de la dent dans l’os et sa relation avec d’autres structures.
S’il s’agit d’une dent temporaire, les dommages causés au germe de la dent permanente qui se forme dans l’os doivent être évalués. S’il est affecté, la dent temporaire doit être retirée. En revanche, dans les cas où la dent finale n’est pas endommagée ou qu’il s’agit d’un élément permanent, il est possible d’attendre que l’organisme provoque une extrusion spontanée.
Sur les dents définitives, si la dent ne descend pas d’elle-même, elle peut être relocalisée sous anesthésie puis mise en attelle, comme expliqué précédemment. Ou la dent peut être abaissée en utilisant l’orthodontie. Un traitement endodontique de la dent sera nécessaire.

Réimplantation dentaire
Si une dent définitive a été complètement poussée hors de la bouche, le but est de la remettre en place pour la préserver. Une dent de lait qui est sortie ne doit jamais être réinsérée, car il y a un risque d’endommager la dernière dent qui se forme à l’intérieur de l’os. Dans ces cas, l’éruption permanente est attendue et, si le temps est trop long, un mainteneur d’espace est placé pour garder la place.
Pour remettre la dent dans son alvéole, il est indispensable que le patient recherche la dent éjectée et se rende le plus rapidement possible chez le dentiste. Lorsque la dent est trouvée, vous devez éviter de toucher la partie radiculaire. Il faut la laver sous l’eau pendant quelques secondes sans la frotter. Ensuite, elle doit être transportée dans un verre de lait, avec de l’eau distillée et, si cela n’est pas possible, à l’intérieur de la bouche du patient, en prenant soin de ne pas l’avaler.
Lorsque le patient arrive chez le dentiste, le professionnel remet la dent en place après avoir anesthésié la zone. Ils l’immobiliseront avec des attelles pour favoriser sa réintégration dans la cavité buccale.
La dent doit être poncée pour ne pas entrer en contact avec les autres dents, un régime doux doit être suivi et des contrôles périodiques seront nécessaires pour évaluer le processus de récupération. L’endodontie devra également être effectuée. Le patient doit être vacciné contre le tétanos.
Autres soins pour un traumatisme dentaire
Traiter les symptômes avec des anti-inflammatoires et utiliser des antibiotiques dans les cas qui le nécessitent est vital pour la récupération des tissus et le succès des traitements. Une alimentation molle et froide aide également à réduire l’inflammation et à récupérer la zone.
De plus, il est important de surveiller et de prêter attention à la région qui a subi le coup. Si la gencive s’enflamme, un bouton de pus apparaît ou la dent change de couleur, consultez le dentiste.
A lire aussi : 8 soins que toute personne avec un appareil dentaire doit suivre
Comment prévenir le traumatisme dentaire
Il est souvent impossible d’éviter les coups à la bouche. Néanmoins, la mise en pratique de certains de ces conseils peut aider à réduire votre risque de traumatisme dentaire :
- Créez des espaces sécuritaires pour les jeunes enfants.
- Évitez les jeux violents.
- Portez des protège-dents pour le sport et lorsque vous faites du vélo et des patins.
- Portez les ceintures de sécurité lorsque vous voyagez.
Et, comme nous l’avons déjà mentionné, si un traumatisme dentaire se produit, agir avec détermination, calme et rapidité peut faire la différence. Aller chez le dentiste dès que possible aidera à restaurer le sourire endommagé.
Toutes les sources citées ont été examinées en profondeur par notre équipe pour garantir leur qualité, leur fiabilité, leur actualité et leur validité. La bibliographie de cet article a été considérée comme fiable et précise sur le plan académique ou scientifique
- García Ballesta, Carlos, Leonor Pérez Lajarín, and Isabel Castejón Navas. “Prevalencia y etiología de los traumatismos dentales: Una revisión.” RCOe 8.2 (2003): 131-141.
- Sánchez, Tamara Batista, et al. “Traumatismos dentarios en niños y adolescentes.” Correo Científico Médico de Holguín 20.4 (2016): 741-756.
- Leyva Infante, Maite, et al. “El traumatismo dental como urgencia estomatológica: a stomatologic emergency.” Correo Científico Médico 22.1 (2018): 66-78.
- Pasarón Pérez, María Victoria, et al. “Nivel de conocimientos en pacientes con traumatismo dental.” Revista Médica Electrónica 39.1 (2017): 24-32.
- Oliveira-del Río, Juan A., Alcira M. Alvarado-Solórzano, and Betty E. Guanotoa-Lincango. “Características de traumatismo dental en niños de 5-13 años de edad.” Polo del Conocimiento 3.5 (2018): 150-159.
- Torres Silva, María del Carmen, et al. “Factores predisponentes de trauma dental en escolares del municipio Rafael Freyre.” Correo Científico Médico 21.3 (2017): 798-808.
- Zaldivar, Héctor Andrés Naranjo. “Traumatismos dentarios: un acercamiento imprescindible.” 16 de Abril 56.265 (2017): 113-118.
- ENDODONCIA, EN. ABORDAJE CLÍNICO DE TRAUMATISMOS DENTARIOS LUXACIÓN LATERAL Y FRACTURA RADICULAR. Diss. UNIVERSIDAD NACIONAL DE CUYO, 2020.
- SALVATORE, OD ANA CARLA. “Avulsión dentaria. Tratamiento y seguimiento a 9 años. A propósito de un caso clínico.”
- VALLEJO, ERICA DAYANA QUITO. “MANEJO CLÍNICO DE DIENTE PERMANENTE AVULSIONADO. REPORTE DE CASO.” Odontología Activa Revista Científica 4.3 (2019): 47-52.
- Duarte, Luis A. Jeffers. “Reimplante Dentario en Diente Avulsionado. Presentación de un Caso.” Revista Científica Hallazgos21 2.3 (2017).
- Luján, Gabriela, and Gabriela Gioino. “Traumatismos dentarios.”
Ce texte est fourni à des fins d'information uniquement et ne remplace pas la consultation d'un professionnel. En cas de doute, consultez votre spécialiste.







